患者,男性,64岁。因“反复胸闷、胸痛3年,加重3天”入院。心血管危险因素:高血压史4年,糖尿病病史10余年,吸烟史40余年。
心电图:窦性心律,V1~V3 r波递增不良。
心脏超声心动图:LVEDD 58mm,LVEF 41%,乳头肌水平以下左室前壁及前间隔收缩活动减弱。
实验室检查:血肌钙蛋白0.58 μg/L。
入院后予负荷氯吡格雷和阿司匹林治疗后行冠脉造影检查。
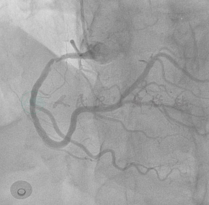
冠状动脉造影结果
选用右桡动脉径路,6F血管鞘。造影发现:左主干可见斑块,前降支近段100%闭塞,侧支来源于右冠;右冠近段狭窄约90%(图1~图3)。

图1 左主干可见斑块,前降支近段100%闭塞

图2 左冠造影2

图3 右冠近段狭窄约90%,向左冠提供侧支循环
PCI过程
经右桡动脉径路,选择6F EBU指引导管,经右股动脉途径对侧造影,在微导管的辅助下,先后尝试Fielder XT,Pilot 150,Miracle 3等导丝。首先在微导管辅助下试用Fielder XT导丝,通过闭塞病变处困难(图4)。交换Miracle 3导丝。Miracle 3导丝进入闭塞段远端假腔(图5)。采用平行导丝技术(Pilot 150+Miracle 3导丝)反复寻找远端真腔(图6)。但两根导丝均进入假腔(图7)。经反复尝试Pilot 150导丝仍进入闭塞段远端假腔(图8)。重新采用平行导丝技术(Pilot 150+Miracle 3导丝),重新调整进入点(entry point),耐心细致寻找真腔(图9)。Miracle 3导丝进入间隔支(图10)。不同体位确认Miracle 3导丝进入间隔支(图11)。以边支导丝作为路标,寻找到达远端真腔(图12)。选用1.5mm×8mm Apex球囊及2.0mm×15mm Maverick球囊分别预扩张前降支病变处,前降支近、中段植入Firebird 2.75mm×29mm及Partner 3.0mm×29mm 药物支架(图13)。

图4 在微导管辅助下试用Fielder XT导丝,通过闭塞病变处困难

图5 交换Miracle 3导丝,Miracle 3导丝进入闭塞段远端假腔

图6 采用平行导丝技术(Pilot 150+Miracle 3导丝)反复寻找远端真腔

图7 两根导丝(Pilot 150+Miracle 3导丝)均进入假腔



