王某某,女,64岁。
4年前无明显原因出现四肢关节肿痛,伴晨僵>1小时,未系统诊治。2年前症状加重,以双手、腕、肩、踝关节为重,外院诊断为类风湿关节炎,服用中药治疗,逐渐出现关节畸形。
近1年无明显原因出现双眼视力下降,严重时仅有光感,伴眼红、眼痛,外院诊断为虹膜炎,予以激素治疗。症状缓解,1个月前视力再次下降,于2010年1月27日来我院诊治,眼科诊断为双侧葡萄膜炎,视力:左眼0.6,右眼光感。
既往:双侧股骨头坏死1年,Ⅲ期。
查体:一般可,坐轮椅,肥胖,体温正常,血压120/60mmHg,浅表淋巴结未及肿大,耳鼻未见畸形,甲状腺不大,心肺肝脾未见异常,双手PIP天鹅颈畸形,右中MCP肿胀明显,双腕肿胀,压痛,双膝轻度肿胀,下肢活动时可及髋关节骨摩擦音伴疼痛。
化验:血WBC7.3×109/L,Hgb121g/L,Plt314×109/L,ESR60mm/h,CRP84mg/dl,RF(-),ANA(-),ds-DNA(-),ENA(-),ANCA(-),C3、C4均正常,甲状腺功能正常,TgAb217IU/ml,TmAb(-),肝肾功能正常,尿RT(-)。
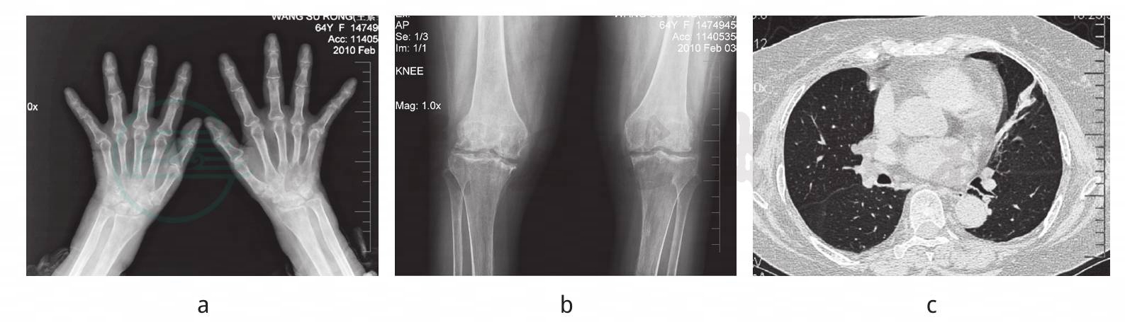
双手相(图1a):明显骨质疏松,双手第2、3MCP关节间隙狭窄及破坏。双膝相(图1b):明显骨质疏松及破坏,呈虫蚀样。肺CT(图1c):左肺条带状影。
图1
a.双手多个掌指关节、近端指间关节及腕关节骨破坏及明显骨质疏松;b.双膝关节面骨破坏明显,胫骨平台塌陷,伴软骨下骨硬化及骨质疏松;c.肺CT:左肺条带状影
眼科检查:眼压R53.7mmHg、L48.5mmHg;右眼睫状充血,角膜轻度水肿,灰色细小KP(+),瞳孔固定不圆,上方见血管,晶状体浑浊;左角膜水肿,对光反应可。双眼底不入。
诊断为:RA、双全葡萄膜炎,青光眼、白内障。
经我科激素及免疫抑制剂治疗后,关节症状好转。同时,眼科予以虹膜炎激光打孔治疗眼压降至正常。2周后化验血CRP15mg/L,ESR41mm/h,较前明显好转。



