陕某某,女,43岁。
4年前无明显原因出现多关节痛,伴晨僵>1小时,累及双腕、MCP、PIP及四肢大关节,当地医院化验RF(+)及双手X线检查,诊断为RA,予以MTX治疗1个月,间断服用激素,症状好转,曾多次化验血细胞减少,停用MTX而服用藏药治疗。
3个月前无明显原因出现右眼圈发黑,当地医院FFA示视网膜星状细胞错构瘤,眼B超示玻璃体积血、视网膜脱离伴网膜下积血,MR提示血管瘤。予以激光治疗无效。逐渐出现左眼视物闪光,黑影飘动,为进一步治疗来我院眼科就诊,查:双角膜清,前房可瞳孔圆,对光反射好,晶状体清,玻璃体见色素颗粒。眼底参见图1a~b。黄白色肿物,表面有视网膜血管,周围有渗出、水肿,玻璃体腔内有雪球样浑浊,周围浅RD,未见出血。

图1 治疗前
a. 右眼上方周边及左眼视盘颞下约3PD处视网膜可见团状黄白色结节,其表面可见视网膜血管;
b. 左眼病灶周伴有视网膜水肿及渗出,其周可见激光斑;
c~d. 治疗后,双眼病灶均明显吸收,右眼上方仅可见激光斑
为排除全身疾病,收入风湿科。
既往体健。
查体:一般好,神清语利,体温正常,血压110/70mmHg,颈部数个小淋巴结,0.3cm×0.5cm大小,质中,无压痛;右腹股沟可及1.0cm×0.8cm,大小淋巴结,质中无压痛;结膜无充血,瞳孔等大正圆,光反射存在,耳鼻未见异常,甲状腺不大,心肺肝脾未见异常,四肢关节未见异常。
化验:WBC5.3×109/L,Hb141g/L,Plt156×109/L,RF744RU/ml,CRP6.79mg/l,ESR30mm/h,ANA1∶320,ANCA(-),Acl(-),ACE100U/L(<68),血CCP>1600U/ml,TgAb243IU/ml,TmAb96IU/ml,TSH5.6mU/L(<4.2mU/L),FT3、FT4正常,补体正常,IgG 2300mg/dl(<1560mg/ dl)。巨细胞IgG抗体(+),乙肝、丙肝、HIV、梅毒抗体均(-)。HLA-B27(-),尿常规正常。PPD(-)。
B超:肝胆脾肾未见异常。双手相(-)。
UCG:先天性心脏病,房间隔缺损(继发孔中央型)。
肺CT(图2):双肺门肿大,左中肺片状影。
FFA(图3a~b):左眼静脉期:视盘边界欠清,毛细血管扩张,动静脉充盈无迟缓,视盘颞下3.5PD处血管壁前见2×2PD大小高荧光区,边界不清,稍隆起,可见线状高荧光迅速渗漏,周围可见散在激光斑,拱环结构欠清,周边小血管轻度扩张。晚期:视盘及颞下方病灶高荧光渗漏。右眼静脉期:视盘边界欠清,盘沿毛细血管扩张,动静脉充盈无迟缓,周边视网膜毛细血管小血管轻度扩张。晚期:视盘高荧光。考虑为双眼脉络膜视网膜病变。

图2
肺CT:双肺门淋巴结明显肿大,左中肺斑片状阴影

图3
FFA: 治疗前,双眼视盘高荧光,周边视网膜血管壁染,左眼视盘颞下病灶高荧光渗漏(a~b);治疗后,双眼视盘略高荧光,周边视网膜血管壁染明显好转,左眼视盘颞下病灶渗漏明显减轻(c~d)
气管镜(图4a~b):双主支气管开口通畅,黏膜粗糙,散在丘状结节,未见溃疡、出血及新生物。疑结节病。支气管黏膜活检病理:黏膜组织慢性炎症,间质内多个上皮样肉芽肿形成,未见干酪样坏死,符合结节病改变。
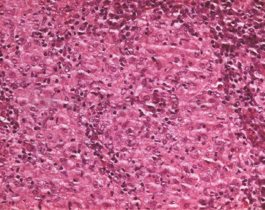
颈部及腹股沟淋巴结活检病理(图5)符合结节病改变[TB(-)、WS(-)、PAS(-)、六胺银(-)、CD68(+)]。

图4
气管镜:双侧支气管黏膜粗糙,散在丘状结节

图5
腹股沟淋巴结活检病理:可见非干酪样类上皮细胞肉芽肿形成,符合结节病改变[TB(-)、WS(-)、PAS (-)、六胺银(-)、CD68(+)]
予以激素及免疫抑制剂治疗一周,眼科检查,眼底小病变明显减少(图1c~d)。治疗两周,右眼底结节病变消失。SACE降为正常水平。FFA检查见图3c~d。