患者男性,58岁,广西平南人,外来务工人员,因“左侧肢体乏力20余天”于2009年2月7日入院。
现病史:患者20余天前无明显诱因下突发左侧肢体乏力,不能握持,伴有言语不清,遂由同事送入当地医院就诊,诊断为“脑梗死”。予相应治疗后(具体不详),言语较前稍清晰,仍有左侧肢体乏力,左上肢不能握持,遂转来我院就诊。患者起病以来,无发热、畏寒,无恶心、呕吐,无胸闷、心悸、四肢麻木等不适;精神、睡眠、食欲一般,二便正常。
既往史:无特殊。
入院查体:体温37℃,脉搏60次/分,呼吸20次/分,血压190/90mmHg。心律稍不齐,未闻及病理性杂音。肺、腹部查体未见明显异常。专科体查:神清,语利,对答切题,脑膜刺激征(-),眼球运动正常,无眼颤,双侧瞳孔等大等圆,D=3mm,对光反射灵敏,双侧额纹正常,左侧鼻唇沟稍变浅,咽反射正常,伸舌居中,左侧肢体肌力4级,轻瘫试验(+),活动不灵活,右侧肢体肌力5级,肌张力正常,左侧指鼻试验(+),跟-膝-胫试验(±),左侧肢体浅感觉减退,深感觉大致正常,生理反射正常,病理反射未引出。
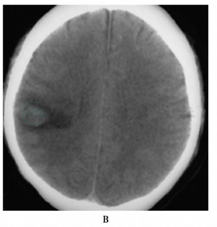
辅助检查:三大常规、生化、肝肾功能、DIC套餐未见明显异常。胸片正常。心电图:①窦性心律不齐+过缓;②交界性逸搏心律伴不完全性干扰性房室脱节;③T波异常,符合前侧壁心肌缺血;④左室电压增高。头颅CT:2009-1-14:左侧岛叶脑软化灶;2009-1-19:①右额叶脑梗死;②左侧基底节区脑软化灶;2009-2-7:①右侧颞顶叶占位,灶周明显水肿,考虑脑脓肿可能性大;②左侧岛叶囊样低密度灶。见图1。
图1 头颅CT
A.2009-1-14 CT平扫;B.2009-1-19 CT平扫;C.2009-2-07 CT平扫;D.2009-2-07 CT增强
治疗经过:入院后予抗感染、营养脑神经、预防癫痫发作及对症支持治疗,患者出院时左侧肢体肌力4+级,左上肢上抬不过肩,浅感觉较右侧减退。



