案例诊断
基底细胞癌;脑转移
病 史
男性,38岁。5年前发现右腮腺基底细胞腺癌切除,术后放化疗,现出现头痛。脑CT发现多发脑占位。
此内容为收费内容
需鉴别的疾病
1.腮腺基底细胞癌颈淋巴结转移、脑转移、肺转移;
2.其他肿瘤所致的脑转移、肺转移;
3.脑内原发恶性病变。
影像学检查
【FDG PET/CT图像及其他影像学图像】(图1,图2)
【FDG PET/CT图像表现】
右侧颈部淋巴结代谢增高,右肺胸膜下多发结节代谢轻度增高,脑内多发占位代谢轻度增高。
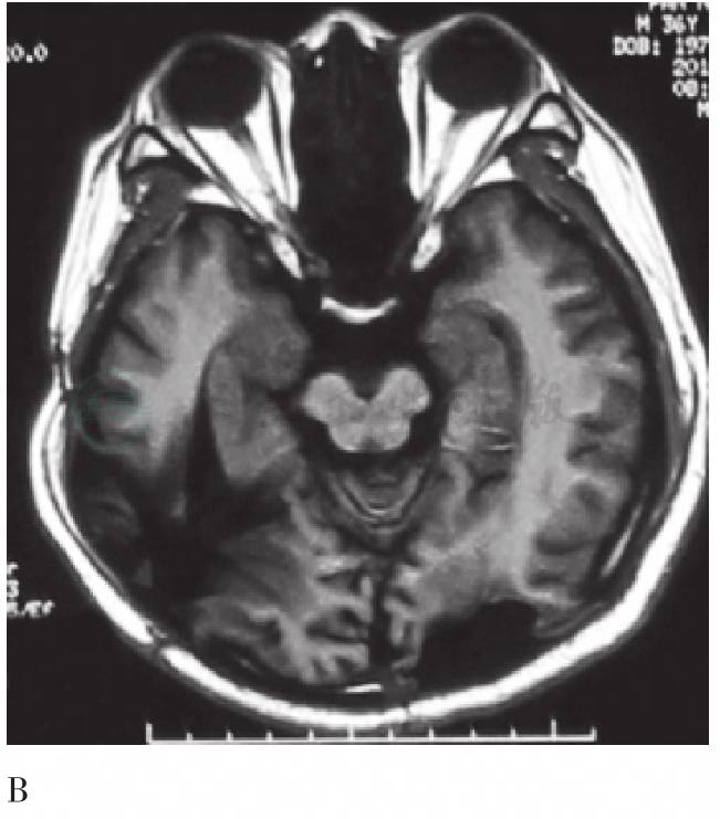
图1 MRI示脑内病变的术前、术后对比
A. 术前T2加权MRI示双侧枕叶多发病变(箭头);B. 手术后T1加权MRI示上述病变全切术后改变
图2 病变(箭头)部位FDG PET/CT横断面图像
第一排为FDG PET图像;第二排为相应层面CT图像;第三排为PET/CT融合图像。第一列图像示脑内病变FDG摄取比白质高,比灰质低;第二、三列图像示肺内病变FDG摄取接近肝脏,提示为低度恶性病变
引自:主编:.PET/CT疑难病例精解.第1版.ISBN:978-7-117-17027-7
此内容为收费内容
此内容为收费内容



