案例诊断
骶骨肿瘤
病例介绍
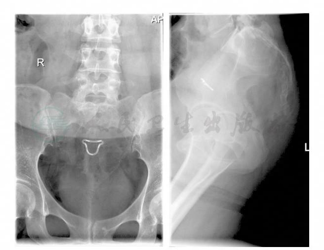
女性,27岁,因“腰背痛半年,加重伴左下肢疼痛2天”入院。患者自述,半年前无明显诱因出现腰部酸胀不适,间歇性加重,无下肢放射痛,卧位翻身及行走时加重,平卧休息后略缓解。2天前症状加重,并出现左下肢放射痛。于当地医院就诊,X线片见骶骨破坏(图1),CT及MRI显示:骶骨肿瘤(图2),转来我院。患者自发病来,大小便正常。既往体健。入院查体:腰椎活动受限,四肢感觉肌力正常,上下肢肌力Ⅴ级,左膝腱反射( + + ),右膝腱反射( + ),双Babinski征(-)。
图1 X线片见骶骨破坏
图2 骶骨破坏,部分残留骨嵴
患者入院后,先行CT导引下病灶穿刺活检,病理报告显示:(骶骨)由单核的梭形细胞和散在分布的多核巨细胞构成的肿瘤,意见为骨巨细胞瘤(Ⅱ级)。因为经济上的原因,患者放弃治疗。
此内容为收费内容
随访结果
出院后3个月,电话随访患者,症状没有明显加重。
此内容为收费内容



