女性,59岁,胸闷、腹胀3个月余,体重轻度减轻,无明显发热、咳嗽、咳痰、咯血、胸痛等症状。外院检查显示心包、胸腔、腹腔积液,2周前胸部CT:左上纵隔旁肿物伴左上肺炎症;右肺门和右腋窝多发淋巴结肿大;心包积液。查体:消瘦,皮肤黝黑,双侧颈部及右侧腋窝触及黄豆大小淋巴结数枚,质硬,无明显压痛。肺呼吸音粗糙,未闻及干湿性啰音。心界增大,心音低钝,心率72次/分钟,期前收缩1~2次/分钟,各瓣膜听诊区未闻及杂音。腹部膨隆,腹壁未见静脉曲张,全腹无压痛,无肌紧张及反跳痛,肝脾肋下未触及,莫菲氏征阴性,移动性浊音阳性,双下肢水肿(+)。既往患系膜增生性肾病7年,冠心病10余年,高血压病2年。
化验室检查:血常规、血生化、凝血指标、乙肝系列、肿瘤标记物(5项)、抗O、Rf、血沉、抗自身抗体等项检查无明显异常。尿常规:蛋白1.5g/L,红细胞4~8/HP,白细胞(-);血尿素氮、肌酐正常范围内。甲状腺功能七项示FT3、FT4降低,TSH增高;免疫球蛋白及补体轻度异常;PPD试验(-)。心电图示ST-T异常,Q-T间期延长。腹水为黄色液体,蛋白(-),红细胞1160×106/L,白细胞640×106/L,淋巴细胞占70%,总蛋白31.3g/L,清蛋白13g/L,未查见抗酸杆菌,病理可见异型增生细胞。
骨穿结果:骨髓增生活跃,粒系占61.6%,红系占16.8%,巨细胞各型可见,血小板成堆可见。
其他影像学:超声心动图示心包、胸腔积液,三尖瓣中度关闭不全,肺动脉高压,室间隔增厚;肺动脉瓣流速103cm/s,反流速270cm/s。腹部B超示肝回声粗糙,脾大。
经抗感染、利尿剂治疗后多浆膜腔积液减少,但其他病变影像学表现无变化。
【结 果】
纵隔旁结节穿刺活检及右腋窝淋巴结活检:符合多中心性castleman病。
临床诊断多中心性Castleman病,合并POEMS综合征。
【FDG PET/CT图像及增强CT图像】(图1~图)

图1 PET MIP显像
左纵隔旁结节样FDG摄取增高灶,SUVmax为2.0;右侧肺门及腋窝多发结节样FDG摄取增高灶,SUVmax为1.6;
肝脾肿大,脾脏FDG摄取弥漫性增高,SUVmax为2.2;盆腔FDG摄取弥漫性增高,SUVmax为1.8
引自:主编:PET/CT疑难病例精解.第1版.ISBN:978-7-117-17027-7
.




图2 FDG PET/CT胸部横断层图
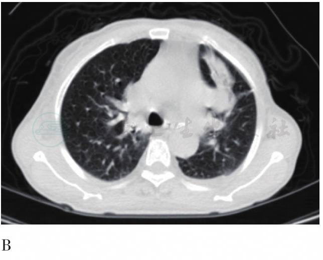
A、B. CT图像;C、E. PET图像;D. 融合图像。CT平扫:左上肺门纵隔旁结节(2cm×2.5cm),界限清楚,相邻肺组织条片状阻塞性炎症样改变,心包积液、胸腔少量积液。FDG摄取轻度增高,SUVmax为2.0;延迟后SUV无变化




图3 右腋窝横断图
A. CT纵隔窗;B. PET/CT融合图像;C. PET早期显像;D. PETT延迟显像。右侧腋窝内多发肿大淋巴结,轻度FDG摄取增高,SUVmax为1.6,延迟后无变化




图4 心包及盆腔横断位图CT与PET
心包、胸腔及盆腔多浆膜腔积液。盆腔积液FDG摄取轻微弥漫性增高,SUVmax为1.2


图5 PET/CT检查36天后增强CT扫描
左纵隔旁结节中度强化,平扫40HU,动脉期CT值65HU,静脉期55HU
【FDG PET/CT图像表现与增强CT表现】
FDG PET显示左上纵隔旁、右腋窝多发肿大淋巴结呈轻度FDG摄取增高改变;伴多浆膜腔积液(胸腔积液、心包积液、腹腔积液;其中腹腔积液轻度弥漫性FDG摄取),肝脾肿胀,脾脏FDG摄取轻度弥漫性增高。
【需要鉴别的疾病】
1.纵隔型肺癌伴淋巴结转移;
2.血液系统疾病(淋巴瘤等)多系统累及;
3.肉芽肿性疾病。