男性,20年前因胃穿孔行胃大部分切除,6个月前诊断为残胃癌伴肝转移予10个疗程的化疗,为评估全身情况行FDG PET/CT显像。
实验室检查:2009年4月AFP:16068.2μg/l,CEA:48.1μg/l。
1.胃癌伴肝转移;
2.肝癌转移至胃。
【FDG PET/CT图像及超声显像】(图1~图2)
【FDG PET/CT图像表现】
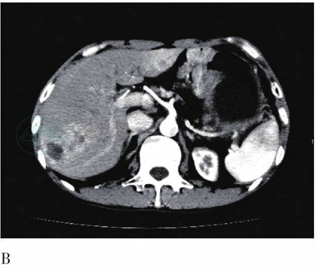
残胃壁可见团块状放射性异常浓聚灶,SUV最高约为8.4,相应部位同机CT可见局部胃壁不规则增厚,密度不均匀,腹部CT增强扫描提示不均匀强化;肝脏内可见散在分布、大小不等的团块状放射性异常浓聚灶,SUV最高约为8.4,相应部位同机CT可见不规则低密度影,最大者位于肝S5、6交界处,大小约3.3cm×4.1cm,腹部CT增强扫描动脉期提示病灶明显强化,密度高于周围肝组织,门脉期强化程度低于周围肝组织。




图1 FDG PET/CT横断层图
A. CT平扫;B. CT增强扫描动脉期;C. CT增强扫描门脉期;D. PET/CT融合图像。胃壁可见不均匀性增厚,增强扫描可见不均匀性强化;肝内可见多发稍低密度灶,病灶放射性摄取不均匀增高,SUVmax值为8.4;动脉期明显强化,高于周围肝组织,门脉期强化程度低于周围肝组织;残胃壁增厚,动脉期及门脉期可见强化;放射性摄取不均匀增高




图2 FDG PET/CT横断层图
A. CT平扫;B. CT增强扫描动脉期;C. CT增强扫描门脉期;D. PET/CT融合图像。肝内可见多发稍低密度灶,最大者大小约3.3cm×4.1cm,病灶放射性摄取不均匀增高,SUVmax值为8.4;动脉期明显强化,高于周围肝组织,门脉期强化程度低于周围肝组织