案例诊断
腰椎骨折
病例介绍
男性,32岁,腰背部外伤后疼痛,活动受限2天。查体:胸腰段棘突压痛,腰椎屈伸活动重限,双下肢感觉、肌力和反射无明显异常。
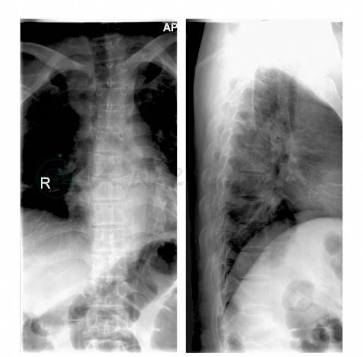
胸椎正侧位X线片示T12椎体压缩骨折,前缘压缩近50%,中后结构尚完整(图1)。
图1 胸椎正侧位X线片示T12椎体压缩性骨折,前缘压缩近50%
此内容为收费内容
随访结果
患者行后路T12骨折间接复位,T11、L1椎弓根钉棒系统内固定术,术后X线片示骨折部分复位,T12椎体前柱高度恢复不满意。术后8个月胸椎正侧位X线片示T12椎体高度丢失,T11椎弓根螺钉弯曲,患者出现胸腰段后凸畸形(图2),自感驼背明显,不能忍受。
图2
(1)术后1周腰椎侧位X线片示T12伤椎高度部分恢复;(2)术后8个月复查腰椎侧位X线片见伤椎高度丢失,T11螺钉弯曲,胸腰段后凸畸形
此内容为收费内容



