患者,男性,40岁。以发热、咳嗽、咯血、气促9天,双下肢水肿4天为主诉于2009年07月20日入院。患者入院前9天受凉后出现咳嗽,咳少许黄脓痰,痰易咳出,无臭味,咳嗽呈刺激性,伴寒战、发热,体温最高达39.5℃,发热以午后明显,发热时偶有头痛,无抽搐,无腹痛、腹泻、关节疼痛。病初曾咯血约100ml,伴胸闷、气促,活动后为甚,夜间不能平卧,无夜间阵发性呼吸困难。外院胸CT(7月11日):右下肺见团块状阴影(图1),当地医院给予阿奇霉素、头孢哌酮抗感染并予止血、对症等治疗后热退,咯血量减少,咳嗽、气促稍有减轻,4天前出现双下肢水肿,并再次发热,体温高达39℃,仍咯血,每天咯血量约20ml,咳嗽、胸闷、气促明显。复查胸CT(7月16日)示右下肺见团块状阴影增大,出现胸腔积液(图2)。自患病以来睡眠欠佳,无消瘦、乏力、食欲减退现象。

图1 2009-7-11外院胸部CT:右下肺见团块状阴影

图2 2009-7-16外院胸部CT:右下肺见团块状阴影增大,出现胸腔积液
既往史:乙肝“小三阳”;支气管哮喘30年,未规范治疗,自觉病情稳定,偶有发作时予“沙丁胺醇”治疗可缓解。发现糖尿病3年,口服格列齐特治疗,未监测血糖。
入院体检:T 38.8℃,P 112次/分,R 26次/分,BP 134/75mmHg。神清,营养中等,发育正常,坐位,全身皮肤黏膜未见黄染及瘀斑、瘀点。全身浅表淋巴结无肿大。头颅正常。口唇无发绀。颈软,双侧颈静脉无怒张,双侧甲状腺无肿大。双侧锁骨上淋巴结(-)。气管居中,胸廓对称,右肺呼吸音明显减弱,左肺呼吸音清,双肺有少量哮鸣音和细湿啰音;HR 112次/分,律齐,各瓣膜区未闻杂音。腹部平软,肝、脾肋下未触及,全腹无压痛,肠鸣音正常。脊柱正常,双下肢重度凹陷性水肿,杵状指(-)。神经系统(-)。
实验室检查:血常规:WBC 20×109/L,N 79.5%,嗜酸性粒细胞(E)比例正常,RBC 4.55×1012/L,Hb 139g/L,PLT 162×109/L;ESR 59mm/h;血生化:AST 44U/L,Alb 20g/L,Glu 15.7mmol/L,ALT、电解质、肾功能、胆红素均正常。血气分析:pH 7.47,PaO2 57.4mmHg,PaCO2 26.7mmHg,HCO3- 21.5mmol/L,SaO2 88.7%(吸氧4L/min),氧合指数159。凝血报告:PT 18.30秒,Fib 5.01g/L;尿、粪常规正常;抗HEV、HIV、RPR和HCV:阴性。乙肝两对半:“小三阳”。血清肿瘤标志物检查各项均为正常范围。PPD(1∶2000):(+),痰涂片未找到抗酸杆菌,血培养致病菌阴性,两次痰细菌培养阴性。心电图:窦性心动过速。7月20日胸片(图3)示:右肺野见片状密度增高影,考虑肺炎并大量胸腔积液。7月21日B超示:右侧胸腔积液(分隔状),肝、脾脏、胆道、胰腺、肾脏未见明显异常。肺功能:中度混合性通气功能障碍。
初步诊断:①社区获得性肺炎;②肺炎旁胸腔积液;③Ⅰ型呼吸衰竭;④支气管哮喘;⑤2型糖尿病;⑥低蛋白血症。

图3 2009-7-20床边胸片:右肺野见片状密度增高影,考虑肺炎并大量胸腔积液
住院经过:入院后予左氧氟沙星0.5g每日1次、头孢吡肟2.0g每日2次抗感染,以及胰岛素降糖、补充清蛋白、解痉、吸氧等治疗。即行右胸腔穿刺术,引流出约200ml茶红色胸腔积液,较混浊。胸腔积液常规提示细胞数21 000×109/L,李凡他阳性,比重1.019,蛋白37.2g/L,LDH 3988U/L,ADA 50U/L。胸腔积液培养报告白假丝酵母菌。7月23日行电子气管镜检查,镜下诊断:右下支气管外压性狭窄。镜检后哮喘急性发作,双肺出现干湿啰音,支气管舒张试验阳性,用药后FEV1占预计53%,此后加入沙美特罗替卡松吸入治疗。7月24胸部CT(图4)示病灶较前稍有吸收。患者发热峰值有所降低,气促较前改善,氧合改善。7月25日再次行右胸腔穿刺抽出胸脓液,脓液培养报告白假丝酵母菌。

