患者,男性,73岁。主因“反复活动时胸痛5年,加重1个月”入院。
心血管病危险因素:吸烟史30年;高脂血症。
心电图:窦性心律,Ⅱ、Ⅲ、aVF、Ⅰ、aVL导联ST-T改变,Ⅲ、aVF导联有q波。
心脏超声心动图:LVEDD 70mm,LVEF 23%。
实验室检查:血肌钙蛋白(-),TC 6.77mmol/l,LDL-C 4.44mmol/l,肌酐99μmol/l,血糖6.83mmol/l。
入院后予以负荷氯吡格雷和阿司匹林后行冠状动脉造影检查。
冠状动脉造影结果
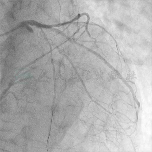
选用右侧桡动脉径路,6F血管鞘,TIGER造影导管。造影发现:冠脉分布呈右冠优势型,左主干近段局限偏心40%狭窄,LAD开口处100%闭塞,远端隐约可见来自RCA的侧支循环,LCX近段局限偏心狭窄约50%,OM1开口处局限偏心狭窄约70%,远段血流TIMI 3级;右冠近段90%狭窄,中段100%闭塞,远端可见来自LCX及中间支的侧支循环供应,有一较大侧支循环(CC 2级,Rentrop 3级),后分叉前以远显影(图1~图5)。

图1 左主干近段局限偏心40%狭窄

图2 LAD开口处100%闭塞,远端隐约可见来自RCA的侧支循环

图3 LCX近段局限偏心狭窄约50%,OM1开口处局限偏心狭窄约70%,远段血流TIMI 3级

图4 右冠近段90%狭窄,中段100%闭塞

图5 右冠远端可见来自LCX及中间支的侧支循环供应,有一较大侧支循环(CC 2级,Rentrop 3级),后分叉前以远显影
PCI过程
LAD-PCI过程。沿超滑导丝送XBLAD 3.5至左冠口,选择Runthrough导丝不能顺利通过LAD病变端,改用Conquest-pro导丝,并辅助Corsair微导管反复尝试,最终操作通过LAD病变,沿导丝顺利推送通过病变,并行微导管造影证实为LAD远端真腔后(图6~图9),交换成Runthrough导丝,退出微导管,造影证实前向血流达到TIMI 3级,顺利送入BMW导丝至D1远端(图10),沿Runthrough导丝送Voyager NC 2.0mm×15mm球囊至前降支近中段以8~15atm反复扩张4次后,撤出球囊,再沿Runthrough导丝送Xience V 2.25mm×23mm至LAD中段病变处,覆盖病变后以10atm释放,退出支架球囊,再沿Runthrough导丝送Xience V 2.5mm×28mm至LAD近段病变处,覆盖病变后以10atm释放,退出支架球囊,复查造影示D1开口轻度受压,交换导丝,再送一根Runthrough导丝至D1远段,退出BMW导丝,沿Runthrough导丝送入Spinter Legend 1.25mm×15mm球囊至D1近段及开口处,覆盖病变后以8~12atm扩张2次,再沿导丝送入Voyager NC 2.0mm×15mm球囊,不能顺利通过LAD内支架网眼至D1,改送Spinter Legend 1.5mm×15mm球囊至D1近段及开口处,覆盖病变后以8~12atm反复扩张3次,撤出球囊,复查造影示LAD中段内支架贴壁欠佳,沿Runthrough导丝送Voyager NC 2.75mm×15mm后扩球囊至LAD中段支架内,以12~16atm反复扩张3次,多体位复查造影示支架扩张贴壁良好,无残余狭窄、内膜撕裂、夹层及远段血栓形成,D1近段残余狭窄约30%,TIMI血流3级(图11~图13)。

图6 沿超滑导丝送XBLAD 3.5至左冠口,选择Runthrough导丝不能顺利通过LAD病变端

图7 改用Conquest pro导丝,并辅助Corsair微导管反复尝试,最终操作通过LAD病变

图8 沿导丝顺利推送通过病变

图9 微导管造影证实导丝在LAD远端真腔

图10 顺利送入BMW导丝至D1远段

图11 LAD中段、近段病变分别植入Xience V 2.25mm×23mm、Xience V 2.5mm×28mm支架

图12 复查造影示D1开口轻度受 压,送Spinter Legend 1.25mm×15mm、Spinter Legend 1.5mm×15mm球囊、Voyager NC 2.75mm×15mm后扩球囊至D1近段及开口处,覆盖病变后反复扩张

