患者,男性,65岁。因“活动后胸闷40日,加重10小时”入院。
心血管病危险因素:高血压史15年;吸烟30年,10支/日。
心电图:窦性心律,Ⅱ、Ⅲ、aVF导联T波低平。
心脏超声心动图:LVEDD 48mm,LVEF 65%。
实验室检查:血肌钙蛋白(-)。
入院后予负荷量氯吡格雷和阿司匹林治疗后行冠脉造影检查。
冠状动脉造影结果
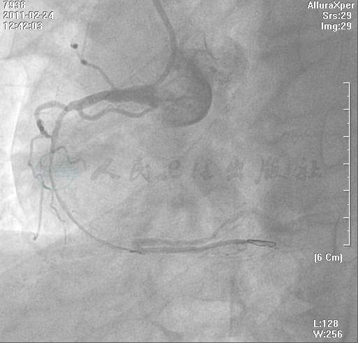
选用右侧桡动脉路径,6F动脉鞘。造影发现:左冠状动脉正常,可见间隔支到右冠状动脉远端侧支循环,右冠状动脉中远段完全闭塞,有残端,有自身桥侧支(图1~图3)。

图1 左冠造影未见明显异常

图2 可见间隔支到右冠状动脉远端侧支循环

图3 右冠造影
右冠造影显示右冠状动脉中远段完全闭塞,有残端,有自身桥侧支
PCI过程
经右股动脉置入6F AL-0.75导引导管至RCA开口;经右桡动脉置入5F TIG造影导管至LCA开口行对侧造影。在微导管辅助下Fielder导丝未通过病变,改用Crosswire NT导丝通过病变,对侧造影证实导丝在真腔内(图4)。分别用Sprint 1.5mm×6mm,Ryujin Plus 1.25mm×15mm和Apex push 1.5mm×8mm球囊,在深插AL导引导管增强支持力基础下反复推送,球囊未通过病变(图5)。决定改用旋磨,将微导管推送至闭塞病变处,撤出Crosswire NT导丝,细心操作交换为旋磨导丝(图6)。用1.25mm旋磨头以11万~13万转/分旋磨,第2次旋磨时旋磨头通过病变,共旋磨20秒×4次(图7~图9)。旋磨结束,撤出旋磨头前后分别造影,RCA残余狭窄80%,管腔光滑、无撕裂、TIMI血流3级(图10、图11)。球囊扩张后植入支架(图12、图13)。
随访
术后无心绞痛发作,一年后造影RCA无狭窄(图14、图15)。

图4 在微导管辅助下Fielder导丝未通过病变,改用Crosswire NT导丝通过病变,对侧造影证实导丝在真腔内

图5 分别用Sprint 1.5mm×6mm,Ryujin Plus 1.25mm×15mm和Apex push 1.5mm× 8mm球囊,在深插AL导引导管增强支持力基础下反复推送,球囊未通过病变

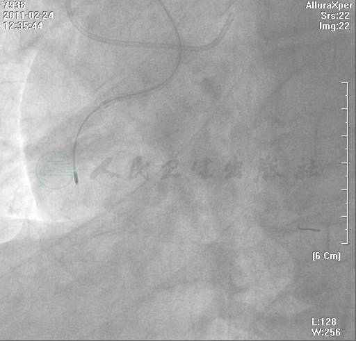
图6 决定改用旋磨,将微导管推送至闭塞病变处,撤出Crosswire NT导丝,交换为旋磨导丝

图7 用1.25mm旋磨头以11万~13万转/分旋磨,第一次旋磨20秒,旋磨头未通过病变

图8 造影无慢血流

图9 再次以11万~13万转/分旋磨20秒,旋磨头通过病变,共旋磨20秒×4次

图10 旋磨结束,撤出旋磨头前造影,RCA残余狭窄90%,管腔光滑、无撕裂,TIMI血流3级

图11 撤出旋磨头后造影,RCA残余狭窄80%,管腔光滑、无撕裂、TIMI血流3级

图12 球囊扩张后植入支架

图13 球囊扩张后植入支架

图14 一年后造影RCA无狭窄

图15 一年后造影RCA无狭窄



