病历摘要
男性,45岁。主因“间断头痛、活动后气促1年”于2013年11月27日来我院就诊。
现病史 1年前患者前无明显诱因间断出现头痛发作,无恶心、呕吐等症状,此后逐渐出现活动后胸闷、气促,无发热、胸痛。曾于当地医院行脑脊髓MRI和胸部CT检查,提示胸段脊髓占位、右上纵隔占位性病变,未予特殊治疗,患者为求进一步手术治疗来我院就诊。
既往史 平素身体良好。否认外伤史。1997年纵隔探查术。否认药物及食物过敏史。
个人史 生活较规律,无饮酒史。
家族史 否认纵隔肿瘤及动脉瘤家族史,否认高血压、糖尿病家族史。
体格检查 体温36.0℃,脉搏104次/分,呼吸20次/分,血压114/78mmHg。神志清楚,查体合作。面容正常,淋巴结未见明显异常。胸骨无畸形。胸前区听诊示双肺呼吸音清,未闻及干、湿啰音。心率104次/分,律齐,心音可,心前区未闻及明显杂音。腹部饱满,无压痛、反跳痛、肌紧张,肝、脾未触及。双下肢无水肿,动脉搏动存在。
最终诊断
无名动脉瘤。
血常规:白细胞计数12.12×109/L,血小板计数374×109/L;尿、便常规正常;生化检查:总蛋白36.4g/L,丙氨酸氨基转氨酶41U/L,γ-谷氨酰转移酶53U/L,Mg2+1.21mmol/L,血脂、血糖、血凝分析正常。心电图未见明显异常。
2013年11月28日,胸部 (心脏)X线正侧位:胸廓对称,右侧胸腔内可见大片类圆形高密度影 (图1),边界尚清,气管变细并向左侧偏移;心影大小、形态未见异常,右侧膈面抬高,膈面毛糙;左肺野清晰,右下肺可见条片状、条索状高密度影,右侧肋膈角变钝。结论:右侧大片高密度影,结合临床符合动脉瘤表现。

图1 X线胸片示无名动脉动脉瘤 (箭头所示)
超声心动图:胸骨右缘探查右上纵隔内可见一类圆形囊性团块,大小约12.7cm× 10.1cm,薄膜厚薄不均,其内可见最大直径约1.6cm的附壁团块回声,内见云雾影;彩色多普勒血流成像:囊性包块内可见明亮射流信号来自前上壁,峰速 2.5m/s,压差26mmHg(图2A~2C);左心室造影:右上纵隔类圆形囊性团块内可见对比剂填充(图3)。结论:右上纵隔内假性动脉瘤并附壁血栓形成,来源欠清。


图2 经胸超声心动图 A:二维超声心脏短轴切面示无名动脉瘤瘤腔 (箭头所示);B:二维超声心脏短轴切面示无名动脉瘤附壁血栓 (箭头所示);C:脉冲多普勒示无名动脉动脉瘤内高速射流血流