图13 多体位复查造影示支架扩张贴壁良好,无残余狭窄、内膜撕裂、夹层及远段血栓形成,D1近段残余狭窄约30%,TIMI血流3级
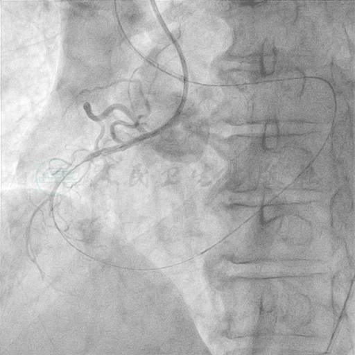
RCA-PCI过程。局麻下分别穿刺右侧股动脉及右侧桡动脉,沿超滑导丝分别送6F XBRCA导管至右冠口及6F XB-LAD 3.5导管至左冠口,双侧同时造影,明确RCA侧支循环中主支血管来自LCX中段。沿6F LAD 3.5指引导管送Fielder FC导丝至回旋支中段,沿侧支循环送入RCA远端,沿Fielder FC导丝送Finecross微导管至RCA远端(图14~图16),确认导丝位于RCA血管真腔内,继续前送Fielder FC导丝至RCA近段,并顺利送入前向指引导管,交换成300cm的Fielder FC,从导丝末端送入另一根Finecross微导管,反复尝试不能顺利通过病变狭窄段,交换成Sprinter1.5mm×15mm OTW球囊,仍不能顺利通过病变狭窄段,再送Corsair微导管,方顺利通过病变段至RCA远端。经微导管造影确认导丝位于RCA血管真腔内,撤出逆向Fielder FC导丝,沿6F XBRCA导管中的微导管送入BMW导丝至后降支远段,尾端接Extension延长导丝后,撤出Corsair微导管。造影证实逆向导丝沿途无明显并发症后,随即撤出逆向导丝和微导管。沿BMW导丝送Ryujin 1.5mm×20mm球囊,自RCA远段至近段以10~18atm扩张6次,造影管腔弥漫不规则狭窄,残余狭窄最重约90%,远端血流TIMI 3级,再使用Voyager NC 2.0mm×15mm球囊沿RCA远段至近段分别以8~10atm扩张6次(图17~图19),从后交叉前顺序植入Partner 2.75mm×29mm、3.0mm×29mm、3.0mm×29mm、3.5mm×29mm共4枚药物支架,复查造影示近段及中段支架扩张稍欠,送入Voyager NC 3.0mm×20mm球囊,在右冠中远段支架内后扩张,Voyager NC 3.75mm×15mm球囊,在右冠近段支架内后扩张,复查造影示支架扩张良好,无残余狭窄、内膜撕裂、夹层及远段血栓形成,TIMI血流3级(图20、图21)。撤导丝、导管,手术结束。

图14 双侧同时造影,明确RCA侧支循环中主支血管来自LCX中段

图15 沿6F LAD 3.5指引导管送Fielder FC导丝至回旋支中段

图16 沿侧支循环送入RCA远端,沿Fielder FC导丝送Finecross微导管至RCA远端

图17 Fielder FC导丝顺利送入前向指引导管,交换成300cm的Fielder FC,Corsair微导管通过病变段至RCA远端, 微导管造影确认导丝位于RCA血管真腔内

图18 撤出逆向导丝和微导管

图19 沿BMW导丝反复球囊扩张后,右冠造影示管腔弥漫不规则狭窄

图20 从后交叉前顺序植入Partner 2.75mm×29mm、3.0mm×29mm、3.0mm×29mm、3.5mm×29mm共4枚药物支架,复查造影示近段及中段支架扩张稍欠

图21 Voyager NC 3.0mm×20mm、Voyager NC 3.75mm×15mm球囊分别在右冠中、近段支架内后扩张,复查造影示支架扩张良好,无残余狭窄、内膜撕裂、夹层及远段血栓形成,TIMI血流3级



