宋某某,女,72岁。
3年前无明显原因,右眼视力下降,外院眼科诊断为视网膜脱离,行手术治疗,同时发现鼻窦炎(图1a)。1年前视网膜脱离复发,再次手术治疗。
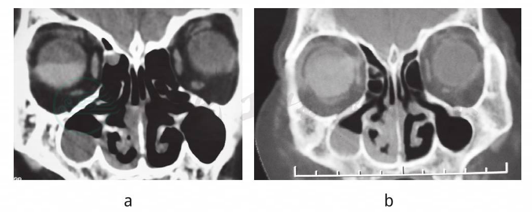
图1
a.3年前鼻窦CT示右上颌窦内软组织密度影,右鼻腔及鼻中隔右侧黏膜增厚;右眼视网膜脱离;b.3年后鼻窦CT示右上颌窦软组织密度增多,视网膜脱离消失
4个月前(2009年10月)出现右眼红肿、胀痛,伴鼻塞、鼻出血、右耳听力下降和耳部充血,自觉憋气,无关节痛、皮疹等。外院查:双眼结膜正常,双瞳孔不等大,右眼光感、左眼指数。眼底检查示葡萄膜炎(图2)。
图2
巩膜血管轻度充血,眼底检查:可疑晚霞样眼底改变及豹纹状眼底改变
鼻科检查:双中鼻道见脓性分泌物,右侧为重,右上颌窦区压痛。右外耳道充血,少许分泌物。鼻窦CT示双筛窦、右上颌窦及蝶窦内见软组织影(图1b)、双侧鼻中下鼻道软组织影,右侧为重;右眼球密度不均;听力测定发现双耳听力下降;颞骨CT示乳突窦、乳突蜂房及中耳腔可见密度增高影,部分层面可见液气平。诊断为急性鼻窦炎、右外耳道炎、右侧中耳乳突炎,予以抗生素治疗无效。
2009年11月外院行鼻黏膜活检,病理报告:右鼻腔黏膜出血、坏死,伴大量淋巴细胞、浆细胞、中性粒细胞、嗜酸性粒细胞浸润,部分血管壁纤维素样坏死,考虑为WG。进一步化验c-ANCA(+),予以激素及CTX治疗,耳鼻症状一度好转,但眼部症状无改善。外院疑眼部感染,于2010年2月9日行右眼球摘除。术后眼部胀痛一度好转。
近2周因左眼再次出现胀痛及眼眶痛伴头痛来我院就诊,于2010年3月3日收入我院风湿科。
既往:甲状腺腺瘤术后30年。
查体:一般情况可,神清语利,满月脸,体温37.3℃,血压110/70mmHg,浅表淋巴结及皮肤黏膜未见皮疹。右眼缺如,左眼视力为指数。耳鼻未见畸形,甲状腺不大,心肺肝脾未见异常,四肢关节未见异常。
化验:WBC7.39×109/L,Hgb127g/L,Plt189×109/L,ESR30mm/h,CRP53.4mg/L,RF(-),RP3-ANCA92RU/ml,MPO-ANCA(-),ANA、抗ds-DNA抗体、抗ENA抗体、甲状腺功能及抗体均正常;HLA-B27(-),肝肾功能正常。尿常规(-)。
外院肺CT:未见异常;我院肺功能:DLco69.6%。
我院眼科会诊:左眼巩膜瓷白,角膜清、KP(-)、Tyn(-),前房中深,瞳孔正圆,光反射好,眼底:高度近视眼底改变,后极部脉络膜萎缩斑,后巩膜葡萄肿。右眼摘除,分泌物少。眼底相参图:
眼部B超:玻璃体轻度浑浊。
耳科检查:左鼓膜形态完整;右鼓膜内陷,形态完整,但表面不平。诊断为右中耳乳突炎。纯音测定:双侧传导性耳聋(图3);双耳未记录到耳声发射;声导抗:右耳C形曲线,鼓室压力-210mmH2O,左耳正常。
图3
纯音测听:双耳传导性耳聋,低频部分明显
喉科检查:喉黏膜充血,发音位右室带轻度代偿,双声带光滑,略充血,表面微血管扩张,双杓活动好,杓间黏膜肥厚、膨出(图4a),双梨状窝未见异常。诊断为慢性咽喉炎。入院后我院颞骨CT(图4b)可见双侧右中耳内密度增高影增多;鼻窦软组织影明显减少。
图4
a.喉镜:双侧杓会厌襞黏膜充血肿胀,杓间区黏膜增生糜烂;b.颞骨CT:乳突蜂房内可见软组织密度影,听小骨未见异常
复习外院鼻腔病理片(图5a):黏膜组织重度炎症,其内可见淋巴细胞、浆细胞、嗜酸性粒细胞及中性粒细胞浸润,伴类上皮肉芽肿形成,小血管壁可见肿胀、增厚,纤维素样坏死不明显。倾向于韦氏肉芽肿诊断。复习外院眼病理片(图5b):巩膜全层受累,炎性细胞浸润明显。
图5
a.(鼻)黏膜活检病理:黏膜组织重度炎症,其内可见淋巴细胞、浆细胞、嗜酸性粒细胞及中性粒细胞浸润,伴类上皮肉芽肿形成,小血管壁可见肿胀、增厚;b.(眼)巩膜病理:巩膜内外侧炎性细胞弥漫浸润明显,巩膜全层明显受累
诊断:WG+后巩膜炎。
经激素及免疫抑制剂治疗,次日眼痛消失。2周后复查CRP正常,c-ANCA下降到78RU/ml。
随诊12个月,病情稳定,无头痛、眼痛发作。



