患者男性,84岁,广东中山人,退休人员,因“昏迷1小时”于2010年1月1日18:30入院。
现病史:患者入院前1小时无明显诱因于坐位静息状态下出现昏迷,呼之不应,无四肢抽搐、口吐白沫、二便失禁等;后神志转为浅昏迷,不能言语,呼吸促,烦躁不安。为求进一步诊治,急诊拟“脑出血、高血压”收入我科。起病以来,二便未解。
既往史:有“高血压”史多年,血压控制欠佳,具体用药不详。
入院查体:T 36.8℃,P 90次/分,R 25次/分,BP 190/120mmHg。急性面容,被动体位。全身皮肤发绀,湿冷。颈静脉怒张。双下肺可闻及细湿啰音。心界扩大,心率90次/分,律齐,未闻及病理性杂音。腹部查体未见明显异常。双下肢凹陷性水肿。专科体查:浅昏迷,双侧眼球无震颤,瞳孔等大等圆,直径约3mm,对光反射灵敏;四肢肌力检查欠合作,左侧肢体活动减少,肌张力减低,右侧肢体有自主活动,肌张力正常,左侧巴宾斯基征(+)。
辅助检查
1.实验室检查结果(表1~表5)
2010-1-2尿常规提示:尿蛋白(++),红细胞(++++)。
表1 血常规
表2 凝血功能
表3 生化八项(单位:mmol/L)
表4 心肌酶学
表5 血气分析
2.其余实验室检查结果
2010-1-2血脂、肝功、蛋白大致正常。
2010-1-5血培养:无细菌,真菌生长。
2010-1-8痰涂片:见G+球菌及G-杆菌和真菌。痰培养:见白色念珠菌、鲍曼不动杆菌、溶血葡萄球菌、粪肠球菌。
2010-1-9:血沉32mm/h。hs-CRP>5mg/L。补体:C3 0.83g/L,C4 0.11g/L。免疫球蛋白:IgA 1.06g/L,IgG 6.00g/L,IgM 0.49g/L。风湿三项:ASO、RF正常,CRP117mg/L。抗结核抗体(-)。肝炎标志物、梅毒两项阴性。肿瘤标志物:CA-125 339.9U/ml,CEA 7.3ng/ml,PSA 20.13ng/ml,铁蛋白399.5ng/ml,鳞状细胞癌相关抗原1.8ng/ml,其余CA-153、CA-199、AFP均正常。
2010-1-10:肝功示:γ-GT 152IU/L,ALP 151IU/L,其余正常。蛋白:TP 45.8g/L,ALB 24.2g/L。复查痰培养见咽部正常菌群生长。
3.影像学检查结果
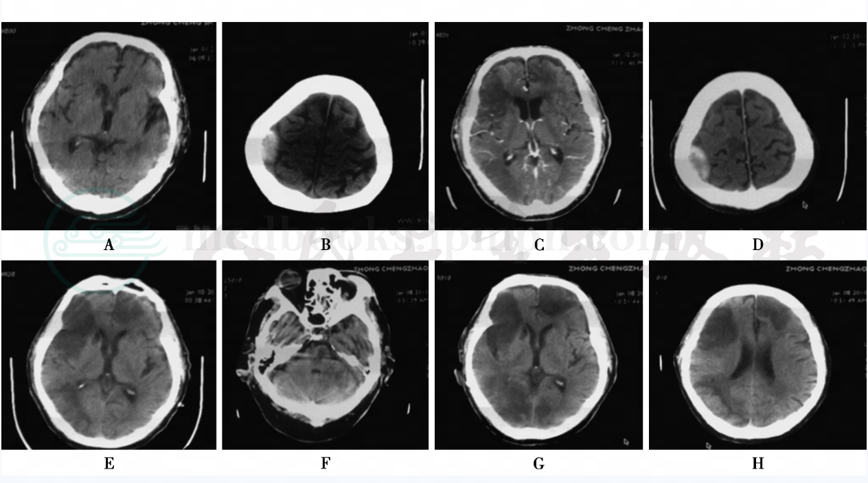
(1)头颅CT(图1)
图1 头颅CT
A.1月1日6:09pm;B.1月1日10:39pm;C.1月2日3pm;D.1月2日3pm;E.1月5日3:38pm;F.1月8日10:53am;G.1月8日10:53am;H.1月8日10:53am
2010-1-1(急诊):①右侧顶部可见高密度影,考虑右侧顶部硬膜外血肿(量约4ml),建议复查或增强扫描,排除脑膜瘤;②双侧基底节区多发腔隙性脑梗死;③双侧脑室旁白质脱髓鞘;④脑萎缩。
2010-1-1(复查):与前片对比,现片提示右侧额叶可见斑片稍低密度区,局部脑沟模糊,可疑早期脑梗死,建议复查;右顶部高密度灶大小、形态大致同前。
2010-1-2(增强):与前片相比,双侧额叶及右顶枕叶可见大片低密度无强化区,边缘清楚,有顶部高密度灶明显强化。印象:①双侧额叶及右顶枕叶多发脑梗死;②双侧基底节区可见多发腔隙性脑梗死;③右顶部脑膜瘤。
2010-1-5(复查):与2010-1-2号片相比,双侧额叶及右顶枕叶可见大片梗死灶大小、形态同前,有枕叶梗死灶密度有所恢复。
2010-1-8(复查):与前片对比,左侧枕叶新发斑片状脑梗死灶,双侧额叶及部分右侧枕叶病灶密度进一步降低,左侧小脑半球密度降低,脑梗死?建议复查。
(2)胸片
2010-1-2右下肺感染;心影增大,心功能不全;右侧少量胸腔积液。
2010-1-4(床边):双下肺感染;心影增大,心功能不全;双侧少量胸腔积液;心包积液待排。
(3)B超
2010-1-2心脏彩超:①全心增大,室间隔增厚;②主动脉硬化,主动脉瓣退行性变并关闭不全(轻度);③二尖瓣,三尖瓣关闭不全(轻度);④左室收缩功能稍差。
2010-1-2腹部B超:①胆囊壁毛糙;②前列腺增生。
2010-1-2颈部血管彩超:①双侧颈动脉及椎动脉硬化;②双侧椎动脉血流速度减慢。
(4)ECG
2010-1-2:左室肥大伴复极异常,左房增大可能性,心肌缺血(建议心酶追踪检查)。
2010-1-4:偶发室性期前收缩,偶发房性期前收缩,左室肥大伴复极异常,心肌缺血。
2010-1-7 Holter:窦性心律,频发房性期前收缩及短阵房速,偶发室性期前收缩,心肌缺血。
治疗经过:患者入院后予以完善相关检查(各项结果见上)。当时血压210/110mmHg左右,血氧饱和度89%,即予呋塞米利尿、硝普钠降压、减轻心脏负荷、吸氧、营养心肌及护胃等抢救措施。经上述治疗后,患者病情有所稳定,血压大致维持在140~160/70~90mmHg,心率100次/分左右,呼吸20~25次/分,血氧饱和度98%。后连续头颅CT(平扫+增强)提示:右侧顶部脑膜瘤,多发脑梗死灶。期间肺部感染控制欠佳。治疗上以抗感染、化痰、控制血压、改善脑循环、营养神经及调节电解质等对症支持治疗。患者病情反复,并再发新脑梗死灶,逐渐出现潮式呼吸,痰较多,因反复吸痰导致咽喉红肿,建议气管切开,但患者家属不同意,并要求放弃治疗,于2010年1月12日出院。



