女性,56岁,海南人,已退休,居住于海边农村,因发热、咳嗽、咳痰1个月伴呼吸困难1天,于2009年9月3日就诊于海南省人民医院呼吸内科ICU。
该患者入院前1个月出现发热,体温最高达40℃(具体热型不详),伴咳嗽、咳黄色黏液样脓性痰,无盗汗,无咯血,无腹泻,无四肢抽搐等症状。在儋州市人民医院住院,查胸部CT提示“双肺渗出性病变”,给予抗感染、祛痰等治疗(具体用药不详),病情逐渐好转,体温下降,痰液减少。但住院过程中出现左手背脓肿,用马铃薯及消毒药水敷左手背后无效,针刺后抽出脓血样液体,切开引流出脓性液体,1天前突发气促、血氧饱和度下降,给予气管插管、呼吸机辅助通气,病情无改善,转至本院呼吸内科ICU。
既往有2型糖尿病病史。个人史无特殊。
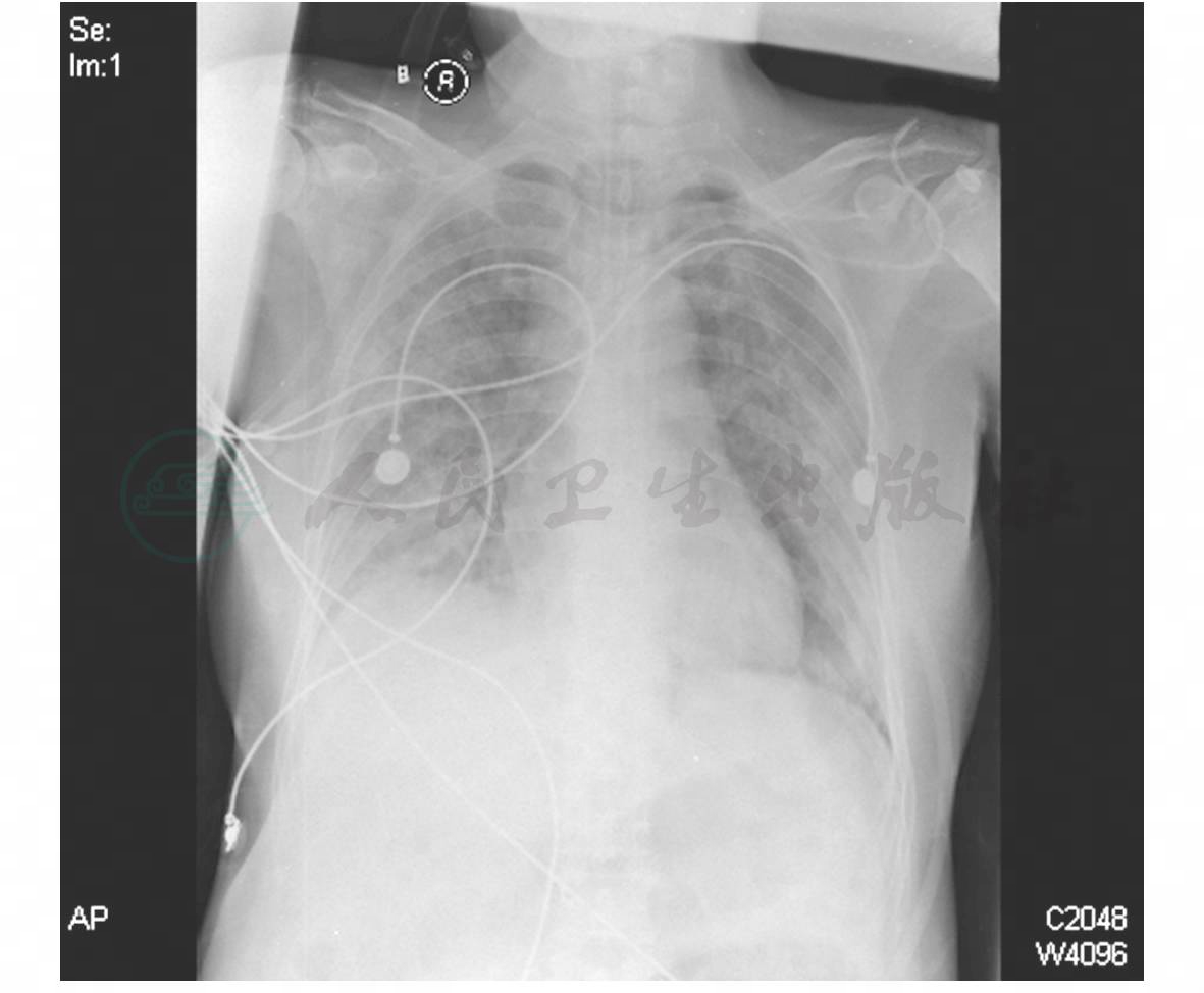
入院查体:T 37℃,P 130次/分,呼吸机辅助通气,BP 166/80mmHg[多巴胺10μg/(kg·min)]。平卧位,镇静状态。左手背肿胀明显,皮温高,可见一长约2cm切开口,按压有脓液溢出。经鼻气管插管,双肺可闻及散在湿性啰音,双下肺明显。血常规:WBC 13.9×109/L, N 86%,Hb 108g/L,PLT 165×109/L;清蛋白(Alb)27g/L;C反应蛋白(CRP)263.20mg/L;AST 89U/L;乳酸脱氢酶(LDH)564U/L;碱性磷酸酶(ALP)147U/L;D-二聚体1.19mg/L;血气分析:PaO2 70mmHg,PaCO2 31mmHg,pH 7.46,SaO2 94.5%(机械通气FiO2 60%);床边胸片双肺大量渗出性病变(图1)。初步诊断:重症肺炎(类鼻疽伯克霍尔德菌感染?),急性呼吸窘迫综合征,左手背脓肿,脓毒血症,感染性休克,2型糖尿病。

