患者,男性,59岁。因“胸闷、胸痛1年余,加重1天”入院。1年前,患者反复在运动后出现胸闷不适,有时伴有胸部隐痛,持续3~5分钟,休息后可明显缓解,并伴有夜间阵发性呼吸困难。入院当天,患者在运动后再发胸闷、胸痛,心前区有压榨感,持续5分钟缓解不明显,于是来院就诊。
心血管病危险因素:高血压病史8年余,最高血压160/100mmHg,平时服用坎地沙坦,血压控制良好;糖尿病病史8年余,平时服用降糖药“二甲双胍(格华止)”,血糖基本控制在正常范围;有反流性食管炎病史;吸烟史30余年,10支/天。
心电图:窦性心律,Ⅲ导联病理Q波,其余大致正常(图1)。
心脏超声心动图:LA 45mm,LVEDD 46mm,LVEDS 29mm,HIS 10mm,LVEF 67%;二尖瓣、三尖瓣轻微反流。
实验室检查:WBC 6.68×109/L,Hb 150g/L;PT 10.3s,D-dimer 0.16mg/L;Na+ 142mmol/L,K+ 4.28 mmol/L,Cl-102mmol/L;GPT 19.7U/L,BUN 6.6mmol/L,Cr 81.2μmol/L,尿酸347.7μmol/L,FBS 7.4mmol/L,TC 2.83mmol/L,HDL-C 0.77mmol/L,LDL-C 1.66mmol/L;hsTrop-T 0.008ng/ml,myosin 28.7ng/ml,CK-MB 1.57ng/ml,pro-BNP 40.7ng/ml。
入院后给予负荷量的氯吡格雷(波立维)和阿司匹林(拜阿司匹林)准备,术前谈话、签字后予以选择性冠状动脉造影检查。

图1 入院时的心电图
冠状动脉造影结果
选择右侧股动脉径路,使用6F股动脉鞘,5F JL 3.5和JR 4造影导管。
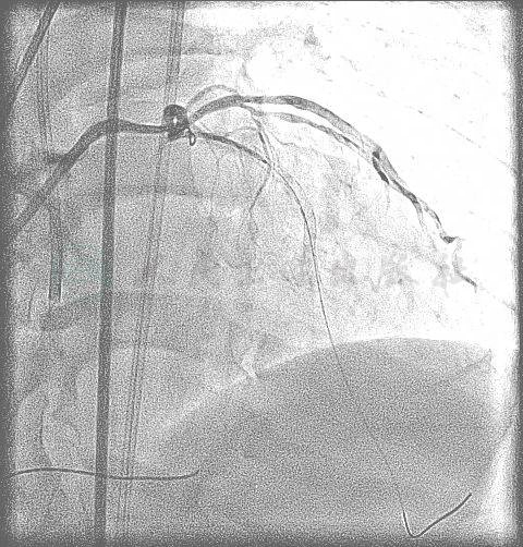
冠状动脉造影:左主干血管粗大,体部及远段50%左右狭窄;左前降支根部闭塞;左回旋支中等大小,轻度动脉硬化,未见明显狭窄,远段血流TIMI 3级;中间支粗大,其中一个分支呈现中重度狭窄。右冠状动脉优势型,近中段50%左右弥漫性狭窄,PDA近段50%左右管状狭窄,远段血流TIMI 3级,可见良好的侧支循环逆向充盈LAD中远段的血管(图2~图8)。左心室造影显示左心室功能良好(图9)。

图2 冠状动脉造影(LAO 43°),显示右冠状动脉呈现弥漫性动脉硬化,近中段和后降支近段50%左右的狭窄,远段血流TIMI 3级

图3 冠状动脉造影(Cran 20°),显示右冠状动脉弥漫性动脉硬化,近中段和后降支近段50%左右的狭窄,远段血流TIMI 3级

a

b
图4 冠状动脉造影(RAO 33°),显示右冠状动脉弥漫性动脉硬化,近中段和后降支50%左右的狭窄,远段血流TIMI 3级;可见良好的侧支循环逆行供应LAD远段供血的分布区

