女性,44岁,苏州人,家庭妇女,因咳嗽、咳痰伴发热3周于2009年12月31日收治于本院呼吸科。
患者3周前受凉后出现咳嗽,咳嗽时可伴胸痛,咳黄黏痰,痰不易咳出,伴有气急、发热,自测体温38.0℃,于外院就诊,查血象高,查胸片示两肺纹理增多,先后给予抗病毒及多种抗生素等进行治疗(具体情况不详),体温下降至正常,咳嗽、咳痰症状无明显好转。后来本院查胸片示两下肺炎(图1),予头孢曲松、阿奇霉素等抗感染,复方甲氧那明、氨溴索对症治疗,效果一般,门诊以“两下肺炎症”收住入院。
既往有糖尿病史18年,应用重组人胰岛素注射液早12U、晚12U皮下注射,自诉血糖控制尚可。否认结核病史。
入院查体:T 36.9℃,P 80次/分,R 19 次/分,BP 104/68mmHg。神清,浅表淋巴结未及,咽充血,扁桃体Ⅰ°肿大,双肺呼吸音粗,双下肺可闻及少量湿啰音,心界不大,心率80次/分,心律整齐,各瓣膜区未及病理性杂音。腹软,无压痛。双下肢不肿。
初步诊断:①两下肺炎症;②糖尿病。
图1 胸片(2009年12月30日)
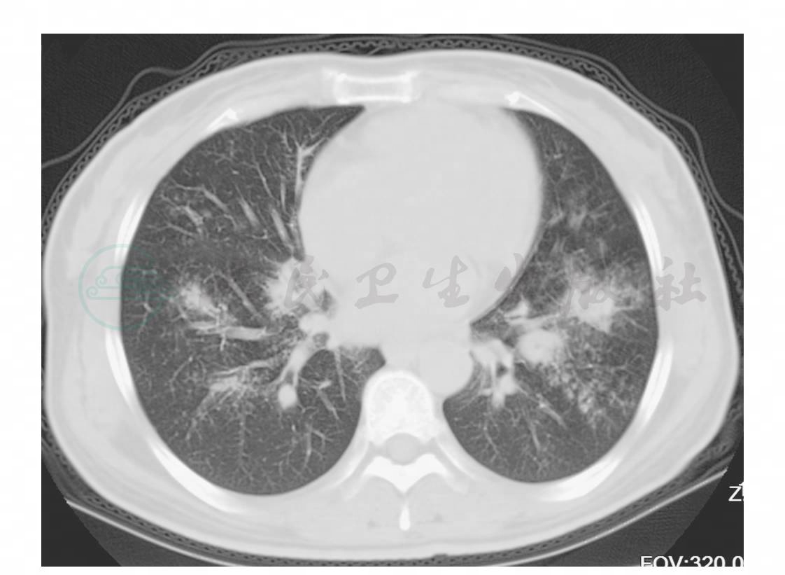
图2 胸部CT(2009年12月31日)
入院后查胸部CT示两肺散在斑片影,考虑炎症(图2),予头孢西丁、阿奇霉素抗感染及祛痰、止咳等对症治疗。症状改善不明显。监测血糖时有波动,调整胰岛素用量,另予阿卡波糖口服加强控制血糖。查结核抗体阳性,但多次痰找抗酸杆菌阴性。于2010年1月12日行纤维支气管镜检查示左上叶尖后段、左下外基底段及右下叶内基底段管腔内见黄白色物质(图3)。于左下叶外基底段行活检,物质质地较硬,少有出血,钳取物送病理检查。左下叶外基底段行支气管肺泡灌洗,送抗酸菌及细胞学检查。于左上叶上舌段、左下叶外基底段及右下叶内基底段行刷检,送抗酸菌及细胞学检查。纤维支气管镜刷检及支气管肺泡灌洗液(BALF)找抗酸杆菌阴性。病理结果为(支气管黏膜)慢性炎伴曲霉感染,部分组织挤压(图4)。GM试验0.36。
最终诊断:肺曲霉病。
图3 纤维支气管镜检查(2010年1月12日)
图4 纤维支气管镜下活检病理
治疗和转归:2010年1月14日予伏立康唑(200mg,每天2次)口服。3天后咳嗽症状明显改善,痰量减少。2010年1月22日,患者诉耳鸣、听力下降,不排除伏立康唑不良反应可能,故暂停伏立康唑,改予伊曲康唑(10m l,每天2次)口服,并静脉滴注营养耳神经药物,后患者耳鸣、耳聋症状渐好转。2010年1月26日复查胸片,病灶较前已明显吸收。2010年2 月2日复查纤维支气管镜,左肺下叶内、前、外基底段见灰白色物阻塞管腔(图5),予活检;右肺下叶内基底段见灰白色物阻塞管腔。病理结果示(左下支气管黏膜)慢性炎症、间质水肿,未见曲霉。后咳嗽、咳痰症状明显缓解,无明显耳鸣,听力基本恢复,于2010年2月4日出院,出院后继续给予伊曲康唑口服1周,门诊随诊。
图5 纤维支气管镜复查(2010年2月2日)



