高某某,女,26岁。
2年前无明显原因出现右眼视力模糊,眼前黑影飘动,外院诊断为葡萄膜炎、巩膜炎,局部及口服使用激素治疗后改善。
1年前左眼红肿痛及视力下降,外院仍诊断为葡萄膜炎及给予激素治疗。
5个月前(2010年3月)因症状加重来我院就诊,查:视力R0.2/L0.3,双眼压正常,右眼无充血,角膜清,前房及眼底无渗出,晶状体前色素;左眼颞下结膜充血、水肿,局部无压痛,角膜清,前房浮游细胞(++),角膜后壁KP(++),左颞侧巩膜充血。左眼底可见雪堆样渗出伴RD;眼眶CT/MR(2010年3月22日):左眼球变形,外下壁增厚呈弧形,约1.8cm×1.1cm,边缘模糊,部分强化(图1a~b),余(-),眼B超:左眼颞下方周边玻璃体内可见半球形实性病变,边界清晰,内回声不均。双眼玻璃体内点状回声。考虑为炎性病变,结合结核病史,予以INH+RFP+激素治疗。
2010年5月20日复诊时患者已停激素20天,仍服抗结核药物;述视力下降加重,伴眼痛及头痛;眼科复诊:眼压正常,视力:右0.4/左手动3m;左眼混合充血,KP(+++),Tyn(++),角膜清。
图1
眶MRI:治疗前,左侧眼球前外下部异常信号影,累及眼环,明显强化,边界欠清(a~b);治疗半年后,上述病变增大,左眼球有萎缩(c~d)
眼B超(图2a):2010年5月20日玻璃体内病变较2010年3月21日有所增大(图2b)。
图2
眼B超:治疗前,眼球壁隆起型病变(a);治疗2个月后,上述病变增大(b)
2010年5月外院支气管镜未见异常,刷片未见结核及癌细胞。继续抗结核治疗。
2010年8月16日眼科再次复诊:眼压正常,左眼混合充血,左角膜水肿,下方弧形角膜基质层病变,前房中深,KP(+++),弥漫粉尘及羊脂状,Tyn(+),虹膜表面凸凹不平。NVI(-),瞳孔闭锁不圆,晶状体混浊不入。右前节(-)。经风湿科会诊后于2010年8月17日收入院。
既往史:10年前支气管内膜结核病史,曾抗结核治疗1.5年(用药不详)。
查体:一般情况可,神清语利,体温正常,血压正常,浅表淋巴结及皮肤黏膜未见异常。左眼结膜、巩膜充血明显(图3a),局部轻压痛,右眼无视力。耳鼻未见异常,甲状腺不大,心肺肝脾未见异常,四肢关节未见异常。
化验:WBC5.2×109/L,Hgb122g/L,Plt178×109/L,ESR18mm/h,CRP8.24mg/dl,RF、ANA、抗ENA、ds-DNA、ANCA均(-),Ig正常,甲状腺功能及其抗体未见异常,肝肾功能正常,尿常规正常。PPD(+++)。
肺CT(图3b):右上肺尖段、后段结节影,未见毛刺征,纵隔及肺门多个淋巴结。
图3
a.左眼结膜、巩膜充血明显;b.胸部CT:右肺上叶尖段及后段多发结节影
诊断:肺结核,结核相关眼病。
在继续三联抗结核治疗的同时,予以激素治疗三周,眼部症状无好转,(2010年9月)MR示眼内病变增大(图1c~d),眼球变小,故行眼球摘除治疗。
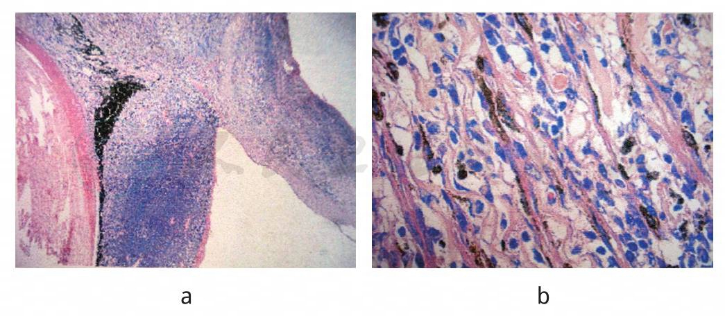
术后病理(图4a~b):浆细胞肉芽肿。肉芽肿侵及虹膜、睫状体及相应区域巩膜板层组织,视网膜全脱离,网膜下渗出。免疫组化:CD20(+)、CD45RO(+)、CD39(+)、κ(-)、λ(+)、Bcl-2(-)、Ki-67(-)、CD138(+)、CD3(+)、MUM-1(+)。眼病灶内未找见抗酸杆菌。
图4
a~b.左眼球病理:浆细胞肉芽红肿,侵及虹膜、睫状体及相应区域巩膜板层组织,视网膜全脱离,网膜下渗出,未见抗酸杆菌



