简要病史
患者,男性,66岁。因“反复胸痛10年,加剧16小时”于2012年2月16日入院。当地医院查肌钙蛋白、肌红蛋白、CK-MB升高。
心电图:Ⅱ、Ⅲ、aVF异常Q波伴T波倒置。
超声心动图:二尖瓣、三尖瓣少量反流,左室舒张功能下降,EF65%。实验室检查:肌钙蛋白I 2.42 ng/ml,CK-MB 39IU/L。
诊断:急性下壁心肌梗死
因患者持续胸痛不能缓解,转入我院后予负荷量阿司匹林、波立维口服,并决定行急诊冠状动脉造影检查,必要时行直接PCI。
简要病史
患者,女性,74岁。因“胸闷、胸痛6年,加重伴气喘1个月余”入院。既往有“陈旧性心肌梗死”病史6年,有慢性阻塞性肺病史10余年。
心血管危险因素:高血压史20余年,无糖尿病和高脂血症史。
心电图:窦性心律,Ⅱ、Ⅲ、aVF导联病理性Q波,胸前导联ST-T变化。
心脏超声心动图:下后壁活动度减低,LVEF49%。
肺功能检查:重度阻塞性通气功能障碍。
实验室检查:血糖、血脂正常;血肌酐261μmol/L;肌钙蛋白I轻度增高。
冠状动脉造影结果
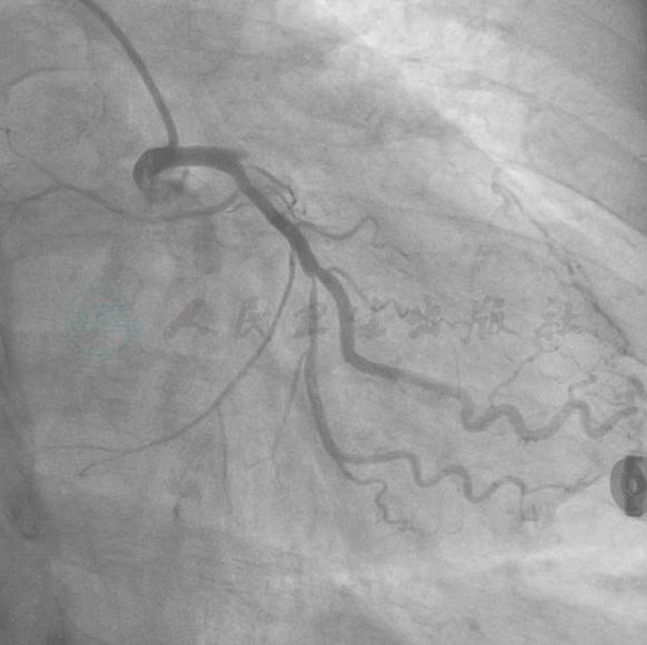
选用右侧桡动脉径路,6F血管鞘。造影发现(图1~图3):左主干未见明显狭窄或阻塞性改变,前降支起始部100%闭塞,远端可见来自回旋支侧支循环。回旋支近中段弥漫性病变,狭窄最重90%。右冠状动脉:近段100%闭塞。

