男性,47岁,汉族,广东省博罗县人,职业:干部。
病史
主诉
突发不能言语、右侧肢体无力15天。
现病史
患者于2009年4月14日下午长时间开会,至晚上19时左右觉头晕、恶心,21时呕吐胃内容物1次,然后上床休息。15日凌晨3时患者被家人叫醒后未发现有异常,但至凌晨4时家人发现其不能应答,并发现其右侧上下肢不能抬离床面。即被急送当地医院,急查头颅CT未见颅内出血,拟诊为“急性脑梗死”住院治疗。住院后第二天,患者右侧上下肢无力好转,可以抬离床面,但仍不能讲话,但能部分理解家人的询问。经治疗,患者右侧肢体无力明显改善,可下地独立行走,对语言的理解能力也有改善,并可讲简单词句;4月18日复查头颅MRI示“左侧大脑中动脉供血区脑梗死”。为进一步诊治,2009年4月29日转入我科。起病以来,无发热、咳嗽,无抽搐,精神胃纳可,睡眠稍差,大小便正常。
既往史
健康状况良好。否认高血压、糖尿病、冠心病、脑卒中病史。否认肝炎、结核等传染病病史。无手术、外伤、输血史。
过敏史
无食物、药物过敏史。
个人史
原籍出生并长大。否认到过疫区及疫水接触史,否认特殊化学品及放射线接触史。无烟、酒等不良嗜好。
婚育史
27岁结婚,育有1子,配偶和儿子体健。
家族史
家族成员中未发现有类似疾病及特殊遗传病史。
体格检查
一般情况
体温36.5℃,心率75次/分,呼吸18次/分,血压115/75mmHg。发育正常,营养中等,精神好,自主体位,查体合作。全身皮肤及黏膜无发绀、黄染、苍白,浅表淋巴结未触及肿大。头颅五官无畸形,双侧扁桃体无肿大。颈软,颈静脉无怒张,气管居中,甲状腺不肿大,未闻及血管杂音。胸廓无畸形,心肺腹检查无异常。脊柱、四肢无畸形,下肢无水肿。肛门及外生殖器未查。
专科检查
精神智能状态
神志清楚,无幻觉、妄想,理解力稍差,言语表达不清,有混合性失语,无失认及体象障碍。
脑神经
嗅觉、视力粗查正常,双侧视野粗测未见缺损;双眼底视乳头边缘清,A∶V=2∶3,动脉反光正常,未见动静脉压迹,视网膜未见出血、渗出。无眼裂增大或变窄,双眼睑无下垂,双眼球居中,无突出、凹陷,眼球各向运动无受限,无凝视、复视,双侧瞳孔等圆等大,直径约3.5mm,双侧直接、间接对光反射佳,调节、辐辏反射正常引出。双侧面部痛、触觉对称,双侧咀嚼肌无萎缩,咀嚼动作对称有力,张口下颌无偏歪,双侧角膜反射正常,吸吮反射、下颌反射未引出。额纹对称,双侧皱额、皱眉、闭目完成好,右侧鼻唇沟较左侧稍浅,露齿口角左偏,鼓腮、吹哨动作完成差。双耳听力粗测及音叉试验正常。不能言语,无饮水呛咳及吞咽困难,软腭上抬有力,悬雍垂居中,咽后壁感觉存在,咽反射存在。双侧胸锁乳突肌与斜方肌饱满,转颈、耸肩有力。伸舌右偏,未见舌肌萎缩及颤动。
运动系统
右利手,肌肉无萎缩;右上下肢肌张力稍增高;右上肢近端肌力5-级、远端肌力4级,右下肢肌力5-级;行走时右下肢轻微拖拽;未见共济失调及不自主运动。
感觉系统
双侧痛、触觉对称存在,双侧音叉振动觉、关节位置觉、运动觉未见异常,双侧形体觉、定位觉、两点辨别觉及图形觉正常存在。
反射
右侧上下肢腱反射(+++),右侧腹壁反射(+),其余反射未见异常。
病理反射
右侧巴宾斯基征阳性,其余病理征未引出。
脑膜刺激征
未引出。
自主神经系统
皮肤、毛发、指(趾)甲营养好,泌汗及大小便功能正常,皮肤划痕反应无异常。
辅助检查
实验室检查
无特殊。
影像学检查
头颅CT
(2009-4-15外院)符合早期脑梗死表现(图1)。
头颅MRI
(2009-4-18外院)左侧大脑中动脉供血区脑梗死,累及豆状核、侧裂池周围皮质(图2)。
图1 发病后2小时头颅CT平扫
a:可见左侧大脑中动脉高密度征(白箭头所示);b:可见左侧侧裂池点状高密度征(白箭头所示);c:显示左侧岛带征消失,左侧壳核密度较右侧降低,与内囊分界模糊,左侧额叶、颞叶局部皮质区低密度
图2 发病后第3天磁共振FLAIR