图3 左心声学造影提示无名动脉瘤腔内对比剂充填
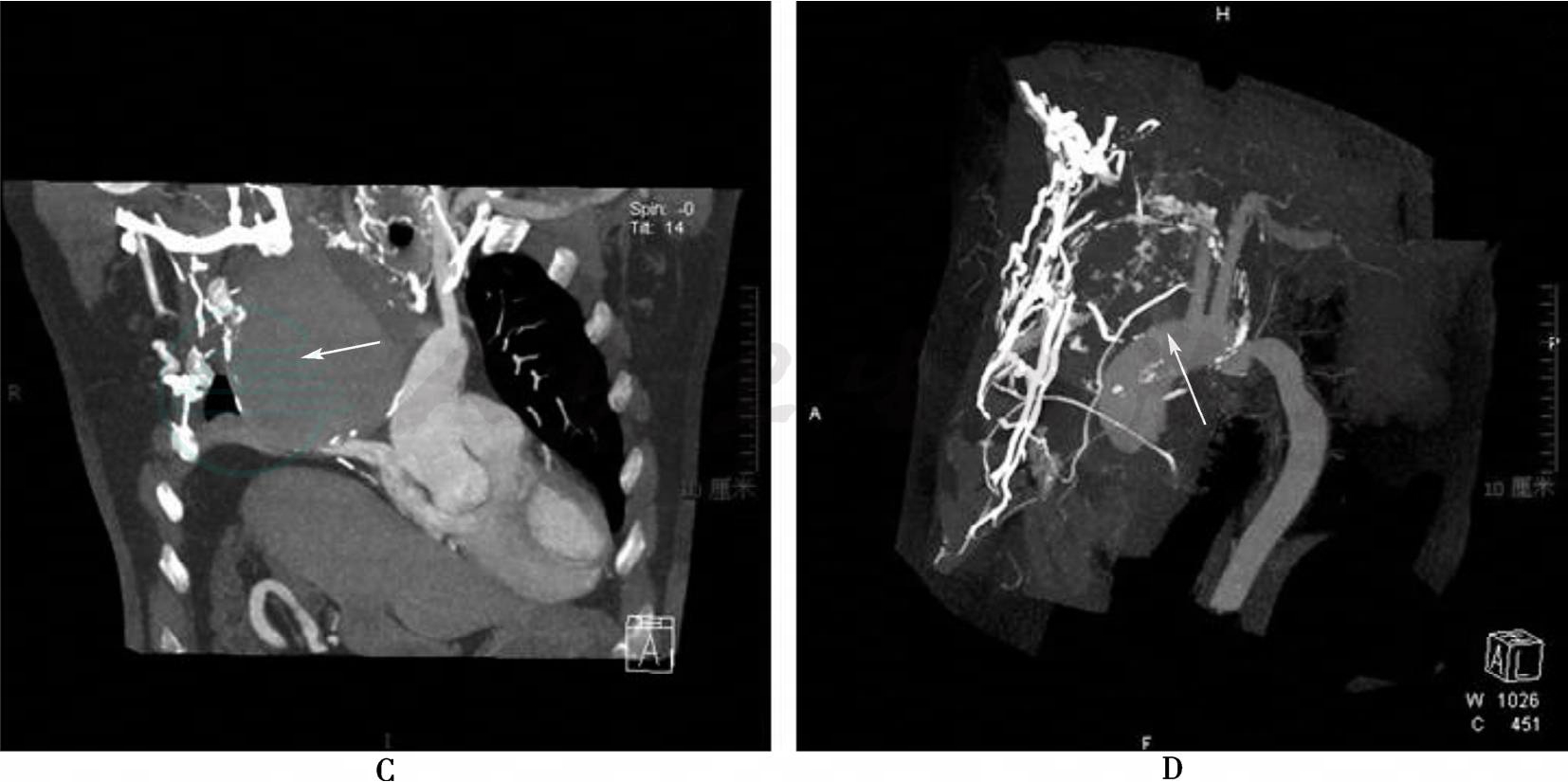
2014年1月2日,胸部CT/CTA:右侧胸部见巨大囊状混杂密度团块,大小约12cm× 12cm×11cm,囊壁多发钙化,囊壁下见无强化组织影;内部大部分区域较明显强化,与头臂干末端-右锁骨下动脉近段分界不清;右侧头臂干、颈内动脉显影稍浅淡,右锁骨动脉中远段显影不清 (图3A~3D)。结论:右胸部肿块,多考虑为右上纵隔来源占位性病变 (右侧头臂干末端-右锁骨下动脉受压、显影浅淡),右侧头臂干末端-右锁骨下动脉假性动脉瘤可疑 (囊壁钙化,腔内部分血栓化)。


图4 胸部CT/CTA
A、C:分别CT平扫横断面、矢状面,可见无名动脉动脉瘤,与纵隔肿瘤不易鉴别 (箭头所示);B:增强CT显示无名动脉动脉瘤瘤腔强化 (箭头所示);D:CT重建无名动脉起始段显示欠清(箭头所示)
2014年1月15日,给予手术治疗,术中探查见无名动脉起始段下方发出一巨大动脉瘤,大小约10cm×15cm×15cm,内有附壁血栓形成。术后病理诊断提示“动脉瘤伴钙化及血栓形成”。



