患者,男性,63岁,因“活动后上腹部不适5个月”入院。
心血管病危险因素:吸烟史30年。
心电图:V2~V4 ST段异常。
心脏超声心动图:LVEDD 56mm,LVEF 52%。
实验室检查:总胆固醇1.97mmol/L,高密度脂蛋白胆固醇0.63mmol/L,肌钙蛋白1.20ng/ml。
冠状动脉造影结果
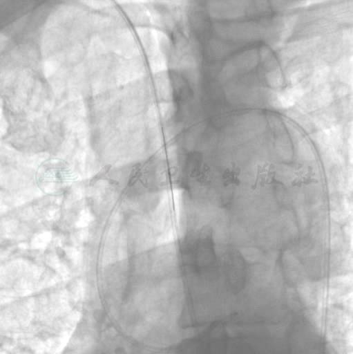
选用右侧桡动脉径路,6F血管鞘。造影发现:左主干、回旋支正常,前降支近端99%狭窄,右冠近端开口处完全闭塞,有“海蛇头”滋养血管,远端血管隐约可见(图1、图2)。

图1 右冠造影

图2 左冠造影
PCI过程
选择右侧桡动脉径路,6F EBU指引导管,Runthrough和Sion导丝在1.5mm球囊支持下,分别顺利到达前降支和对角支血管远端,1.5mm和2.5mm球囊进行预扩张(图3)。考虑两个对角支距离过近,我们采取了单支架Cross-over的处理,支架植入后,LAD血流良好,右肩位可见LAD通过穿隔支给RCA良好侧支(图4)。

图3 导丝进入左冠球囊预扩张后

图4 左冠右肩位可见LAD通过穿隔支给RCA良好侧支
更换SAL1.0指引导管,先后使用Fielder XT、M3导丝在150cm微导管支持下进行右冠CTO正向尝试,由于闭塞段较长,“海蛇头”样滋养血管干扰较大,不能正确穿刺闭塞段起点。
同时,考虑到LAD通过穿隔支给RCA良好侧支,我们决定尝试使用逆行导丝技术处理该病变。选择右侧股动脉径路,6F EBU指引导管,Fielder XT导丝在1.5m Finecross微导管支持下经穿隔支顺利到达RCA闭塞段远端(图5、图6)。但Finecross微导管不能通过穿隔支到达RCA,更人换Corsair微导管仍然不能通过穿隔支,微导管造影显示穿隔支扭曲严重(图7)。尝试选用其他穿隔支侧支均未成功(图8)。采用Sprinter 1.25mm×6mm球囊4atm低压扩张穿隔支后,Corsair微导管仍然不能通过(图9、图10)。
不得已之下我们只能使用Fielder XT导丝在微导管未充分支持下进行反复寻找尝试,最终顺利通过闭塞段,导丝进入前向SAL1.0指引导管内(图11),采用导管内锚定导丝技术反复尝试,微导管仍然无法进入前向SAL1.0指引导管内。在前向SAL1.0指引导管内放置Corsair微导管,操纵逆向Fielder XT导丝顺利进入前向Corsair微导管(图12)。以逆向Fielder XT导丝为轨道,推送前向Corsair微导管顺利到达闭塞血管远端(图13)。回撤逆向Fielder XT导丝,沿前向Corsair微导管送入Runthrough导丝至RCA远端,选用1.5mm、2.5mm球囊进行预扩张后,植入支架,最终造影结果见图14。

图5 Fielder XT导丝在微导管支持下经穿隔支顺利到达RCA闭塞段远端1

图6 Fielder XT导丝在微导管支持下经穿隔支顺利到达RCA闭塞段远端2

图7 微导管造影显示穿隔支扭曲严重

图8 尝试选用其他穿隔支侧支

图9 采用Sprinter 1.25mm×6mm球囊低压扩张穿隔支

图10 Corsail微导管仍然不能通过

图11 导丝进入前向SAL1.0指引导管内

图12 逆向Fielder XT导丝进入前向Corsail微导管

图13 以逆向Fielder XT导丝为轨道,推送前向Corsail微导管到达闭塞段远端

图14 最终结果



