患者,男性,54岁。因“劳力性胸痛3年,加重1周”于2012年7月5日入院。近3年每于重体力活动时发生胸痛,呈典型心绞痛发作,休息或含服硝酸异山梨酯片后缓解。入院前1周患“急性下壁心肌梗死” 住外院药物治疗好转。出院后口服“阿司匹林、氯吡格雷、阿托伐他汀”等药物治疗,仍间断有胸痛发作。入院查血压120/80mmHg,双肺呼吸音清,心率75次/分,节律规整,各瓣膜听诊区无杂音。
心电图:窦性心律,Ⅱ、Ⅲ和aVF导联呈qr型和T波倒置;V3~V6导联的ST段下移0.1~0.3mV。
心脏超声心动图:LVEDD 51mm,LVEF60%。
实验室检查:血肌钙蛋白I(-)。
入院后予以负荷氯吡格雷和阿司匹林后行冠状动脉造影检查。
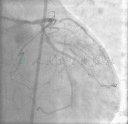
冠状动脉造影结果
选用右桡动脉径路,6F血管鞘,常规方法行CAG。CAG示:右冠状动脉(RCA)第3段病变累及后三叉,狭窄90%(图1);左主干(LM)无狭窄;左前降支(LAD)第7段100%闭塞;第1间隔支粗大并与LAD远端的间隔支形成侧支,逆灌注使LAD远端显影(图2);左回旋支中段100%闭塞(图3)。

图1 RCA第3段狭窄90%

图2 LCX-CTO病变

图3 间隔支侧支循环使LAD显影
PCI过程
首先选择6F JR3.5指引导管到达RCA口,BMW导丝2条,预扩张后植入3.0mm×15mm和3.5mm×15mm BuMa两枚支架,用(14~16)atm×15秒释放(图4)。接着用6F BL指引导管到达左冠脉口,先用Whisper导丝在1.25mm×15mm球囊支撑下通过LCX病变到达OM1,预扩张后植入2.5mm×20mm BuMa支架(图5)。LAD的CTO病变闭塞点很难判断,决定通过间隔支的侧支血管同侧逆向导丝方法做PCI。应用Whisper导丝通过第1间隔支到达远端,进入LAD远端,逆行向上到达LAD闭塞端(图6),穿过远端纤维帽,尽量上行接近近端闭塞口(图7),然后用Pilot 150导丝对准逆向导丝的尖端方向穿刺近端闭塞处的纤维帽,并使之与逆向导丝对吻(图8),调整前向导丝到达LAD远端,撤出逆向导丝,沿着前向导丝行预扩张(图9),按前向方法完成PCI,植入2.75mm×33mm支架1枚(图10)和完成间隔支与LAD的Kissing Balloon(图11),结果满意(图12)。

图4 支架植入后的RCA狭窄解除

图5 LCX植入支架后结果

图6 导丝通过间隔支逆向进入LAD

图7 导丝通过间隔支逆向到达LAD闭塞段近端

图8 导丝对吻

图9 撤回逆向导丝,沿着前向导丝行球囊扩张

图10 植入支架

图11 间隔支受压,行对吻球囊扩张

图12 LAD开通后结果
随访
临床随访已经13个月,患者无症状而拒绝CAG随访。



