患者,男性,59岁。以“劳力性胸痛3年,加重2个月”为主诉入院。
冠心病易患因素:吸烟20年。
心电图:大致正常。
心脏超声心动图:左室舒张末内径54mm,LVEF 64%。
实验室检查:心肌酶谱正常。
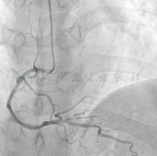
冠状动脉造影结果
右桡动脉入路,6F鞘。
造影结果:前降支开口100%闭塞,隐约可见微小残端(图1);回旋支远段70%狭窄(图2);右冠后降支开口85%狭窄(图3),右冠经间隔支途径及心尖途径向前降支提供良好的侧支循环(图4)。

图1 前降支开口100%闭塞,隐约可见微小残端

图2 回旋支远段70%狭窄

图3 右冠后降支开口85%狭窄

图4 右冠经间隔支途径及心尖途径向前降支提供良好的侧支循环
PCI过程
采用经股动脉入路6F EBU 3.5指引导管,经桡动脉对侧造影,选择Finecross微导管支持,首先使用Fielder XT导丝进入闭塞残端后即不能前进(图5);改用Miracle 6导丝于前降支中段钙化处进入假腔;用Conquest Pro导丝及平行钢丝技术仍未能通过闭塞段(图6)。因手术时间较长,决定终止手术,择期尝试逆向开通。手术结束前双侧造影提示后降支经心尖途径侧支血管良好(图7、图8)。

图5 Finecross微导管支持下,Fielder XT导丝进入闭塞残端后即不能前进

图6 改用Miracle6导丝于前降支中段钙化处进入假腔;用Conquest Pro导丝及平行钢丝技术仍未能通过闭塞段

图7 双侧造影提示后降支经心尖途径侧支血管良好

图8 双侧造影提示后降支经心尖途径侧支血管良好
1周后尝试逆行处理前降支病变。采用双侧股动脉入路,7F血管鞘,左冠为EBU 3.5指引导管,右冠为AL 1.0指引导管。考虑右冠后降支病变狭窄程度严重,在手术过程中可能导致患者心绞痛发作,故首先于该病变处植入2.75mm×18mm Firebird 2支架(图9)。在150cm Finecross微导管支持下,Sion导丝顺利经后降支心尖路径到达前降支闭塞段远端。换用Miracle 6导丝进入闭塞段接近前降支开口后导丝不能前进(图10)。前向进入另一根Miracle 6导丝至前降支中段后,用2.5mm×12mm Legend球囊行Reverse CART(图11)。由于逆向路径较长,即使逆向导丝进入前向指引导管,逆向微导管也无法到达,故决定首先尝试前向导丝能否到达闭塞远端真腔,但反复调整前向导丝均未成功(图12)。遂调整逆向导丝进入前向指引导管(图13)。用2.5mm×12mm球囊将前向130mm Finecross微导管固定于EBU内并顺利穿入逆向导丝,固定逆向导丝,轻轻旋转并向前推送前向微导管,使前向微导管沿逆向导丝通过闭塞段进入前降支中段。后退逆向导丝,经前向微导管送Runthrough导丝至前降支远端,造影示侧支血管无损伤(图14)。以2.5mm×20mm Legend球囊预扩闭塞段后,于前降支植入2.5mm×33mm、3.0mm×29mm、3.5mm×33mm Firebird 2支架并以非顺应性球囊后扩张支架,术后造影结果见图15和图16。

图9 右冠后降支植入2.75mm× 18mm Firebird 2支架

图10 在150cm Finecross微导管支持下,Sion导丝顺利经后降支心尖路径到达前降支闭塞段远端。换用Miracle 6导丝进入闭塞段接近前降支开口后导丝不能前进

图11 前向进入另一根Miracle 6导丝至前降支中段后,用2.5mm×12mm Legend球囊行Reverse CART

图12 前向导丝未能到达闭塞远端真腔

图13 调整逆向导丝进入前向指引导管

图14 经前向微导管送Runthrough导丝至前降支远端,造影示侧支血管无损伤

图15 以2.5mm×20mm Legend球囊预扩闭塞段后,于前降支植入2.5mm×33mm、3.0mm×29mm、3.5mm×33mm Firebird 2支架并以非顺应性球囊后扩张支架

图16 术后造影结果
随访
目前临床随访良好,患者无心绞痛再发。



