女性,39岁。2008年4月无明显诱因出现右侧锁骨上淋巴结肿大,无发热,无明显疼痛。右侧颈部淋巴结穿刺,病理示镜下大片干酪样坏死,考虑结核可能。检查发现左肺占位,2008年5月2日行左肺叶切除术,病理示(左肺一叶)腺癌Ⅱ级3cm×3cm×3cm,支气管切缘阴性,肺门淋巴结2枚见癌转移1枚。术后至9月12日“泽菲+DDP”化疗4周期。后骨扫描示左侧第6后肋放射性浓聚。CA125 43U/ml。2008年10月9日行PET/CT检查行肺癌治疗后全身情况评估。
2009年3月24日~2009年5月14日患者CA15-3进行性升高68.2U/ml~112.10U/ml,CA125正常。2009年6月3日行PET/CT检查明确CA15-3升高原因。
【FDG PET/CT图像及全身骨显像】(图1,图2)
【FDG PET/CT图像表现】
2008年10月9日PET/CT检查示右侧颈部多个小淋巴结放射性摄取增高,SUVmax为5.0。CT示右上肺条索影伴多发钙化灶,肺门及纵隔内散在钙化。
2009年6月3日PET/CT检查示右锁骨上多个淋巴结放射性摄取增高,SUVmax为4.1,延迟显像为5.2;左锁骨上淋巴结放射性摄取增高,SUVmax为5.0,延迟显像为6.7。
图1 (2008年10月9日)FDG PET/CT图像
A. PET MIP显像:颈部横断层图;B. CT纵隔窗;C. PET图像;D. PET/CT融合图像。右侧颈部多发淋巴结放射性摄取增高,SUVmax为5.0(长粗箭头)。CT示右上肺条索影伴多发钙化灶,肺门及纵隔内散在钙化。左肺术后改变,PET示左肺门淋巴结放射性摄取增高,SUVmax为2.6;左肺内斑片影放射性摄取轻度增高,SUVmax为2.4(短细箭头)
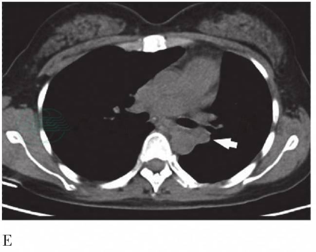
图2 2009年6月3日FDG PET/CT图像
A. PET MIP显像,颈部横断层图;B. CT纵隔窗;C. PET图像;D. PET/CT融合图像,胸部横断层图;E. CT纵隔窗;F. PET图像;G. PET/CT融合图像。右锁骨上多个淋巴结,边缘可见多发钙化,放射性摄取增高,SUVmax为4.1,延迟显像为5.2(长粗箭头);左锁骨上淋巴结放射性摄取增高,SUVmax为5.0,延迟显像为6.7(长细箭头)。CT示右上肺条索影伴多发钙化灶,双肺门及纵隔内多发钙化灶。左上纵隔可见3个淋巴结影放射性摄取异常增高,SUVmax为5.1、9.4,延迟显像为8.1、12.3;左肺术后改变,左肺门与降主动脉动脉间软组织影放射性摄取异常增高,SUVmax为7.5,延迟显像为10.7(短细箭头)



