女性,71岁。8个月前体检发现右侧颞叶占位,行PET/CT检查提示右颞叶代谢活性增高的结节,未行任何治疗。10天前因突发昏迷入院。查胸部及头颅CT诊断双下肺炎、右颞低密度灶。经利尿、催醒等对症治疗好转,昏迷原因考虑由于艾司唑仑使用过量所致,目前患者神志清醒,生命体征平稳。既往高血压病、结核病史。为协助确定脑内病变性质再次行PET/CT检查。
1.脑胶质瘤;
2.脑脓肿;
3.脑转移瘤。
【FDG PET/CT图像及头颅MR图像】(图1~图4)
图1 第一次PET/CT显像的PET(上排)和CT横断面(下排)图像
右侧颞叶等密度结节影(白箭头),局部代谢活性增高(黑箭头)
引自:主编:.PET/CT疑难病例精解.第1版.ISBN:978-7-117-17027-7
图2 第二次PET/CT显像的PET(上排)和同机CT(下排)横断面图像
右侧颞叶病灶明显增大,边界较清,病灶周边呈环形稍高密度(白箭头),病灶代谢环形增高(黑箭头)
引自:主编:.PET/CT疑难病例精解.第1版.ISBN:978-7-117-17027-7
图3 右侧颞叶病变第一次MR图像
A. T1WI图像示病变呈低信号;B. T2WI图像示病变呈环形高信号;C. FLAIR图像示病变周边水肿带;D. 增强扫描MR图像示病灶环形强化
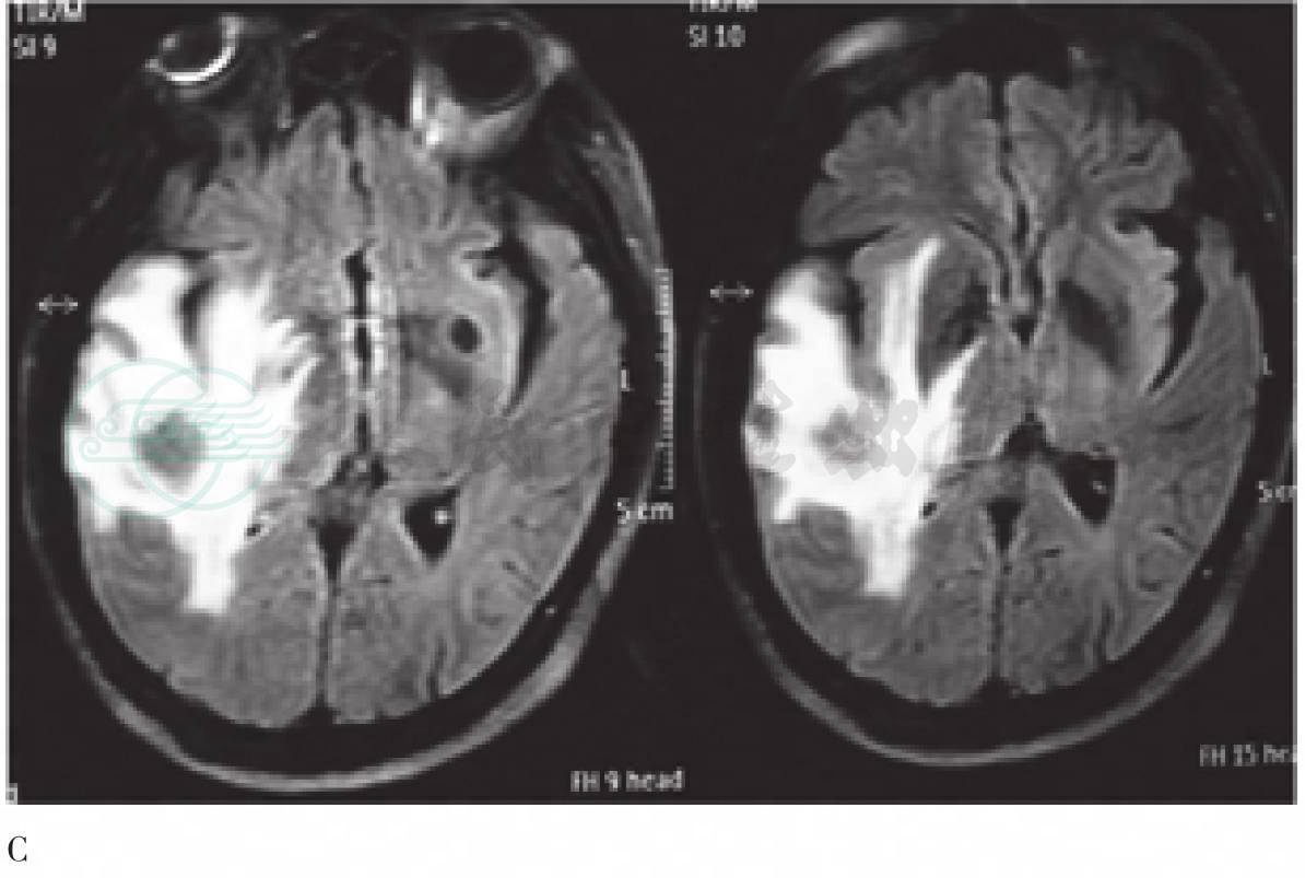
图4 右侧颞叶病变第二次MR图像
A. T1WI图像示病灶边界清晰,内部信号不均匀;B. T2WI图像示病变呈多层“环靶”样信号;C. FLAIR图像示周围水肿明显;D. 增强MR扫描示病灶环形强化
【PET/CT图像及其他影像学图像表现】
1.PET/CT表现
(1)第一次(图1):右侧大脑颞叶圆形等密度结节,直径约0.9cm;局部呈圆形放射性摄取增高灶(SUVmax为12.1,SUVavg为10.6)。
(2)第二次(图2):右侧大脑颞叶病灶较前增大,直径约2.5cm,内部密度不均,周围组织水肿,脑室受压;局部放射性摄取环形增高(周边SUVmax为8.2,SUVavg为7.2,中心SUVmax为6.1,SUVavg为5.3)。
2.其他影像学图像
(1)第一次(图3):T1WI低信号,T2WI中央低信号,周边呈高信号,增强后呈环形强化。
(2)第二次(图4):病灶明显增大,T1、T2WI呈等及混杂信号,T2WI呈多层环状,边界清晰,可见水肿,增强后环形强化。



