刘某某,男,75岁。
2个月前无明显原因左眼视物模糊及遮挡感,进行性加重,至视力降低为眼前手动,伴眼球突出,无疼痛及复视;之后,右眼视力亦出现下降,当地医院诊断不明。后于北京某医院查眼眶CT(图1a~c)示:双眼眶内占位病变、鼻窦炎。
 
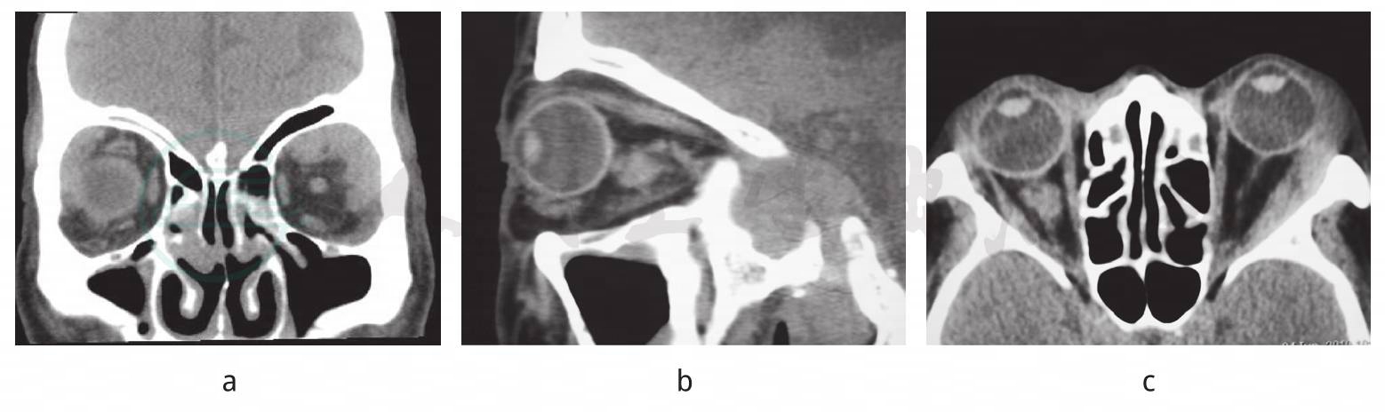
 图1 眼眶CT
a~c. 右球后视神经周围团状软组织密度影,边界清晰,欠均质;泪腺轻度肿大;
左泪腺区略扁平三角形软组织密度影,边界清晰,欠均质,沿眶壁向眶尖蔓延,眶骨壁未见明显破坏
B超示左肾盂、肾盏扩张、左输尿管上端实性占位病变。未予特殊治疗。
入院前一周,于我院眼科门诊就诊,查:左眼前轴突,泪囊区肿块,质中,无压痛。泪囊、双眼结膜无充血,角膜清,前房中深,KP(-),Tyn(-),眼底视盘清,视网膜在位;眼眶CT:左泪腺区不规则软组织影,4.1cm×3.3cm,包绕眼球、外上象限肌锥至眶尖,与眼上、外肌群分界不清,邻近眶壁骨质上完整;右泪腺增大,球后肌锥内间隙视神经下方软组织影。为进一步诊治于2010年7月12日收入风湿科。
既往史:胆囊切除。余无特殊。
查体:一般可,左眼突出,结膜轻度充血,神清语利,体温正常,血压140/70mmHg,皮肤黏膜未见异常,心肺肝脾未见异常,四肢关节未见异常。
化验:WBC7.6×109/L,Eos22.6%,Hb117g/L,Plt220×109/L,ESR80mm/h,HsCRP9.22mg/dl,RF250RU/ml,Acl(-),ANA(-),ANCA(-),IgG7850mg/dl,IgA40mg/dl,IgM53mg/dl,C3 41.7mg/dl,C4 5.71mg/dl,甲状腺功能及其抗体正常,肿瘤标志物(-),多次尿病理未见瘤细胞。尿常规(-)。
B超:腹腔动脉干旁一低回声结节,1.4cm×0.8cm,腹主动脉远端近髂总动脉分支处瘤样扩张,累及2.6cm长血管,内见湍流,管壁多发斑块,未见血栓。双肾盂伸展扩张,内壁增厚;双输尿管上端扩张,管壁增厚。
胸片:双肺散在纤维条索、片状影,以右上下肺为主;肺CT(图2a~b):右上肺尖团块影,纵隔淋巴结肿大;肺功能:限制性通气障碍,通气功能降低,DLco51.6%,支气管舒张试验(+)。
鼻窦CT(图2c):鼻腔内软组织影。
骨穿:增生活跃,粒系嗜酸性粒细胞占16.5%,余基本正常。
腹部CT(图2d):左肾盂输尿管移行部软组织影,炎症或占位病变;后下纵隔及腹膜后间隙软组织影,腹膜后纤维化?
 
 图2
a~b.肺CT:右上肺团块及条索影,双肺毛玻璃影;c. 鼻腔内软组织密度影;
d. 上腹部CT:左侧肾盂输尿管移行区见软组织影,密度不均,可见强化
肾图:双肾形态及灌注基本正常,左GFR25.5ml/min,右GFR33.6ml/min。
诊断:CSS。
经激素及免疫抑制剂治疗3天后,突眼消失。一周后复查肾盂旁包块明显减小。
之后患者自动出院,未坚持治疗,眼部病情稳定4个月。未做腹部CT等复查。



 
    收藏
收藏 已收藏
已收藏

 
                 
                 
				 
				 
		    		
		    		 
			  			 
			  			 
		    		
		    		