图1 右冠造影

图2 左冠造影1

图3 左冠造影2
PCI过程
选用6F 0.75ALGuiding导管到右冠状动脉开口处,选Fileder钢丝顺利进入右冠远端,替罗非班经冠脉注射1mg,采用Trombuster Ⅱ抽吸导管于病变处反复抽吸,造影显示右冠恢复前向血流,右冠近段弥漫性病变,残余狭窄90%,直接植入3.0mm×30mm Endeavor支架一枚,10atm×10s下释放成功,原支架球囊14atm后扩张,重复造影显示无残余狭窄,TIMI血流3级,并见右冠对前降支远端提供一定侧支循环,遂结束手术。术后患者平稳出院,接受常规药物治疗。
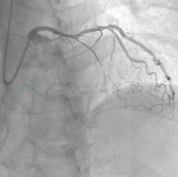
1个月后行前降支CTO介入治疗,先行右冠状动脉造影,见右冠原支架未见狭窄,远端可见对前降支明显侧支循环。选6F EBU3.5 GC,但因到位困难且支撑力差而改为6F EBU3.75 GC。造影显示前降支起始部仍然100%闭塞,远端可见来自回旋支良好侧支循环。因考虑LAD闭塞病变具有明确锥型闭塞断端,故首先选用Filder XT钢丝,反复尝试未能通过前降支闭塞段,遂将该导丝送入回旋支稳定指引导管、加强支撑。在Finecross微导管支撑下,改用Miracle 3导丝也未能通过闭塞病变,换成Miracle 6导丝,通过一定操作,导丝进入近段闭塞段,造影显示导丝进入闭塞血管远端真腔,但从血管走向判断,应该为对角支。通过微导管交换成原Miracle 3导丝,重新送入Miracle 6导丝,以对角支导丝作为参考,调整方向后缓慢前行,但造影提示导丝在前降支近中段以后进入假腔。再次利用平行导丝技术调整导丝方向成功通过前降支闭塞病变,多体位造影通过逆向显影血管判断导丝在真腔。推送微导管通过闭塞病变,并交换成Runthrough导丝。先后选1.25mm×10mm、2.5mm×15mm球囊作预扩张闭塞段血管,造影显示前降支恢复前向血流,起始部至近中段弥漫性狭窄伴夹层,冠脉注射硝酸甘油200μg后,自前降支近中段至起始串联植入2.75mm×36mm和3.0mm×36mm Partner支架两枚,近端采用精确定位,因串联植入长支架,故以3.25mm×12mm非顺应性球囊由远及近进行后扩张。最终造影显示支架膨胀良好,无残余狭窄,大部分分支开放,前向血流TIMI 3级。拔出鞘管,结束手术(图4~图14)。

图4 第二次PCI术前右冠造影复查

图5 第二次PCI术前左冠造影复查1

图6 第二次PCI术前左冠造影复查2

图7 Miracle6导丝进入对角支

图8 Miracle3导丝通过微导管送入对角支作参照

图9 Miracle6导丝远端进入假腔

图10 利用平行导丝技术Miracle6导丝进入真腔

图11 多体位投照证实导丝在真腔

图12 交换Runthrough导丝至前降支远端并1.25mm球囊预扩后造影

图13 PCI术后最后结果1

图14 PCI术后最后结果2
冠状动脉造影结果
选择右侧桡动脉入路,6F桡动脉鞘。造影结果显示:左主干正常;左前降支中段95%狭窄;回旋支相对较粗大,近段30%狭窄,远端自一大的OM3分叉处慢性闭塞,闭塞远端有侧支循环显影,OM3近段70%狭窄;左冠造影时可见来自左回旋支和前降支的分支向右冠建立的侧支循环(图15~图18);右冠近段完全闭塞,闭塞端有较多的细小桥侧支形成,右冠远端通过近段细小分支形成的侧支循环隐约显影(图19、图20)。

图15 左冠病变1

图16 左冠病变2

图17 左冠病变3

图18 左向右侧支循环

图19 右冠闭塞,桥侧支形成1

图20
PCI过程
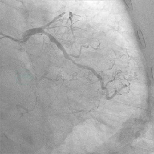
选择6F Amplatz L1.0指引导管,Miracle 3导丝在微导管支撑下通过闭塞端,但继续向前推送通过右冠中段后只能进入一小的右室支(图21),调整导丝的弯度反复尝试均难以进入主支,后保留该导丝选择另一根Miracle 3导丝,尝试采取双导丝技术仍然不能进入主支。在确定导丝在分支血管的情况下,选择Sprinter1.5mm×15mm球囊以6~8atm反复扩张闭塞近段至估计该右室支分出的节段(图22),造影显示扩张节段血管开通,该右室支显影改善(图23)。保留该分支导丝,将另一根Miracle 3导丝尝试探寻主支开口,并顺利找到主支真腔,进入血管远端(图24)。球囊预扩张后主支血管开通(图25),最后由远至右冠开口分别植入2.75mm×33mm、3.0mm×33mm和3.5mm×18mm支架,造影显示右冠通畅,效果满意(图26)。一周后复查造影显示右冠通畅,行左前降支成功PCI术后康复出院。

图21 导丝进入右室支

图22 小球囊扩张

图23 分支显影

图24 另一导丝进入冠脉主支

图25 预扩张后主支显影

图26 支架后最终结果



