女性,26岁,无业。因咯血1个月伴发热1周于2009年6月2日就诊于本院呼吸科。
入院前1个月,患者无明显诱因出现咯鲜血,量约10~50ml/d,伴咳嗽,无潮热、盗汗,曾到外院诊疗2周(不详,未抗结核),咯血停止出院。出院后一周,患者再次咯血,伴胸闷、气促、发热,体温38~39℃,遂到本院就诊。
既往史:有静脉注射吸毒史2年;吸烟15~20支/天,共7年;已戒烟1个月,怀孕5+个月。
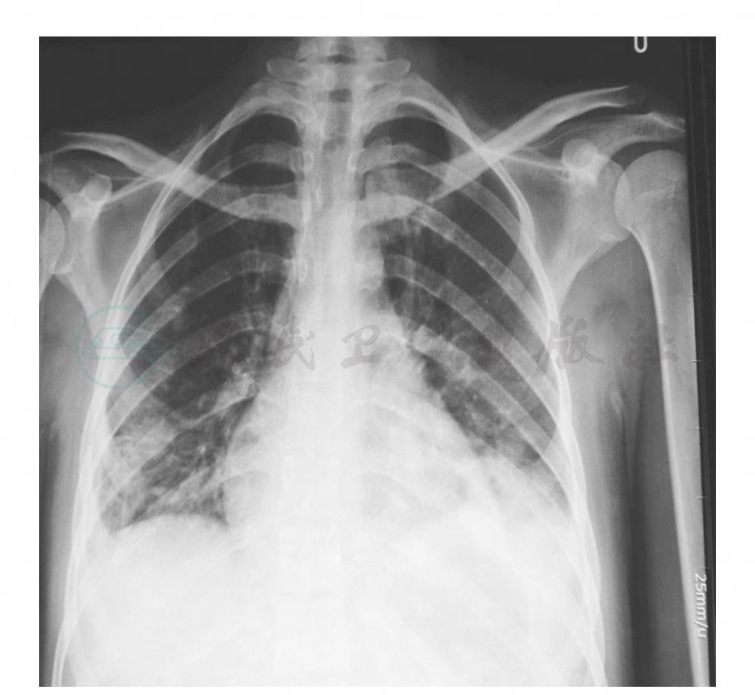
入院查体:T 38.5℃,P 120次/分,身高160cm,体重45kg,消瘦,唇略发绀,手臂有注射针眼,双肺闻及湿鸣音,心率快,胸骨左缘Ⅲ~Ⅳ肋骨间收缩期杂音Ⅲ级,扪及肝于右肋下6cm、剑突下5cm,移动性浊音(-),双下肢无水肿。血:WBC 14.99×109/L,N 90%,Hb 62g/L;肝功能:清蛋白(Alb)20.7g/L,其余正常;肾功能和电解质正常,红细胞沉降率(ESR)87mm/h,梅毒螺旋体抗体阴性,HIV抗体初筛试验阴性。X线胸片和肺部CT检查结果见图1、图2。
图1 胸片(2009-6-2):双下肺炎,双侧胸腔少量积液
图2 胸部CT(2009-6-4):双肺散在渗出性病灶,纤维增殖灶伴空洞形成,双侧胸膜增厚
初步诊断:①咯血待查:葡萄球菌肺炎?支气管扩张?②营养不良(重度);③心脏杂音待查;④G2 P0 5+个月妊娠。
诊疗经过:入院后,患者放弃胎儿,予加替沙星静脉滴注抗感染。入院第3天痰培养显示白假丝酵母菌生长,加用氟康唑0.4g,静脉滴注,仍持续发热,WBC 16.42×109/L,N 90%。入院第5天痰培养为金黄色葡萄球菌生长,万古霉素敏感(MIC<4mg/L),利福平耐药(MIC 2mg/L),抗生素治疗换为万古霉素0.5g,每8小时一次,静脉滴注。
为排除肺结核等情况,2009年6月9日行纤维支气管镜(简称纤支镜)检查,见左下肺少许新鲜出血,未查见肿瘤细胞,抗酸染色(-),过碘酸希夫反应(PAS)(-)。
2009年6月10日上午,患者出现酸痛,产科会诊后即转入产科引产,产后当晚呼吸困难转回呼吸科。复查:WBC 20.66×109/L,N 89%,Hb 58g/L,C反应蛋白(CRP)104mg/L,ESR 140mm/h。心脏彩超:右房大,三尖瓣瓣体团块回声,考虑赘生物,三尖瓣反流(中至重度)。
患者转入本科后病情无好转,体温39℃,经心内科和呼吸科联合讨论后认为存在感染性心内膜炎,考虑到万古霉素MIC值接近4,且对利福平耐药,存在异质性万古霉素中介金黄色葡萄球菌(heterogeneous vancomycin-intermediateStaphylococcus aureus,hVISA)感染可能,将万古霉素加量为1.0g每8小时一次,静脉滴注。2009年6月23日,血培养提示:人葡萄球菌亚种生长,万古霉素MIC值<2mg/L。
最后诊断:①金黄色葡萄球菌肺炎;②感染性心内膜炎,三尖瓣赘生物;③葡萄球菌败血症;④重度营养不良,低蛋白血症,重度贫血;⑤G2 P0 5+个月,死胎流产。
治疗和转归:患者从2009年6月8日开始,万古霉素0.5g,每8小时一次,静脉滴注,至6月18日(中间因引产停用1天)。6月18日~7月8日,万古霉素加量为1.0g,每8小时一次,静脉滴注。万古霉素加量后,体温正常,WBC下降,症状好转。7月5日和8日血培养均转阴,CT示肺炎好转,建议患者摘除心脏赘生物,但患者因经济原因,拒绝手术,自动出院。