左侧壳核、尾状核体部、外囊、岛叶、额下回、颞上回脑梗死,梗死范围基本位于侧裂池周围
入院后辅助检查
实验室检查
血常规
白细胞计数5.08×109/L,红细胞计数5.00×1012/L,红细胞压积0.425,血小板计数194×109/L。
出凝血常规
凝血酶原时间13.9秒,国际标准化比值1.17,部分凝血活酶活化时间27.60秒,凝血酶时间15秒,纤维蛋白原2.53g/L。
血脂
甘油三酯1.30mmol/L,总胆固醇3.7mmol/L,HDL-C 0.70mmol/L,LDL-C 2.69mmol/L。
空腹血糖
5.7mmol/L。
肾功能
肌酐59μmmol/L,尿素氮5.1mmol/L。
肝酶、肝功能
未见异常。
风湿免疫学
血沉9mm/h,CRP 3.78mg/L,PPD-IgG阴性,RPR阴性,TPPA阴性,Anti-HIV阴性,ANCA组合未见异常,ASO、RF、淀粉样蛋白测定未见异常,抗ANA、抗DNP滴度、抗Ds-DNA、抗组蛋白抗体、抗核小体抗体、抗SSA、抗SSB、抗SM、抗JO-1、抗RNP、抗SC-70、抗着丝点抗体均为阴性。
尿常规
未见异常。
大便常规
未见异常。
电生理学与影像学
十二导联心电图、彩色多普勒超声心动图
未见异常。
胸部DR正侧位片
未见异常。
头颅MRI+MRA
(2009年5月5日)左侧大脑中动脉供血区脑梗死,累及豆状核、侧裂池周围皮质,左侧大脑中动脉分支显影稀少,局部血流信号中断(图3)。
颈部CTA
(2009年5月6日)见图4。
图3 发病后第20天磁共振T2WI、MRA
a、b:T2WI显示左侧大脑中动脉供血区亚急性期梗死病灶,局部已可见软化灶;c:MRA显示左侧大脑中动脉主干通畅,无狭窄病变,但分支显影稀疏,提示闭塞
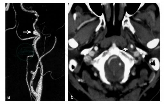
图4 发病后第21天颈部CTA
a:颈部CTA显示左侧颈内动脉颅外段靠近颅底部分血管走行迂曲,局部血管腔呈囊状扩张(白箭头),囊状扩张远侧局部管腔狭窄;b:CTA原始图像可见狭窄部位局部颈动脉外径增大,造影剂充盈之血管腔为月牙形等密度影所包绕(白箭头)
入院诊断
定位:左侧大脑半球。
定性:缺血性。
初步诊断:左侧大脑中动脉供血区脑梗死。
住院期间对患者进行了语言功能康复训练和高压氧治疗,同时予以口服氯吡格雷(Clopidogrel)(75mg,每日一次)以及营养神经、改善循环药物治疗。出院时患者语言理解力好转,可说话,但有断句、不流利,右侧肢体仍轻度无力,但可自行行走。
出院后患者继续服用氯吡格雷(75mg,每日一次)以及弥可保(Methycobal,甲钴胺片)、舍曲林(Sertraline)、美金刚(Memantine,易倍申)、都可喜(Duxil,甲磺酸阿米三嗪/萝巴新片);同时,坚持肢体功能锻炼以及语言训练。发病3个月后随访,患者右侧肢体无力进一步改善,言语亦较前流利。
2009年7月20日脑血管造影(图5)提示,原左侧颈内动脉病变部位局部扩张仍然存在,但狭窄已经消失,且左侧大脑中动脉分支显影良好,说明闭塞的分支血管进一步再通。由于患者夹层部位狭窄消失、夹层动脉瘤未进一步扩大,同时无复发症状,所以继续予以语言功能训练和氯吡格雷,未再作进一步介入治疗。
2010年1月进行门诊随访,患者语言功能较第一次随访时进一步改善,除稍有发音不清外,无其他明显异常,已经能重新投入工作岗位。复查颈部CTA(图6)显示,原夹层部位夹层动脉瘤已经明显缩小,局部无狭窄,夹层已基本愈合。继续服用氯吡格雷,待进一步随访并证实夹层完全愈合后才停用氯吡格雷。
图5 发病后3个月脑血管造影
a、b:左侧颈内动脉正位造影和3D成像进一步证实原先颈部CTA关于夹层的诊断,原病变部位局部扩张仍然存在,但狭窄已经消失;c:颅内造影显示左侧大脑中动脉分支显影良好,说明闭塞的分支血管进一步再通
图6 发病后9个月颈部CTA
夹层基本愈合,只残留有局部少许扩张(黑箭头所示)