图5 冠状动脉造影(右足位):LAD近中段50%左右狭窄,LCX弥漫性动脉硬化

图6 冠状动脉造影(右头位):LM远段临界病变,LCX弥漫性动脉硬化,LAD近端闭塞,D1抑或中间支中重度狭窄

图7 冠状动脉造影(左头位):LM远段临界病变,LCX弥漫性动脉硬化,LAD似从根部完全闭塞

图8 冠状动脉造影(蜘蛛位):LAD从根部闭塞,似乎有分支发出,但走行并不明确;中间支粗大伴中重度狭窄

图9 左心室造影(右前斜位):左心室收缩功能基本正常,EF 68%
PCI过程
左股动脉径路置入6F EBU 3.5指引导管,导管顺利抵达LM开口;右股动脉径路置入6F SAL 1.0指引导管,导管顺利到达右冠状动脉口。0.014英寸Sion导丝送入Corsair,然后一起送入右侧GC并进入RCA,双侧造影判断导丝走行方向(图10)。导丝缓慢逆行,不断“冒烟”或造影调整走行方向,在Corsair支撑下缓慢逆行进入最佳的间隔支,随后进入LAD远端真腔,Corsair跟进(图11~图16)。Sion导丝无法穿透闭塞段远端的纤维帽,换用0.014英寸Ultimate Bross导丝,在Corsair支撑下穿透闭塞段远端的纤维帽,进入LM真腔(图17、图18),并尝试进入左侧的EBU 3.5指引导管内,Corsair随后逆行突破闭塞段也进入GC内(图19)。选择0.014英寸Runthrough导丝进入另一Corsair,然后一起送入左侧的EBU 3.5指引导管。在该指引导管的远段弯曲部位与逆向的Corsair微导管相遇,通过球囊挤压技术完成导丝的“空中对接”,顺行的Runthrough导丝顺利进入逆行的Corsair微导管内。之后采用“敌进我退”的操作策略,顺行的微导管和导丝前进,逆行的微导管和导丝一起后撤,最后将顺行的Runthrough导丝送至LAD远段,并经造影证实在真腔内(图20~图24)。

a

b
图10 双侧造影

图11 导丝缓慢逆行前进,进入后降支的分支

图12 导丝缓慢逆行前进,进入后降支的分支,造影证实走错了方向

图13 后撤导丝调整走行方向,造影探路明确下一步走行方向

图14 导丝继续逆行前进

图15 导丝继续逆行前进,Corsair跟进

a

b

c
图16 造影确认导丝行踪和位置

a

b
图17 导丝继续艰难逆行,即将进入LM

图18 导丝艰难逆行,终于进入LM

a

b
图19 尝试操作导丝终于进入GC,Corsair随后跟进

图20 顺向球囊压迫逆行导丝

a

b
图21 空中交换导丝

图22 逆行导丝后退,顺行导丝前进

图23 逆行导丝后退,顺行导丝前进进入LAD远端

图24 造影确证导丝进入LAD远段真腔
先后选择Ryujin 2.5mm×15mm和3.0mm×15mm球囊进行闭塞段的预扩张(10atm×10s),残余50%左右(图25、图26)。S1:2.5mm×38mm PE Plus顺利定位于远段病变并以14atm释放,支架扩张良好,不伴有夹层,远段血流TIMI 3级(图27~图29);S2:3.5mm×38mm PE Plus顺利定位于LAD近段病变并跨越LCX覆盖LM远段病变,然后释放,释放压14atm×10s,支架扩张良好,无残余狭窄,不伴有夹层,远段血流TIMI 3级(图30~图32)。继以2.5mm×10mm Ryujin、3.0mm×10mm Hiryu分别送入LCX和LAD进行对吻扩张,无残余狭窄,不伴有夹层,远段血流TIMI 3级(图33、图34)。IVUS检测显示LM-LAD支架贴壁良好(图35~图39),LCX未明显受累(图40~图44)。最后复查左、右两侧的冠状动脉造影,结果显示支架释放结果满意,支架边缘以及LM和RCA开口均未见夹层,远段血流TIMI 3级;间隔支没有损伤(图45、图46)。

图25 导丝保护LCX球囊定位LAD

a

b

c
图26 球囊预扩张

图27 S1定位

图28 S1释放

图29 S1释放后支架扩张满意

图30 S2定位,远端与S1近端部分重叠,近端跨越LCX覆盖LM远段

图31 S2释放

a

b
图32 S2释放后结果基本满意

图33 球囊对吻

图34 球囊对吻后结果基本满意

图35 LAD IVUS检查:LAD支架远端外,仍然可见粥样斑块

图36 LAD IVUS检查:LAD支架远端,支架扩张基本满意

图37 LAD IVUS检查:LAD支架中段,支架扩张基本满意

图38 LAD IVUS检查:LAD支架近远端,支架扩张基本满意

图39 LAD IVUS检查:LM-LAD支架近段外,已进入LM,可见粥样斑块

图40 LCX IVUS检查:LCX近段

图41 LCX IVUS检查:LCX近段,已接近LAD开口,未见斑块累及LCX开口

图42 LCX IVUS检查:LCX与LAD部分融合,未见斑块累及LCX开口

图43 LCX IVUS检查:LCX与LAD几乎融合,LCX开口没有受累

图44 LCX IVUS检查:进入LM,支架贴壁良好

a

b
图45 LAD血运重建后最终结果,基本满意

图46 血运重建结束后复查RCA造影,未发现导管、导丝可能对RCA产生的损伤



