女性,53岁,4个月前因外伤在当地医院行腹部B超、CT检查,发现肝略大,肝内及胰腺周围多发结节,疑似淋巴结肿大。近2个月来肝脾肿大渐加重,并逐渐出现颈部、锁骨上多发淋巴结肿大。伴盗汗、乏力,体重减轻15斤左右,偶有痰中血丝。病情渐加重,饮食欠佳。于北京多家医院就诊,复查CT扫描示:双颈、锁骨上、腋窝、内乳区、纵隔、双侧肺门、横膈组,腹腔及腹膜后多发淋巴结肿大,考虑为淋巴瘤。双肺多发斑片及类结节影,肝脏、脾脏病变,考虑淋巴瘤侵犯。全身骨显像检查未见异常。
实验室检查:血常规白细胞6.6×109/L,中性粒细胞百分比52.9%,淋巴细胞百分比34.9%。血沉83mm/h。肝肾功示:总蛋白101g/L,直接胆红素9.2μmol/L;sACE:80μmol/L。凝血三项、免疫三项、便常规尿常规未见异常;PPD试验阴性。
既往有风湿性关节炎病史30余年,过敏性支气管炎病史10余年,常年咳嗽、咳白色泡沫痰。无结核病史。
颈部淋巴结穿刺活检:淋巴结肉芽肿性炎,淋巴结内大量肉芽肿形成,并累及周围脂肪,肉芽肿由多核巨细胞及上皮样细胞构成,未见干酪样坏死,符合结节病。
临床诊断:结节病4期。
激素治疗1年后复查CT淋巴结显著缩小。
【动态增强CT、FDG PET/CT图像】(图1~图4)
图1 颅顶层面横轴位CT、PET、头部PET MIP显像
头皮可见多处轻度增厚,FDG摄取弥漫性增高,SUVmax为4.5
引自:主编:.PET/CT疑难病例精解.第1版.ISBN:978-7-117-17027-7
图2 体部PET MIP显像
腮腺、颈部、腋窝、肺门、纵隔、腹膜后、盆腔内、双侧腹股沟多发肿大淋巴结,FDG摄取异常局限性增高,呈对称性分布,无融合趋势,SUVmax为7.2;两肺内多发斑片影,FDG摄取轻度增高,SUVmax为1.8;肝脏、脾脏肿大,呈弥漫性、结节样异常FDG摄取增高,SUVmax为9.2;皮下多发结节,呈结节样FDG摄取增高,SUVmax为6.9
引自:主编:.PET/CT疑难病例精解.第1版.ISBN:978-7-117-17027-7
图3 不同层面轴位CT(第一列)、PET(第二列)图像
病变侵犯不同组织与器官,其代谢活性增高(箭头)
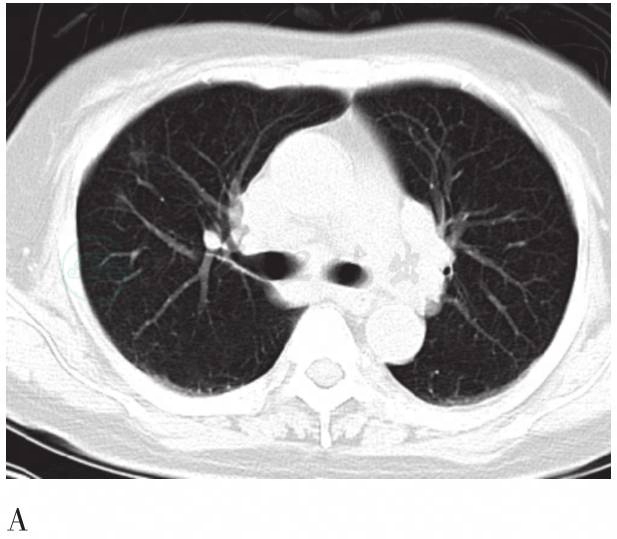
图4 胸部CT横轴位图
A. 激素治疗前肺内多发小斑片影;B. 激素治疗后复查消失;C. 激素治疗后纵隔及肺门淋巴结明显缩小
【FDG PET/CT图像表现】
双侧颈部、锁骨上下、纵隔、胸骨旁、双肺门、双侧腋窝、膈上前组、胃旁、肝门、腹膜后、髂血管旁及腹股沟多发肿大淋巴结,FDG摄取显著增高;双肺多发片影及小结节影,轻度弥漫性FDG摄取增高;肝、脾肿大,FDG摄取弥漫性增高;头皮FDG摄取弥漫性增高;皮下多发结节样异常FDG摄取增高灶。
【需要鉴别的疾病】
1.血液系统恶性肿瘤(主要鉴别淋巴瘤、恶性组织细胞增多症等);
2.结核等感染性病变;
3.恶性肿瘤伴广泛转移;
4.少见恶性结缔组织病。