图1 胸片(2009-9-4):双肺大量渗出性病变
住院后针对肺部感染,考虑类鼻疽伯克霍尔德菌感染的可能性大,不排除革兰阳性球菌感染,给予头孢他啶、磺胺甲
𫫇唑、多西环素及夫西地酸四联抗感染,以及乌司他丁抗炎、机械通气、镇静、多巴胺维持血压、营养支持、护肝、降糖等治疗,3天后体温降至正常,氧合指数升高。9月7日(治疗后第5天)复查胸片示双肺渗出性病变明显减少(图2)。
图2 胸片(2009-9-7):双肺渗出性病变明显减少
6天后(9月8日)体温上升,多持续于38.5℃,次日体温最高达40℃,痰量增加,黄色脓样。回顾入院以来的痰培养结果均阴性。血常规:WBC 20.2×109/L,N 93%,Hb 78g/L,PLT 137×109/L。考虑并发呼吸机相关性肺炎,改为哌拉西林/三唑巴坦联合万古霉素抗感染治疗3天,仍发热,体温峰值无明显变化;血常规提示:WBC 24.9×109/L,N 92%,氧合指数下降至94.7;胸片示:与2009年9月7日比较,双肺渗出性及实变性病变明显增多(图3)。

图3 胸片(2009-9-30):双肺渗出性病变明显减少
治疗无效,更换抗生素为美罗培南联合利福霉素(共2天),体温略下降,峰值降为38.5℃,血常规:WBC 16×109/L,N 82%。9月14日左手脓性分泌物培养为类鼻疽伯克霍尔德菌,对亚胺培南、美罗培南、头孢他啶及头孢哌酮/舒巴坦敏感。根据本院以往的药敏结果及国内外治疗类鼻疽伯克霍尔德菌的文献报道,调整抗感染方案为:美罗培南、磺胺甲𫫇唑联合多西环素治疗16天,血压及体温恢复正常,左手脓腔愈合。血常规:WBC 10.3×109/ L,N 72%,CRP 14.3mg/L;胸片示双肺渗出性病变明显减少(图4)。氧合指数明显改善,于9月30脱机,美罗培南降阶梯治疗(1g/d,分2次)。10月1日拔管观察2天,病情稳定,带药(多西环素、复方磺胺甲𫫇唑及克拉维酸甲三联口服)出院门诊治疗。其间痰培养有2次为臭鼻克雷伯菌,对美罗培南敏感,3次为嗜麦芽窄食单胞菌和2次为醋酸钙鲍曼复合不动杆菌,对左氧氟沙星及磺胺甲𫫇唑均敏感。

图4 胸片(2009-9-11):与2009-9-7比较双肺渗出性及实变性病变明显增多
最终诊断:①重症肺炎(类鼻疽伯克霍尔德菌感染);②急性呼吸窘迫综合征;③类鼻疽伯克霍尔德菌脓毒血症;④感染性休克;⑤左手背脓肿;⑥2型糖尿病。
治疗和转归:2009年10月3日病情好转出院。