患者,男性,43岁。因“反复活动后胸痛2年,加重5个月”入院。
心血管危险因素:高血压史8年,糖尿病病史2年,吸烟史20年。半年前有脑梗史,现右下肢活动稍不利。
心电图:窦性心律,左室高电压伴广泛导联ST段压低。
正位胸片:提示心影饱满。
心脏超声心动图:主动脉窦部增宽,左房左室扩大伴左室整体收缩活动减弱,LVEF 44%。
头颅CT:左侧基底节区腔梗灶。
实验室检查:空腹血糖:7.2mmol/L,糖化血红蛋白:7.5%,血清肌酐:75μmol/L,低密度脂蛋白:3.74mmol/L,肌钙蛋白<0.05ng/ml。
入院后给予负荷量阿司匹林和氯吡格雷治疗后决定行冠脉造影检查。
冠状动脉造影结果
予2%利多卡因局部浸润麻醉,穿刺右侧桡动脉成功后经导丝置入6F动脉鞘。在长导引钢丝引导下,用5F TIG导管行左右冠状动脉造影,左主干未见明显狭窄,前降支近段狭窄90%伴斑块破裂征象,中远段弥漫性长病变,狭窄70%~80%,第一对角支全程狭窄40%~50%,回旋支近段管壁不规则伴扭曲,近中段完全闭塞,第一钝缘支提供侧支循环供应回旋支远端;右冠近段完全闭塞,可见少许圆锥支侧支使右冠远段显影(图1~图3)。

图1 左冠造影1

图2 左冠造影2

图3 右冠近段完全闭塞
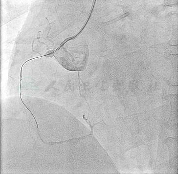
PCI过程
穿刺左侧桡动脉,置入6F动脉鞘,经导丝直接送入6F EBU3.5指引导管至左冠口行对侧造影,经右侧桡动脉送6F AL0.75指引导管至右冠口造影,双侧造影提示右冠远端侧支主要来源于同侧右冠口的圆锥支(图4),因此决定行正向技术尝试。首先在1.8F Finecross微导管支撑下选择0.009〞Fielder XT导丝进入右冠近段假腔(图5),换用0.014〞Miracle 3导丝仍进入右冠中段假腔(图6),采用平行导丝技术再送另一根0.014〞Miracle 3导丝在同侧造影指导下尝试进入右冠中段真腔(图7、图8),反复调整导丝方向后成功送Miracle 3导丝至右冠后降支远端,多角度造影证实导丝远端位于真腔(图9),由于Ryujin plus 2.0mm×20mm球囊无法通过右冠闭塞处,取Ryujin plus 1.5mm×15mm球囊于闭塞处以12atm×10s扩张,经微导管交换0.014〞Runthrough导丝至右冠远端,再以Ryujin plus 2.0×20mm球囊以10atm×10s扩张(图10),复查造影示右冠恢复前向血流(图11),于右冠中段至右冠开口串联依次植入Excel 3.0mm×36mm,Excel 3.5mm×36mm西罗莫司药物支架,分别以14 atm扩张释放,并以16 atm支架球囊扩张塑型(图12、图13),复查造影显示支架扩张满意,未见残余狭窄,右冠血流TIMI 3级(图14)。

图4 双侧造影

图5 Fielder XT导丝进入假腔

图6 Miracle 3导丝进入假腔

图7 平行导丝技术1(两根Miracle 3导丝)

图8 平行导丝技术2(两根Miracle 3导丝)

图9 平行导丝进入真腔

图10 Ryujin plus 2.0mm×20mm球囊扩张

图11 球囊扩张后

图12 Excel 3.0mm×36mm支架定位

图13 Excel 3.5mm×36mm支架释放

图14 最终结果



