案例诊断
肺栓塞;股骨干骨折固定术后
病历摘要
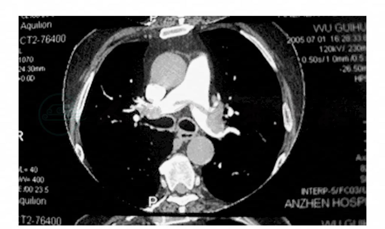
患者湛XX,男性,40岁,于2004年10月1日在外院行股骨干骨折固定术,术后绝对卧床,术后25天查房时活动并按摩患肢后突发胸憋、心悸、出汗,颜面青紫,继而神志不清伴抽搐,以“急性肺栓塞”转入北京安贞医院。入院查体: T 36.8℃,BP 120/75mmHg,R 34次/分,肥胖,面色苍白,口唇微绀,呼吸浅快,心率134次/分,P2>A2,未闻及杂音,腹软,右下肢肿胀。右膝关节(上49mm,下33mm)左膝关节(上51mm,下35mm)。胸部CTPA示:血栓骑跨双侧肺动脉(图1)。UCG示:右心扩大,SPAP 35.5mmHg。
图1 胸部CTPA示血栓骑跨双侧肺动脉
治疗过程
继续皮下注射低分子肝素和口服华法林抗凝治疗,6个月后停用华法林,治愈。



