患者,男性,51岁。因“阵发性胸闷6个月,加重1天 ”为主诉入院。
心血管病危险因素:糖尿病病史5年。
心电图:窦性心律,缺血性ST-T波改变。
心脏超声心动图:LVEDD 50mm,LVEF53%。
实验室检查:GLU 6.86 mmol/L,CREA 91.4 μmol/L,UA 239.6 μmol/L,CHO 3.89 mmol/L,TG 2.05 mmol/L,LDL-C 2.02 mmol/L,CK-MB 9.7 U/L,Tn-I 0.002 ng/ml。
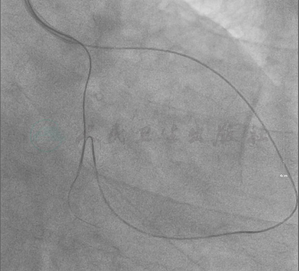
冠状动脉造影结果
选用右侧桡动脉径路,6F血管鞘。造影发现:右冠中段支架内无再狭窄,左主干内膜光滑无狭窄,左前降支中段完全闭塞,左回旋支近端完全闭塞(图1、图2)。

图1 冠脉造影示左前降支中段完全闭塞(RAO 30°+ CRA 30°view)

图2 冠脉造影示左回旋支近端完全闭塞
(RAO 30°+ CAU 30°view)
PCI过程
选择8F XB3.5指引导管放置到左冠脉口,在Corsair微导管的指引下,选择前向导丝技术,先后尝试了XT-R(0.010″/0.014″,ASAHI)及Gaia Second 导丝(0.011″/0.014″,ASAHI),虽然通过闭塞病变部位至远端分叉处的分支血管(side branch,SB)内,但是始终未穿过LCX闭塞段进入远端真腔内(图3),倾向于进入血管内膜下导致血管内膜撕裂,故决定采用逆向导丝技术,通过对角支至LCX远端的外周侧支循环,开通LCX闭塞病变。在Corsair微导管的指引下,选择Sion导丝沿着外周侧支循环,顺利到达LCX闭塞远端分叉处的前述同一个SB血管真腔内(图4),然后利用Soutenir microsnare抓捕Sion导丝前端(图5),把SION导丝拽入前向8F XB3.5指引导管内,之后把Corsair微导管沿着Sion导丝推送到前向8F XB3.5指引导管内,撤出Sion导丝,更换为330cm长的RG3(0.010″,ASAHI)导丝并通过微导管及指引导管推送出右动脉鞘外。依次选择MINI TREK球囊(1.5mm×15mm)及TREK球囊(2.5mm×15mm)沿着RG3导丝置入到LCX闭塞病变部位进行扩张。最后,选择Xience Prime支架(2.5mm×38mm)植入到LCX远端病变部位,选择Xience V支架(2.5mm×23mm)植入到LCX近端病变部位,最后造影结果见图6。

图3 XT-R导丝在LCX-CTO病变血管内

图4 利用逆向导丝技术把Sion导丝送入LCX-CTO病变血管远端真腔内
选择7F AL1.0指引导管放置到右冠脉口。在Corsair微导管的指引下,运用逆向导丝技术,把Sion导丝通过右冠至LAD远端的侧支循环,顺利到达mLAD闭塞段远端真腔内(图7),把Corsair微导管沿着Sion导丝送入mLAD闭塞段远端真腔内后撤出Sion导丝更换为Gaia Second 导丝,顺利通过mLAD闭塞病变部位至前向8F XB3.5指引导管内,把Corsair微导管沿着Gaia Second 导丝送入前向8F XB3.5指引导管内后,撤出Gaia Second 导丝,更换为330cm长的RG3导丝并通过微导管及指引导管推送出右动脉鞘外。依次选择MINI TREK球囊(1.5mm×15mm)及TREK球囊(2.5mm×15mm)球囊沿着RG3导丝置入到mLAD闭塞病变部位进行扩张。最后,选择Promus Element支架(2.75mm×32mm)植入到LAD中端病变部位,选择Promus Element支架(3.0mm×16mm)植入到LAD近端病变部位,最后造影结果见图8,造影剂总量为500ml。

图5 利用Soutenir microsnare抓捕Sion导丝拽回前向指引导管

图6 在LCX-CTO病变植入支架后的血管造影所见

图7 利用逆向导丝技术把Sion导丝送入mLAD-CTO病变血管远端真腔内

图8 在mLAD-CTO病变植入支架后的血管造影所见



