患者,男性,75岁,广东省揭阳市人。
病史
主诉
反复头痛2年余,加重1月。
现病史
患者于2年多前无明显诱因出现左侧颞枕顶部头痛,呈针刺样痛、搏动性痛、胀痛均有,但以针刺样痛最为常见,有时可放射至左侧下颌后部,与体位无明显相关性;疼痛呈发作性,发作时手碰到头发疼痛会更加明显,每次持续10~20分钟可以缓解,平均每周发作2~3次,均为夜间发作;发作时神志清楚,无流泪,无眼前闪光或暗点,无视物重影,无鼻塞、流涕,无头晕,无耳鸣,不伴恶心、呕吐,无肢体麻木及乏力。曾在当地医院治疗(具体不详),无明显好转,头痛的持续时间和发作频率逐渐增加。2007年7月,在我院经头颅MRI检查未见明显异常,诊断为“神经性头痛”,予以改善循环、营养神经及对症治疗后,症状明显好转出院。出院后,口服药物治疗期间头痛未再发作,自行停药半年后,头痛再次发作,性质及部位与两年前相同。近1个月,患者头痛症状明显加重,每晚均有头痛发作,每次持续1~2小时才能缓解,缓解后可再次发作,严重影响睡眠;有时白天也有发作。两周前,在我科门诊予以“都梁软胶囊,帕罗西汀,乌灵胶囊”等治疗,症状无缓解,为进一步诊治入住我科。发病以来,精神差,胃纳尚可,体重无明显变化,大小便无异常。2周前曾出现声音嘶哑,在我院耳鼻喉科诊断为“慢性咽炎”,治疗至今未愈。
既往史
多年前右手食指外伤,致中远节缺如。1978年发现“慢性肝炎”,1998年患“眩晕症”,已治愈。2006年4月,自认为因使用“药物”(具体不详)突然出现左耳耳鸣及听力下降。4个月前发现患有“高血压病”,服用“替米沙坦”,血压控制良好。否认糖尿病、冠心病、脑卒中病史;否认结核、伤寒等传染病史;否认手术、输血史;预防接种史不详。
过敏史
否认食物、药物过敏史。
个人史
出生并于原籍长大。否认到过疫区及疫水接触史,无烟酒嗜好,否认特殊化学品及放射线接触史。性病冶游史不详。
婚育史
已婚育,配偶及子女健在。
家族史
家族中未发现有类似疾病患者及特殊遗传病史。
体格检查
一般情况
体温36.5℃,脉搏60次/分,呼吸18次/分,血压125/75mmHg。发育正常,营养中等,神志清楚,查体合作。皮肤、黏膜无发绀、黄染,浅表淋巴结未触及肿大。头颅五官无畸形,巩膜无黄染。颈软,颈静脉无怒张,气管居中,甲状腺不肿大,未闻及血管杂音。胸廓无畸形,胸骨无压痛,双侧乳房发育正常。双肺呼吸音清,未闻及干湿性啰音,未闻及胸膜摩擦音。心前区无隆起,未见异常心尖搏动,心律齐,心音有力,各瓣膜听诊区未闻及病理性杂音。腹部平坦柔软,无压痛及反跳痛,未触及腹部肿块。肝胆脾肋下未触及。肠鸣音正常,6次/分,未闻及血管杂音。肛门及外生殖器未查。脊柱四肢无畸形,双下肢无水肿。
专科情况
精神智能状态
无幻觉、妄想,时间、地点、人物定向力正常,近、远事物记忆力及计算力正常,无失读、失写,理解力正常,言语欠清,无失认及体象障碍,查体合作。
脑神经