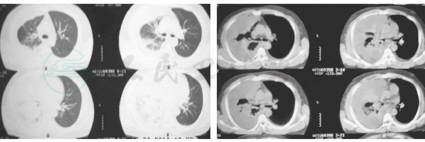
图4 2009-7-24胸部CT:病灶右肺病灶较前稍有吸收,胸腔积液较前减少
7月28日复查B超提示:右胸腔积液。即行右胸腔穿刺术和闭式引流术,抽出脓性胸腔积液,加入甲硝唑100ml,每日2次抗厌氧菌治疗。31日胸腔积液培养再报告白假丝酵母菌。此后每天24小时能引流出脓液200~300ml不等。因患者症状改善,血象下降,虽然3次胸腔积液培养阳性,考虑肺假丝酵母菌病发病率低,未予抗真菌治疗,继续原方案处理。8月2日,患者咳嗽较前减少,仍有咳黄痰,气促较前好转,双肺啰音减少,下肢水肿消退,血象下降,清蛋白恢复正常,氧合提高到240。8月14日胸部CT报告:①右侧胸腔积液较前减少;②右下肺实变影未明显吸收(图5)。

图5 2009-8-14胸部CT:右侧胸腔积液较前减少,右下肺实变影未明显吸收
8月15日患者再次发热,体温最高达40.6℃,仍有咳嗽,黄黏痰较前增多,胸腔内每天仍引流出200ml左右脓液,予停用左氧氟沙星、头孢吡肟、甲硝唑,改为氟康唑0.4g,每日1次,抗真菌治疗。胸腔内生理盐水冲洗。此后患者咳嗽逐渐减轻,痰量减少,引流液逐天减少,体温有所下降,血常规好转,血糖稳定。8月25日复查胸部CT示:右侧脓腔明显缩小,但左肺出现新的病灶(图6)。

图6 2009-8-25胸部CT:右侧脓腔明显缩小,但左肺出现新的病灶
继续积极冲洗胸腔及抗真菌治疗,引流液逐渐转清,多次复查胸腔积液培养阴性,监测肝功能无明显异常。9月23日复查胸部CT示:右侧脓腔基本闭合,左肺病灶较前吸收(图7)。9月25日体温37.6℃,拔除右胸腔闭式引流。经过积极历时100余天的综合治疗,患者无明显咳嗽、咳痰,气促缓解,双肺啰音消失,呼吸衰竭纠正,血糖稳定。10月26日复查胸部CT示双肺炎症较前明显吸收(图8),于10月28日出院,出院后继续氟康唑治疗6个月。2010年3月15日患者门诊随访,一般情况好,肺通气功能正常,门诊随访复查胸部CT示双肺见少许条索状阴影(图9)。

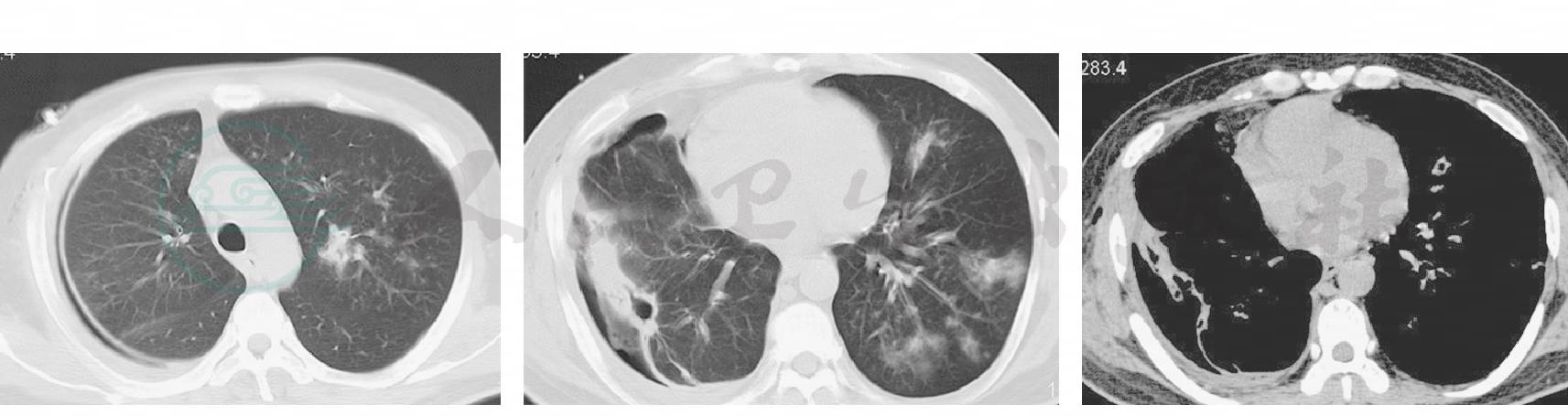
图7 2009-9-23胸部CT:右侧脓腔基本闭合,左肺病灶较前吸收

图8 2009-10-26胸部CT:双肺炎症较前明显吸收

图9 2010-03-15胸部CT:双肺见少许条索状阴影
最后诊断:①肺假丝酵母菌病合并脓胸;②支气管哮喘;③Ⅰ型呼吸衰竭;④2型糖尿病;⑤低蛋白血症。