男性,70岁,主因吞咽不适伴疼痛月余而行PET/CT检查。
患者于40天前无明显诱因出现吞咽不适伴疼痛,当地医院胃镜检查示贲门病变。查体一般情况可,周身浅表淋巴结不大,无发热盗汗,二便正常。
血常规示:WBC 5.6×109/L,RBC 3.27×1012/L,PLT 177.0×109/L。肝肾功能检查无异常。
行CT增强扫描示:贲门壁、胃体及胃小弯侧壁增厚;右肾门区可见一类圆形低密度影,增强扫描可见不均匀强化。
行贲门癌切除,食管胃弓下吻合术及右肾切除术,术后病理:贲门低分化腺癌侵及周围软组织,可见脉管瘤栓及神经受侵。肾透明细胞癌,输尿管残端(-)。
【PET/CT图像及其他影像学图像】
静脉注射FDG 11mCi行PET/CT检查。PET/CT检查示:①贲门及胃小弯处胃壁不均匀增厚,最厚处约1.8cm,CT值38HU,PET见条状异常高代谢,SUVmax为5.1,120分钟后饮水后行延迟显像高代谢灶位置形态未见变化,SUVmax为4.5。②右肾门部位可见类圆形低密度,边界清,大小约3.7cm×4.1cm,内密度欠均匀,CT值约10~20HU,壁薄,PET早期及延迟显像均未见异常高代谢。
增强CT示胃壁增厚伴不均匀强化。右肾低密度灶可见不均匀强化(图1~图8)。

图1 同机CT和PET横断面
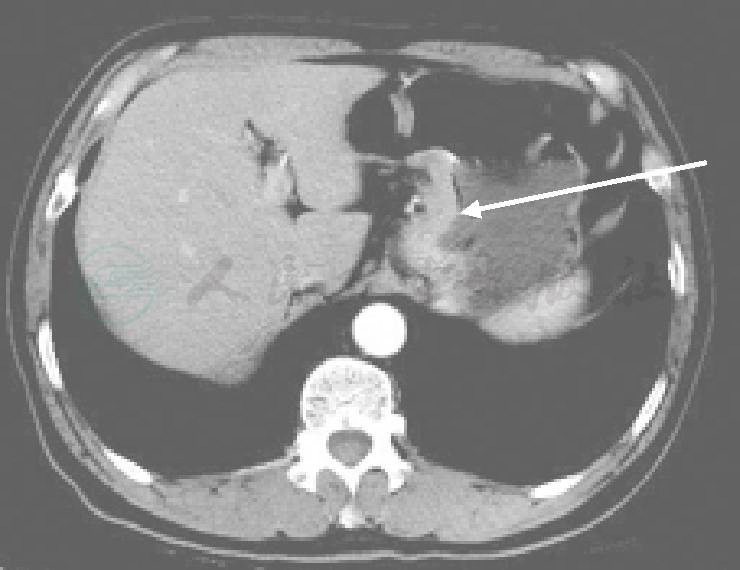
贲门胃小弯侧胃壁明显增厚,最厚约1.8cm,相应部位呈条状异常高代谢灶(箭头)

图2 三维透视图
贲门处见团块状高代谢灶,右肾下极部位未见异常高代谢(箭头)
引自:主编:PET/CT疑难病例精解.第1版.ISBN:978-7-117-17027-7
.
图3 从左至右分别为同机CT横断面、冠状面和PET横断面
右肾下极囊性低密度灶,表面尚光滑,未见壁结节,相应部位未见异常高代谢灶(箭头)

图4 饮水后120分钟PET延迟显像横断面
贲门胃小弯侧胃壁增厚处PET相应部位异常高代谢(箭头)
引自:主编:PET/CT疑难病例精解.第1版.ISBN:978-7-117-17027-7
.
图5 饮水后120分钟PET/CT延迟显像横断面
右肾下极囊性低密度处PET相应部位未见异常高代谢(箭头)

图6 CT增强动脉期
胃壁增厚伴不均匀强化(箭头)
引自:主编:PET/CT疑难病例精解.第1版.ISBN:978-7-117-17027-7
.
图7 CT增强平衡期
胃壁增厚伴明显均匀强化(箭头)
引自:主编:PET/CT疑难病例精解.第1版.ISBN:978-7-117-17027-7
.
图8 CT增强
右肾低密度见不均匀强化(箭头)
【右肾囊性低密度需要鉴别的疾病】
1.囊性肾癌;
2.单纯肾囊肿;
3.肾囊肿合并感染;
4.肾癌囊性变。