患者,男性,49岁。主因“劳累后胸痛2年,加重20天”入院。
心血管危险因素:糖尿病5年,口服“降糖药”;吸烟20年,20支/日。
心电图:胸痛发作时V1~V5导联ST-T压低≥1mm。
心脏超声心动图:室壁运动未见异常,LVEDD 50mm,LVEF 62%。
实验室检查:心肌标记物(-)。
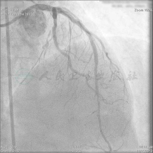
冠状动脉造影结果
左主干远端90%狭窄,前降支开口完全闭塞,无明显残端,回旋支中段80%狭窄,右冠脉无明显狭窄;右冠优势型;右冠脉至前降支侧支循环形成良好,前降支中段存在明显狭窄性病变(图1~图4)。
PCI过程
选择右侧桡动脉及右侧股动脉途径。经右侧桡动脉途径送入6F AL 0.75指引导管至右冠脉开口,经股动脉途径选用6F EBU 3.5指引导管至左冠脉开口,进行双侧冠脉造影了解闭塞段病变的特征(图5)。双侧冠脉造影显示闭塞段长度约15mm左右,闭塞段血管没有明显钙化和扭曲或成角,预测导丝通过闭塞病变可能性大,成功率较高。

图5 双侧冠脉造影显示闭塞段病变特征
经EBU指引导管送入BMW导丝置于回旋支远端,保护左主干及回旋支。经AL指引导管送入Fielder导丝,在150cm微导管的支持下经后降支到间隔支,随后将微导管送到间隔支,经微导管选择性造影,再次核实间隔支通道的大小、与前降支的关系,评估导丝进入闭塞远端血管的可能性。经微导管再次送入Fielder导丝,由间隔支通道进入前降支闭塞远端血管,随后跟进微导管至前降支闭塞病变远端处。经微导管更换Miracle 3,突破闭塞远端病变纤维帽进入闭塞病变,在对侧造影的指引下通过闭塞病变进入回旋支,调整导丝方向,通过左主干进入EBU指引导管内,微导管随之进入EBU指引导管内(图6、图7)。
经EBU指引导管送入130cm微导管至逆向微导管处,由前向微导管送入Fielder导丝进行前向、逆向微导管导丝交接(图8),随后将Fielder导丝送至前降支血管远端,回撤逆向导丝及微导管(图9)。

图6 BMW导丝置于回旋支远端,Fielder导丝由间隔支通道进入前降支闭塞远端

图7 换Miracle 3导丝,通过闭塞病变进入回旋支

图8 前向、逆向微导管导丝交接

图9 Fielder导丝至前降支远端
沿Fielder导丝分别送入Sprinter 1.25mm×8mm、2.5mm×20mm球囊,对闭塞病变及前降支中段狭窄性病变进行扩张。随后回旋支中段病变植入Firebird 2.5mm×33mm支架;然后由前降支中段至左主干植入Xience V 2.75mm×28mm、3.0mm×23mm、3.5mm×23mm支架,最终左主干远端NC Sprinter 3.5mm×15mm及2.5mm×15mm对吻扩张(图10~图13),最后造影结果如图14和图15。

图10 前降支球囊扩张后造影

图11 回旋支支架植入

图12 前降支、左主干支架植入

图13 左主干远端支架植入后对吻扩张

图14 最终造影结果

图15 最终造影结果



