患者,男性,37岁。因“间断胸闷2年,加重1个月”入院。外院诊断为NSTEMI,CAG提示3支病变,RCA植入2枚DES,术后患者仍有劳力相关的胸闷发作,加重1个月。
心血管危险因素:高血压;2型糖尿病;脂代谢紊乱。
心电图:未见明显异常。
心脏超声心动图:无节段性室壁运动异常,室间隔增厚12mm,LVEDD 48mm,LVEF 71%。
实验室检查:心肌损伤标志物(-),hs-CRP 4.39mg/L。
入院后给予负荷量氯吡格雷及阿司匹林后行冠状动脉造影。
冠状动脉造影结果
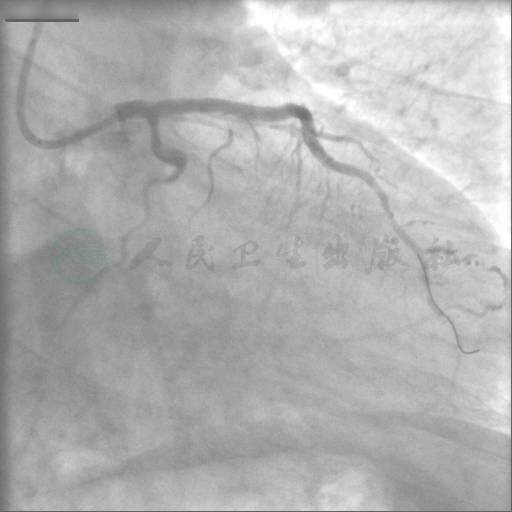
选用右侧桡动脉路径,6F血管鞘。造影发现:前降支近段狭窄90%伴原发撕裂,中段长病变狭窄80%,回旋支大OM开口完全闭塞,前降支经对角支至回旋支大OM2级侧支循环形成,右冠脉至回旋支大OM1~2级侧支循环形成(图1~图6)。

图1 左冠造影1

图2 左冠造影2

图3 左冠造影3

图4 左冠造影4

图5 右冠造影1

图6 右冠造影2
PCI过程
选择6F EBU 3.5指引导管,先处理前降支病变,植入2枚DES(图7)。正向导丝技术,Pilot 150、Miracle 4.5均无法通过闭塞病变至远端(图8)。

图7 前降支支架植入后

图8 正向导丝Pilot 150、Miracle 4.5无法通过闭塞病变至远端
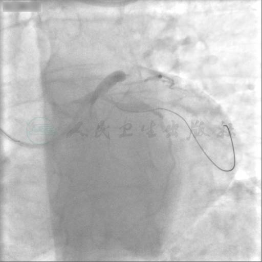
改用逆向导丝技术,考虑前降支至回旋支侧支循环好于右冠脉至回旋支侧支循环,可见一条明显可用于逆向导丝通过的侧支血管,故决定采用由前降支同侧逆向导丝技术。直接选用较软且通过性较好的Fielder导丝进入对角支侧支循环,逆向成功送至回旋支闭塞段远端(图9、图10)。但Fielder导丝显然难以穿过闭塞病变至近段,故先将Finecross微导管送至闭塞段远端,一方面确认真腔,另一方面为下一步应用硬导丝逆向通过病变做准备(图11)。经微导管先选择较滑的Pilot 150导丝,无法通过闭塞病变至回旋支近段(图12),再选择较硬的Miracle 4.5导丝,成功地在微导管的支撑下通过闭塞病变至回旋支近段,并将微导管送至回旋支近段(图13~图15)。但正向血流仍不能通过闭塞病变,正向导丝虽有通过病变的可能,但根据经验也较为困难。另外,如果想逆向进入球囊显然是不现实的,故选用300cm的Fielder FC导丝,逆向穿回指引导管至体外,并沿此导丝送入1.5mm×20mm球囊对闭塞病变进行预扩张(图16、图17)。扩张后回旋支闭塞段正向显影,此时正向通过导丝的可能性较大,选用Pilot 50导丝正向通过闭塞病变至回旋支远段,确认导丝位于真腔后撤出逆向微导管(图18、图19)。CTO病变处理的主要环节完成,之后按照常规用2.5mm×20mm球囊预扩张,依次由远及近植入2.75mm×15mm、3.0mm×24mm、3.5mm×13mm DES。最终结果良好(图20~图24)。

图9 Fielder导丝进入侧支循环

图10 Fielder导丝成功经侧支循环至回旋支闭塞段远端

图11 Finecross微导管成功经侧支循环至回旋支闭塞段远端

图12 Pilot 150导丝无法在微导管的支撑下通过闭塞病变至回旋支近段

图13 Miracle 4.5导丝成功地在微导管的支撑下通过闭塞病变至回旋支近段1

图14 Miracle 4.5导丝成功地在微导管的支撑下通过闭塞病变至回旋支近段2

图15 Finecross微导管逆向通过闭塞病变至回旋支近段

图16 Fielder FC导丝逆向穿入指引导管

图17 1.5mm×20mm球囊经Fielder FC逆向导丝扩张

图18 球囊扩张后恢复前向血流

图19 回旋支正向送入Pilot 50导丝,撤出微导管

图20 2.5mm×20mm球囊预扩张

图21 2.75mm×15mm DES植入

图22 3.0mm×24mm DES植入

图23 3.5mm×13mm DES植入

图24 PCI术后最终结果
随访
患者术后胸闷症状完全缓解,规律随访并服用二级预防相关药物,控制血压、血糖及血脂,于8个月后复查冠脉造影,无明显病变进展,支架无明显内膜增生(图25、图26)。

图25 8个月后复查结果1

图26 8个月后复查结果2



