女性,29岁,主因四肢抽搐,意识不清20分钟入院。患者于清晨无明显诱因四肢抽搐,非阵挛样发作,牙关紧咬,小便失禁,同时伴意识不清。入院后给予地西泮肌注后四肢抽动情况可控制,而意识仍欠清。查体:T:36.7℃,P:60次/分,R:20次/分,BP:89/47mmHg。CT、MRI平扫及增强考虑多中心胶质瘤,为进一步明确病变性质行头PET/CT检查。
实验室检查:白细胞7.8×109/L,红细胞3.8×1012/L,血小板264.0×109/L,血红蛋白120.0g/L,均正常。
1.多中心胶质;
2.左额胶质瘤、右颞胶质增生;
3.左额胶质瘤、右颞局灶性脑皮质发育不良;
4.左额胶质瘤、右颞炎症性病变。
【PET/CT图像及其他影像学图像】
PET/CT检查方法:显像剂为11C-methionine(11C-MET)和FDG,扫描仪为GE公司Discovery LS PET/CT联合扫描仪,3D模式采集,PET采集时间10分钟,图像重建采用FORE-Iterative法(图1~图4)。
【PET/CT图像表现】
CT示左额混杂密度病灶,边界不清,其内可见条形钙化,相应部位PET呈团块状MET异常浓集,T/WMMET约为4.0,病变累及皮质、白质,示踪剂分布均匀,边界清晰,病变FDG浓集程度明显低于对侧正常皮质,高于正常白质,T/WMFDG约为1.5,示踪剂分布尚均匀,边界欠清。CT示右颞略低密度病灶,边界不清,PET呈不规则MET轻度浓集,T/WMMET约为2.5,主要累及皮质,示踪剂分布均匀,边界清晰,病变区FDG浓集程度未见确切异常。
图1 头PET/CT横断层图
A. 左额病变CT图;B. 左额病变CT图;C. 右颞病变CT图;D. 同A层面MET PET图;E. 同B层面MET PET图;F. 同C层面MET PET图;G. 同A层面FDG PET图;H. 同B层面FDG PET图;I. 同C层面FDG PET图。左额混杂密度病灶,边界不清,其内可见钙化,病变MET异常浓集,T/WMMET约为4.0,边界清晰,FDG轻度浓集,浓集程度低于对侧正常皮质,高于正常白质,T/WMFDG约为1.5,边界不清;右颞略低密度病灶,边界不清,病变MET浓集程度轻度增高,T/WMMET约为2.5,边界清晰,示踪剂分布均匀,病变区FDG浓集程度未见确切异常
图2 头MET PET连续横断层图
左额病变呈不规则团块状MET异常浓集,病变累及皮质、白质,边界清晰;
右颞病变呈片状MET轻度浓集,主要累及皮质,边界清晰,示踪剂分布均匀
引自:主编:.PET/CT疑难病例精解.第1版.ISBN:978-7-117-17027-7
图3 头FDG PET连续横断层图
左额病变FDG轻度浓集,边界不清;右颞病变FDG浓集程度未见确切异常
引自:主编:.PET/CT疑难病例精解.第1版.ISBN:978-7-117-17027-7
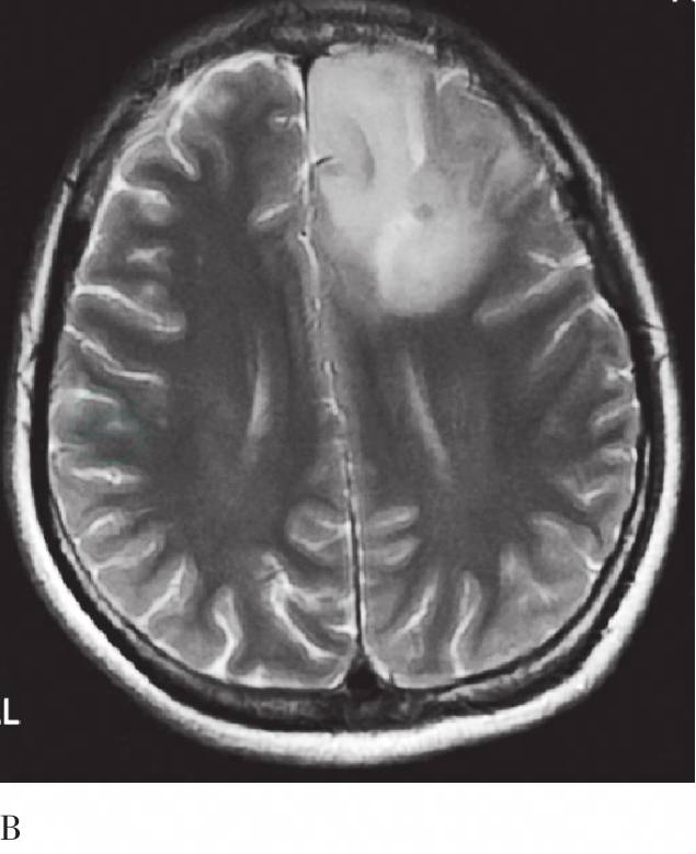
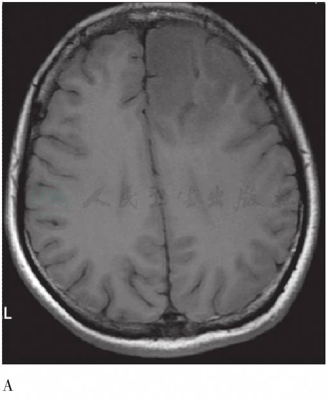
图4 头MRI平扫及增强横断层图
A. 左额病变T1WI;B. 同A层面T2WI;C. 同A层面增强;D. 右颞病变T1WI;E. 同D层面T2WI;F. 同D层面增强。MRI示左额不规则稍长T1、稍长T2信号肿块影,增强未见明显强化;右颞局部皮层增厚,可见团块状稍长T1、长T2信号影,增强未见明显强化
其他影像学图像表现:头MRI平扫示左额不规则混杂信号肿块影,边界不清,呈稍长T1、稍长T2信号,其内可见片状长T1、长T2信号影,左侧侧脑室前角受压变形,大脑镰前部向右侧移位。右侧颞叶局部皮质增厚,可见团块状稍长T1、长T2信号影,累及皮质下白质,邻近脑质受压内移。MRI增强左额及右颞病变均未见明显强化,考虑多中心胶质瘤。