嗅觉及视力粗测无异常,视野无缺损,双眼底视乳头边缘清,A∶V=2∶3,动脉反光增强,未见动静脉压迹,视网膜未见出血、渗出。双侧眼裂对称,双眼睑无下垂,双眼球居中,无突出、凹陷,眼球各向运动好,无凝视,无复视,无眼球震颤。双侧瞳孔等圆等大,直径约4mm,双侧直接、间接对光反射灵敏,调节、辐辏反射正常引出。左颞顶区轻按有压痛;双侧面部痛、温、触觉正常对称,双侧咀嚼肌无萎缩,咀嚼动作对称有力,张口下颌不偏歪,双侧角膜反射正常,吸吮反射、下颌反射未引出。双侧额纹对称,双侧皱额、皱眉、闭目完成好,双侧鼻唇沟对称,露齿口角不偏歪,鼓腮、吹哨动作能完成,舌前2/3味觉正常。左耳听力粗测减退,Rinne试验双侧均为AC>BC,但左侧AC和BC时间均较右侧短,Weber试验右侧较响。声音稍嘶哑,无饮水呛咳、吞咽困难,双侧软腭上抬有力,悬雍垂居中,咽后壁感觉存在,双侧咽反射存在,舌后1/3味觉正常。双侧胸锁乳突肌与斜方肌饱满;双侧转颈、耸肩有力。伸舌左偏,左后部舌肌有萎缩及舌肌震颤。
运动系统
四肢肌肉无萎缩及假肥大,肌张力、肌力正常;未见共济失调及不自主运动;姿势、步态无异常。
感觉系统
双侧对称存在。
反射
浅反射存在,四肢腱反射对称存在。
病理反射
未引出。
脑膜刺激征
未引出。
自主神经系统
全身皮温正常,湿度适中,皮肤弹性好,毛发、指(趾)甲营养中等,排尿、排便正常,皮肤划痕试验反应无异常。
辅助检查
实验室检查
血液学
血常规
未见异常。
血生化、肝肾功能、体液免疫、ANCA组合、抗磷脂组合、梅毒+HIV、PPD-IgG均未见异常。
ESR
36mm/h( 参考值0~28mm/h)。
EB病毒
VCA-IgA( -),VCA-IgG( +),VCA-IgM( -)。
风湿组合
CRP 6.12mg/L( 参考值0~3mg/L)。
淀粉样蛋白
7.25mg/L( 参考值0~6.4mg/L);余未见异常。
脑脊液
压力125mmH2O。
CSF常规、生化、细胞学检查均未见异常。
CSF蛋白组合
IgA 7.02mg/L( 参考值1~6mg/L),IgG 63.1mg/L( 参考值10~60mg/L)。
鼻咽镜检查
(2009-7-4)左侧声带麻痹。
影像学检查
胸片
双肺未见明显异常,心膈正常。
MRI
(2007-7-28我院)头颅MRI平扫 轻度脑萎缩。
(2009-7-2我院)头颅MRI平扫 ①双侧额叶、顶叶少量缺血灶;②轻度脑萎缩;③左侧乳突炎。
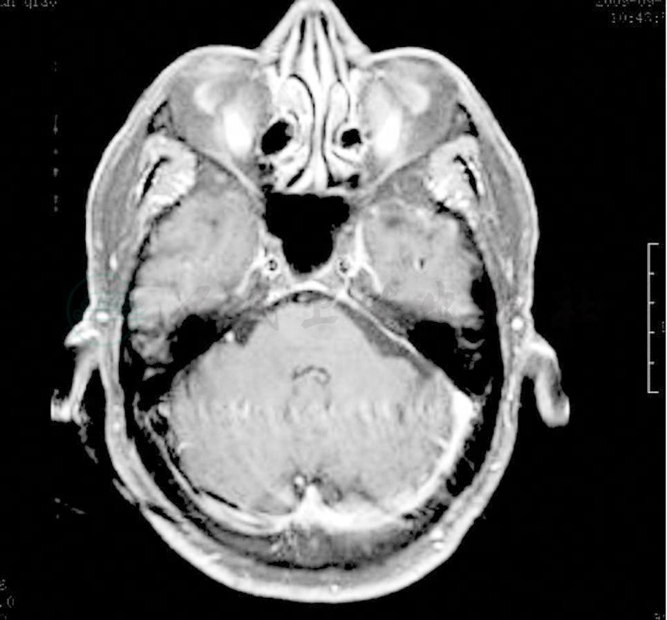
(2009-7-9)鼻咽MRI平扫+增强(图1)。
病理学
(2009-7-15)鼻咽顶部左侧活检:鼻咽黏膜慢性炎症。
入院诊断
定位:硬脑膜、周围神经(左侧Ⅴ、Ⅷ、Ⅹ、Ⅻ脑神经)。
图1 鼻咽MRI
①鼻咽顶部左侧饱满,黏膜线粗糙,增强呈片状明显强化,鼻咽部病变,建议活检;②左侧海绵窦旁,岩骨旁、小脑天幕处脑膜明显增厚并强化;③左侧乳突炎
定性:肿瘤?炎性?
初步诊断:(1)头痛,多发性脑神经损害查因?
(2)高血压病1级(高危组);
(3)慢性咽炎。
药物治疗如下:
美卓乐:16mg,qd×14d;8mg,qd×28d;4mg,qd×60d;
得理多:100mg,tid×2mon;
乐松:60mg,tid×14d;60mg,bid×7d;60mg,qd×14d;
弥可保:500μg,tid×2mon。
患者经上述治疗3天后症状明显缓解,2周后头痛症状消失,2个月后复查鼻咽MRI平扫+增强(图2)。
图2 鼻咽MRI
(1)鼻咽顶部双侧形态正常,无黏膜增厚,无肿块,增强后未见强化,咽旁间隙未见异常;(2)左侧海绵窦旁,岩骨旁、小脑天幕处脑膜增厚程度明显减轻,仅见轻度增厚及强化;(3)左侧乳突炎较前减轻



