患者,男,76岁。因间断发热伴咳嗽2周于2008年10月8日入住本院呼吸科。患者于入院前2周无明显诱因出现发热,体温最高达38.4℃,无畏寒、寒战,自服退热药物,体温变化无明显规律,同时伴咳嗽、咳白痰,来本院就诊,查血常规回报:WBC 4.0×109/L,N 84%,ESR 56mm/h;胸部CT(2008年9月24日)示:①两肺间质病变,间质炎症;②右肺尖索条及牵拉扩张支气管,考虑陈旧性病变;③两侧胸膜增厚。予静脉抗感染治疗,其间因“药疹”口服泼尼松(20mg)3天,停药后仍间断发热,体温最高39℃,自觉乏力,仍有咳白痰,不易咳出。于入院前6天体温正常,遂停药。于入院前2天无明显诱因再次出现发热,体温39.4℃,为进一步诊治收入本科。患者自发病以来无盗汗、咯血,无关节肌肉疼痛等症状,精神、饮食可,二便正常,体重无明显变化。患者既往强直性脊柱炎病史50年,陈旧性肺结核史40年,支气管扩张史40年。患者育二子,长子患强直性脊柱炎30年,次子体健。
入院查体:T 36.8℃,P 80次/分,R 20次/分,BP 120/70mmHg。神志清楚,精神可,营养中等,全身皮肤黏膜无黄染、皮疹及出血点,全身浅表淋巴结未触及肿大。双肺叩清音,呼吸音粗,未闻及明显干湿啰音。心率80次/分,律齐,心脏各瓣膜听诊区未闻及病理性杂音,腹软,无压痛,肝脾未触及。颈项强直,活动受限,脊柱后凸畸形。
初步诊断:①双肺肺炎;②支气管扩张症;③陈旧性肺结核;④强直性脊柱炎。

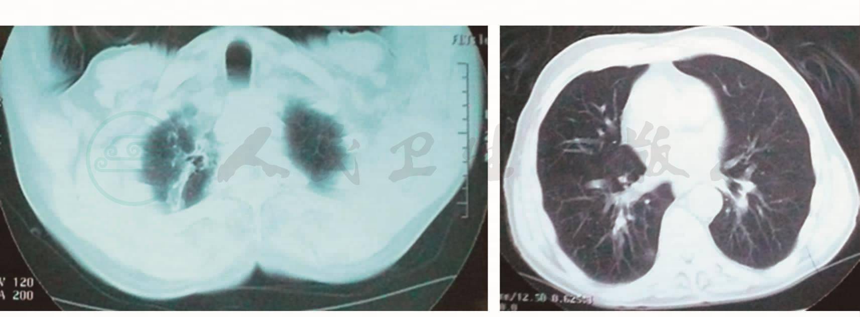
图1 胸部CT(2008-9-24):两肺间质病变,间质炎症;右肺尖索条及牵拉扩张支气管,考虑陈旧性病变;两侧胸膜增厚
诊治经过:患者入院后查血细胞:WBC 4.0×109/L,N 79.1%。血浆Alb:27g/L。血气分析(呼吸空气):PaO2 79.1mmHg,PaCO2 41.2mmHg。考虑为社区获得性肺炎,所以给予左氧氟沙星抗感染治疗。在使用抗生素之前嘱患者清洁口腔后留取痰培养。体温一度正常。于入院后3天患者体温再次升高,达38℃,予对症处理。于入院第5天(左氧氟沙星应用第5天)(复查胸部CT回报:与2008年9月24日胸部CT比较,右肺下叶间质纹理较前增多,右中叶斑片条索影较前局限、浅淡,双肺胸膜下仍见多发磨玻璃影较前增多(图1,图2)。痰培养回报:大肠埃希菌(++++),ESBL(-),多种抗生素敏感。于是我们更换抗生素改为哌拉西林/他唑巴坦抗感染治疗。同日患者四肢、躯干出现红色斑丘疹,不痒,请皮肤科会诊考虑螨虫皮炎,未予特殊处理,数日后皮疹自行消退。入院第15天即哌拉西林/他唑巴坦治疗11天时,患者体温仍无下降趋势,再次复查血常规:WBC 7.97×109/L,N 95.7%。行纤维支气管镜检查并肺活检,镜下所见:大气道结节(图3)。于结节处取活检并行肺活检回报:①(大气道前壁)黏膜慢性炎症,被覆上皮磷化伴不典型增生,间质纤维组织增生;②(右肺下叶)黏膜慢性炎症,并见少许肺组织示间质纤维组织增生;③(刷片)未见肿瘤细胞。这时患者出现喘憋、呼吸困难,PaO2 56.3mmHg。再次复查胸部CT(2008年10 月23日)回报:①右肺膨胀不全伴右侧胸腔积气积液;②左上肺片状密度增高影,考虑感染(图4)。第2次痰培养回报仍为大肠埃希菌(++++),头孢哌酮/舒巴坦敏感,遂更换治疗。复查Alb 23g/L,静脉输注白蛋白纠正低蛋白血症。使用头孢哌酮/舒巴坦治疗5天,体温不见好转。为加强抗感染力度,换用亚胺培南/西司他汀治疗5天,临床症状仍不见好转。其间患者皮疹再次出现,且融合成片,请皮肤科会诊,建议皮肤活检,于肩背部皮肤活检组织回报:表皮内可见中性粒细胞脓肿,真皮浅中层血管周围弥漫炎症浸润,可见中性粒细胞、核尘。这时,我们考虑患者反复发热、抗感染治疗无效,是否同时存在非感染性疾病,于是查免疫全项:IgG 1130mg/ml↑,补体C3 1.3mg/ml↓,CRP 14.6mg/ml↑,类风湿因子1500U/ ml↑,角蛋白抗体(+),抗核抗体(-),抗中性粒细胞胞质抗体(-),请感染免疫科会诊考虑符合类风湿关节炎继发血管炎。于是加用甲泼尼龙40mg,静脉注射,每日一次治疗,2天后体温降至正常,用药7天后改为口服甲泼尼龙治疗,2周后复查胸部CT(2008年11月06日)右侧胸腔积气影消失,胸腔内积液明显减少,两肺上叶磨玻璃影消散(图5),于2008 年11月19日好转出院。住院期间治疗方案与体温变化见图6。

图2 (2008-10-13)右肺下叶间质纹理较前增多,右中叶斑片条索影较前局限,浅淡,双肺胸膜下仍见多发磨玻璃影较前增多

图3 纤维支气管镜:大气道结节

图4 (2008-10-23)右肺膨胀不全伴右侧胸腔积气积液,左上肺片状密度增高影

图5 右侧胸腔积气影消失,胸腔内积液明显减少,两上叶磨玻璃影消散

图6 治疗方案与体温变化
最后诊断:①类风湿关节炎继发血管炎;②强直性脊柱炎;③间质性肺炎;④低蛋白血症;⑤支气管扩张症;⑥陈旧性肺结核。