患者,男性,反复胸痛4年,活动后气促2年。既往糖尿病病史2年。
体检及生化检查无特殊。
心电图:V1~V3导联QR波,广泛ST段压低。
心脏超声心动图(外院):LVEDD 60mm,LVEF 35%,轻度二尖瓣反流(反流面积3.3cm2)。
入院前一个月冠脉造影(外院),建议患者行冠脉搭桥手术,患者坚决拒绝,数天后对RCA及LAD行PCI,未成功。
冠状动脉造影结果
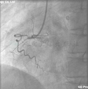
LM正常,LAD近端闭塞(图2),LCX轻度动脉粥样硬化(图3),右冠近端完全闭塞(图4)。

图2 LM正常,LAD近端闭塞

图3 LCX轻度动脉粥样硬化

图4 右冠近端完全闭塞
PCI过程
由于RCA有明显清晰的残段,成功率比较高。故应用6F JR 4指引导管,选用Pilot 150导丝,但是导丝却轻易进入假腔(自身侧支循环证实)(图6)。
故进行LAD的PCI。使用7F XB 3.5指引导管进入左冠,选用Pilot 150导丝,但是导丝也进入假腔(对侧侧支循环证实)(图7)。

图6 RCA行PCI,导丝却进入假腔

图7 LAD行PCI时导丝进入假腔
此时,似乎手术可以结束,但是仔细分析冠脉造影,可以隐约发现存在LAD到PDA的侧支循环。由于RCA的自身侧支循环已经达到CC1级,LCX至RCA的侧支循环也达到CC2级,因此寻找LAD到PDA的侧支循环比较困难。但根据个别经验,凡慢性闭塞病变者,一旦已经建立良好的侧支循环,往往是多重性的,只是某些侧支循环在冠脉造影下比较发达而已。该病例中,在LAD的CTO之前已经发出了第一室间隔支,其到PDA的侧支循环比较小,使用150cm长度Finecross微导管行超选择造影,发现有第一室间隔支侧支循环至PDA,连接部比较弯曲(图7)。使用Sion导丝通过室间隔支到达右冠CTO远端(图9),置换Pilot 150导丝,试图直接逆向通过CTO,但是失败。拟应用反向CART技术,正向应用2.5mm×15mm球囊试图通过CTO,但是指引导管支撑力差,故换为6F AL 1指引导管,再应用2.5mm×15mm球囊在CTO近端以12atm压力扩张(图10)。操纵逆向Pilot 150导丝顺利通过CTO,进入正向指引导管内。此时,Finecross微导管较难继续前行进入正向指引导管,常规应用逆向导丝穿入正向微导管方法,正向指引导管中送入130cm长的Finecross微导管,努力使逆向导丝进入正向微导管,但是失败。正向指引导管中送入2.5mm×15mm球囊,于Finecross微导管同一水平,操纵逆向导丝进入正向微导管(图11)。操纵正向微导管沿逆向导丝通过CTO到达RCA远端。撤回逆向导丝,沿正向微导管送入Runthrough常规PCI导丝,撤回正向微导管,进行常规PCI。使用2.5mm×15mm球囊扩张CTO部位,根据对侧造影,在RCA远端植入2.5mm×30mm Resolute支架(图12),并串联3.0mm×30mm及3.5mm×24mm Resolute支架。冠脉造影可见TIMI 3级血流,支架内无残余狭窄(图13)。此时手术已经进行了100分钟,造影剂约120ml。

图8 Finecross微导管行超选择造影,第一室间隔支侧支循环至PDA,连接部比较弯曲

图9 Sion导丝通过室间隔支到达右冠CTO远端

图10 经典反向CART技术

图11 逆向导丝穿入正向微导管技术

图12 根据对侧造影,在RCA远端植入2.5mm×30mm 药物洗脱支架

图13 植入3.0 mm×30 mm及3.5 mm×24mm药物洗脱支架后的结果
试图利用开通的右冠(图13),逆向PCI开通LAD,在150cm长的Finecross微导管支持下,应用Sion导丝经PDA,通过室间隔支到达LAD(图15),但是由于所选择的室间隔支与LAD汇合处在CTO上,故放弃逆向PCI,择期再行LAD的PCI。处理PDA与PL的分叉前狭窄,从PDA到右冠远端,并联前一支架,植入2.25mm×30mm Resolute支架。

图14 RCA行支架术后造影,PDA至LAD的侧支循环为CC0

图15 Sion导丝经PDA,通过室间隔支到达LAD及主动脉内
7个月后复查造影,LAD近端CTO无变化,右冠支架内无再狭窄(图15、图16)。重要的是,原设想6个月后,PDA到前降支的室间隔支会增加和增粗,但是事实上根本没有变化(图17)。所以只有选择较粗但是比较弯曲的锐缘支作为逆向通路。
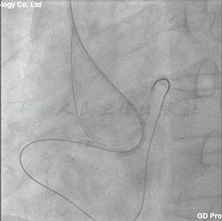
经股动脉使用7F Amplatz L 0.75指引导管,应用Corsair微导管,利用Runthrough导丝进入锐缘支(图19),引导Corsair微导管至锐缘支近端后,改用Sion导丝,通过侧支循环(图20)。启动正向PCI,经桡动脉使用6F EBU指引导管及Pilot 150导丝,但是导丝再次进入假腔。故立即使用反向CART技术,2.5mm×15mm球囊在前降支近端以12atm扩张(图21),逆向导丝轻松通过CTO,然后进入正向EBU指引导管。

图16 LAD近端CTO无变化

图17 右冠支架内无再狭窄

图18 经7个月治疗,PDA到前降支的室间隔支侧支循环没有增粗

图19 经股动脉使用7F Amplatz L 0.75指引导管,选择锐缘支作为侧支循环通道

图20 使用Corsair微导管及Sion导丝,通过侧支循环,到达LAD远段

图21 典型反向CART技术
常规应用逆向导丝穿入正向微导管方法,正向指引导管中送入130cm长的Finecross微导管,操纵逆向导丝进入正向微导管(图21)。操纵正向微导管沿逆向导丝通过CTO到达LAD远端(图22)。撤回逆向导丝,沿正向微导管送入Runthrough常规PCI导丝,进行常规PCI。使用2.5mm×15mm球囊扩张CTO部位,根据对侧锐缘支造影,在LAD远端植入2.25mm×30mm Resolute支架并串联2.75mm×30mm Resolute支架(图24、图25)。冠脉造影可见TIMI 3级血流,支架内无残余狭窄(图26)。

图22 逆向导丝穿入正向微导管

图23 正向微导管沿逆向导丝通过CTO到达LAD远端

图24 在LAD远端植入2.25mm×30mm药物洗脱支架

图25 植入2.75mm×30mm药物洗脱支架

图26 LAD行PCI后的最后结果



