女性,46岁,患者无自觉症状。2006年体检发现右肺上叶前段小结节。2008年复查结节增大,行PET检查结节呈高代谢。2008年12月于上海胸科医院行右肺上叶切除和淋巴结清扫术。术后病理示右肺上叶前段腺癌,淋巴结无转移,pT2N0M0,ⅠB期。患者拒绝化疗。3月后行第一次FDG PET/CT显像和同机胸部CT增强扫描。
实验室检查:神经特异性烯醇化酶16.14ng/ml(0~15.2),稍增高。非小细胞肺癌相关抗原、AFP和CEA均在正常范围。肺癌微转移LUNX基因检测(-)。
1.淋巴结转移性病变;
2.淋巴结结核;
3.淋巴瘤。
【FDG PET/CT图像】(图1~图3)
【FDG PET/CT图像表现】
第一次PET/CT纵隔(2R、4R、7组)淋巴结肿大(图1),增强扫描环形强化,局部放射性浓聚,SUVmax:4.4,考虑淋巴结转移性病变。于第一次PET/CT检查4月后复查PET/CT,隆突下(7组)淋巴结体积缩小,中心坏死部分基本吸收,浓聚FDG,SUVmax:3.7,余淋巴结消失。
图1 PET MIP显像
A. 第一次PET图像:右侧气管旁和隆突下多发淋巴结肿大,放射性摄取不均匀增高、浓聚,部分为环形浓聚。右侧肋膈角区可见局灶性放射性浓聚;B. 4个月后复查图像:隆突下淋巴结肿大,放射性增高;右侧气管旁可见小灶状放射性增高
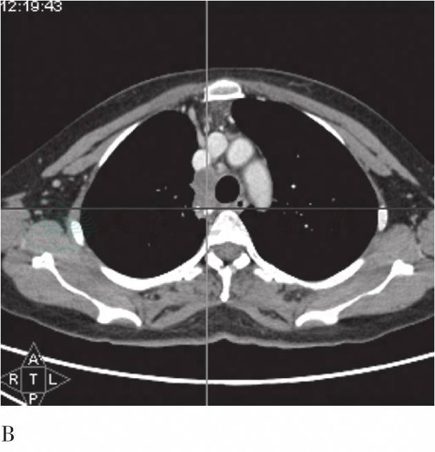
图2 FDG PET/CT胸部横断层图
A、B为第一次PET/CT(增强)图像:示纵隔4R组淋巴结肿大,增强扫描环形强化,FDG摄取增高,后部为著,SUVmax为4.6;C、D为4月后复查PET/CT(增强)图像:示纵隔镜术后,4R组未见肿大淋巴结
图3 FDG PET/CT胸部横断层图
A、B为第一次PET/CT(增强)图像:示纵隔7组淋巴结肿大,增强扫描环形强化,FDG摄取增高,SUVmax为3.0;
C、D为第二次PET/CT(增强)图像:7组淋巴结增大,增强扫描明显均匀强化,FDG摄取增高,SUVmax为3.7



