男性,28岁。主因“发作性心悸、气短2年余,加重3天”入院。
现病史 2年前患者每于劳累休息欠佳、饮酒后出现心悸、气短,最长持续约1小时,发作时伴大汗,无发热、寒战,无恶心、呕吐,无肩背部放射痛,无咽部紧缩感等特殊不适。2年间不规律发作共计7次,未予诊治。3天前患者上呼吸道感染后感心悸、气短等不适略加重,伴咳嗽、咳黄痰。就诊我院门诊,查心电图:窦性心律,左心室高电压,P波异常,ST-T异常;X线胸片:心影增大;超声心动图:右冠状动脉瘤样扩张、右冠状动脉-右心室瘘。
既往史 家属诉患者出生时诊断为“先天性心脏病”(具体不详)。否认高血压、糖尿病、冠心病史。
个人史 吸烟10年,20支/日。偶尔饮少量酒。否认疫区居住史。
家族史 父母健在。否认家族遗传病史。
体格检查 体温36.6℃,脉搏73次/分,呼吸19次/分,血压150/80mmHg。神清、精神差。无颈静脉怒张。双肺呼吸音清、未闻及干、湿啰音。心界向左侧扩大,心率73次/分,律齐,未闻及期前收缩,胸骨左缘第3肋间闻及收缩期及舒张期3/6级吹风样杂音向肩背部传导,以收缩期为主,胸骨右缘第4、5肋间听诊区闻及收缩期、舒张期3/6级吹风样杂音向肩背部传导,以舒张期为主。腹软,无压痛、反跳痛及肌紧张,肝、脾肋下未触及。周围血管征可扪及水冲脉。
辅助检查 血常规、尿常规、便常规、凝血功能未见明显异常。生化检查:甘油三酯2.14mmol/L,肌酸激酶、电解质、血糖均正常,肌酸激酶同工酶。胸部CT平扫:左肺下叶纤维索条影,心影增大、心包积液,双侧胸腔积液,前纵隔少量积气。
入院后,首次超声心动图:右冠状动脉瘤样扩张(31mm),左冠状动脉支发育正常(5mm),右冠状动脉-右心室瘘,左心室收缩功能正常(LVEF 62%);多切面探查可见右房室环区右冠状动脉缩窄后扩张呈瘤样破入右心室,右心室内入口处血流信号呈连续性花色,流速3.2m/s;主动脉窦部内径54mm,升主动脉增宽(39mm),左心房前后径39mm,左心室舒张末期内径77mm,左心室收缩末期内径50mm。3天后,复查超声心动图:右冠状动脉瘤样扩张(33mm),右冠状动脉-右心室瘘,主动脉窦瘤 (56mm),升主动脉明显增宽(42mm),左心室显著增大 (左心室舒张末期内径76mm,左心室收缩末期内径49mm),左心房明显增大(前后径46mm),右心室增大(33mm);轻度二尖瓣、三尖瓣、主动脉瓣反流,轻度肺动脉高压(肺动脉收缩压47mmHg);左心室舒张功能减低,左心室收缩功能正常 (LVEF 63%);多切面连续扫查示瘤样扩张的右冠状动脉途径右房室环区进入右心室,瘘口处探及宽约8mm的双期连续性花色血流信号,流速4.0m/s(图1)。
而后,进一步完善冠状动脉造影:左主干粗大,未见狭窄;前降支近中远段未见狭窄;左回旋支中等,近中远段未见狭窄;右冠状动脉自开口至远段极度扩张,显影欠佳(图2)。结论:右冠状动脉瘤样扩张,右冠状动脉-右心室瘘。左心室造影:轻度主动脉瓣反流,右冠状动脉显影且全程极度扩张,右心室延迟显影;左心室压94/8mmHg,左心室流出道压90/17mmHg。右心导管术:右心室明显扩大。冠状动脉CT重建:右冠状动脉弥漫性扩张,右冠状动脉-右心室瘘 (图3)。

图1 超声心动图
A:术前,大血管根部短轴切面显示右冠状动脉显著增宽呈瘤样扩张 (内径33mm);B:术前,大血管根部短轴切面显示右冠状动脉瘤样扩张腔内彩色血流信号;C:术前,非标准胸骨旁四腔心切面显示紧邻右心房室交界区瘤样扩张的右冠状动脉,内径大小33mm×24mm;D:术前,非标准胸骨旁四腔心切面显示瘤样扩张的右冠状动脉自右房室交界区进入右心室后内径变窄,经瘘口 (内径8mm)与右心室交通;E:术前,胸骨旁右心室短轴切面显示右心室腔内异常花色血流信号;F:术前,胸骨旁右心室短轴切面显示右心室腔内异常血流信号入口处记录的收缩期-舒张期连续频谱

图2 术前冠状动脉造影
A:正头位示前降支显影正常,未见明显扩张;B:正足位提示回旋支显影正常,未见明显扩张;C:正头位提示巨大右冠状动脉,显影不清;D:非选择性冠状动脉造影提示巨大右冠状动脉,右冠状动脉-右心室瘘
主要诊断 巨大右冠状动脉瘤,右冠状动脉-右心室瘘。
确诊后予患者“右冠状动脉-右心室瘘修补+主动脉窦部成形+卵圆孔未闭缝闭术”。术中探查:AO/PA 3.1/4.2,主动脉窦部增宽5.5cm;右冠状动脉明显增宽、最宽处内径3cm,卵圆孔未闭大小约0.4cm,右冠状动脉-右心室瘘口约1cm(图4)。术后患者一般状况良好出院。
术后随访 术后1个月,复查超声心动图:右冠状动脉-右心室瘘修补术后,心腔内(右心室)未见明显异常血流信号,主动脉窦瘤(54mm)、升主动脉增宽(43mm)、左心室增大(左心室舒张末期内径64mm,左心室收缩末期内径43mm),左心房前后径32mm,轻度三尖瓣、主动脉瓣反流,少量心包积液,左心室收缩功能正常(LVEF 60%)。

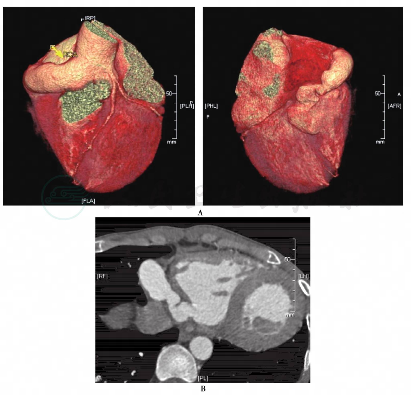
图3 术前冠状动脉CT
A:容积重建显示巨大右冠动脉汇入右心室;B:二维轴位图像进一步证实右冠状动脉汇入右心室

图4 术中证实巨大右冠状动脉瘘口与右心室相通



