男性,72岁。体检B超发现肝右叶2个相邻低回声,大小分别为1.9cm×1.2cm和1.2cm×1.0cm。无发热、肝区不适等临床症状。相关体检无特殊。
相关检查:肝功能正常,血嗜酸性粒细胞比例略高(6.0%,正常0.5%~5.0%),其余实验室检查无特殊。CT示肝右叶后下缘低密度灶,增强扫描有强化,血池期明显(图1)。



图1 CT腹部横断层图
A. CT平扫,显示肝右叶后下缘不规则低密度灶(箭头);B、C. CT增强扫描血流期及血池期,病灶不同程度强化,血池期更明显
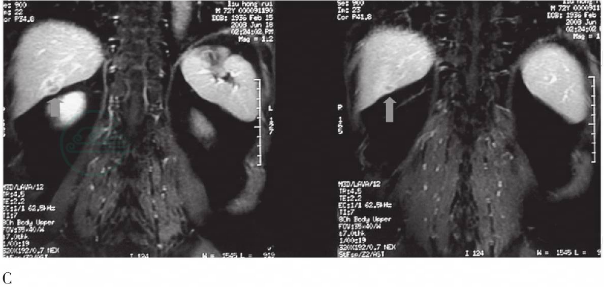
增强MRI示肝右叶1.5cm×2.0cm低信号区,周边见环形强化,病灶内似见隧道(图2)。



图2 MR增强腹部横断及冠状层图
A. MR增强扫描血流期,显示肝右叶后下缘不规则、信号不均匀结节,周围呈环状强化;B、C. MR增强扫面血池期横断面和冠状面,显示结节病灶周围环状强化更加明显,内见隧道样改变
患者接受了手术治疗,楔形切除大小为4.6cm×3.5cm×2cm的部分肝组织,部分病灶有光滑包膜,切面见灰黄、实性、质细腻的结节两枚。病理证实为肝肉芽肿性炎,内见隧道和部分虫体,有嗜酸性粒细胞聚集,周围肝细胞增生,考虑由寄生虫(肺吸虫童虫)引起。抗酸染色未找到抗酸杆菌。
【PET/CT图像及其他影像学图像】
1.PET/CT检查方法
注射FDG 370MBq(10Ci)约50分钟后排尿,用Siemens Biograph 64(True point True V型)行PET/CT躯干显像,每个床位采集2分钟。
2.FDG PET/CT图像表现
肺内未见异常。同机CT示肝右叶紧邻后下缘见不规则、不均匀低密度灶,范围约2.9cm×3.0cm×1.0cm,周围肝组织密度亦略低,其中部分区域呈片状放射性摄取增高,平均标准摄取值(SUV)约2.9(最高3.9),余肝组织SUVavg值为2.1(图3)。部分肠道可见放射性摄取。左髋臼局部放射性摄取略增高。颈、胸、腹、盆腔其余部位未见明显异常。


图3 肝脏病变的PET/CT图像
A. 冠状面、矢状面和横断面PET和同机CT图像;B. PET投影图像。肝右叶紧邻后下缘不规则、不均匀低密度灶,其中部分区域呈片状放射性摄取增高(十字交叉及箭头),范围约2.9cm×3.0cm×1.0cm,SUVavg为2.9、最高为3.9
3.其他影像学图像 参见病史中相关检查部分。
【需要鉴别的疾病】
1.局部发生坏死的肝癌;
2.肝转移癌;
3.肝脓肿;
4.肝脏结核;
5.肝脏其他寄生虫病,如肝包虫病。