患者男性,深圳人,46岁。
主诉:间歇性无痛性肉眼血尿5个月。
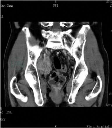
现病史:患者5个月前无明显诱因出现间歇性无痛性肉眼血尿,褐红色,偶伴小血块,无腰痛、发热,无尿少、排尿中断,无尿频、尿急、尿痛,无夜尿增多、排尿困难等,于外院就诊,确诊“膀胱癌,单发,位于膀胱右后壁近输尿管口处”,行经尿道膀胱肿瘤电切术(TURBT),当时术中描述是右侧输尿管口后方约1cm有一直径2cm左右菜花状肿物,基底较宽。术后病理结果提示:膀胱尿路上皮癌,高分化。术后予吡柔比星30mg方案膀胱灌注,1次/周,8次(即2个月)后改为1次/月,术后3个月复查膀胱镜发现膀胱原手术部位肿瘤复发,再次于外院行TURBT,外院病理提示浸润性膀胱尿路上皮癌,高分化。患者拒绝行根治性膀胱全切除术。术后继续行吡柔比星膀胱灌注,剂量加至50mg每次,1次/周,治疗4周后,即1个月前外院CT复查,提示膀胱癌原位复发,并已侵犯右输尿管末端,导致右肾输尿管未显影,基底已突破浆膜层,可疑膀胱癌侵犯右侧膀胱-精囊三角区。遂至我院就诊,2周前入住我院,行MVAC(甲氨蝶呤、长春碱、阿霉素、顺铂)方案的新辅助化疗,患者耐受好。2周后复查CT显示膀胱肿物未有明显改变,局部似较前为大,前壁广泛增厚,考虑炎症与广基膀胱癌相鉴别(图1)。今为进一步诊治,收入我科。患者近期于新辅助化疗后精神欠佳,下腹部及尿道持续疼痛,食欲正常,大便正常,体重无明显变化。
图1 新辅助化疗后CT表现
既往史:无特殊。
个人史:无异常。已婚。
家族史:无异常。
体格检查:全身浅表淋巴结无肿大,双肾区无隆起,未触及肿块,无压痛及叩击痛,双输尿管行程无压痛及反跳痛,膀胱无隆起,叩诊空虚,无压痛,外生殖器正常,尿道外口无红肿,肛门括约肌张尚可。直肠指检未及异常。
初步分析:患者中年男性,以“间歇性无痛性肉眼血尿5个月”入院,膀胱癌诊断明确,在不足半年内肿瘤多次复发,TURBT、腔内膀胱灌注治疗效果不佳,提示肿瘤恶性度高,生长快速。该患者在治疗过程中,因为年轻开始不愿接受根治性膀胱全切除术(radical cystectomy,RC),故予行2次TURBT+腔内膀胱灌注化疗,这是非肌层浸润性膀胱癌标准的治疗方法。最后一次复发从CT表现看,临床分期至少已达T3a,无法再保留膀胱,但当时没有立即行膀胱全切术,考虑患者已属晚期肿瘤,单纯手术效果不佳,故选择新辅助化疗,目的是希望使肿瘤降期,缩小肿瘤,降低手术难度。在一个疗程后患者下腹及尿道疼痛有所加重,复查CT,与化疗前CT表现相比,肿瘤无明显变小,局部有所增大,表明新辅助化疗没有达到预期疗效;但尚未见明显盆腔淋巴结转移迹象,仍有手术切除的机会,此时应行挽救性膀胱全切除术。鉴于肿瘤短时间内复发,术前有必要排除上尿路来源的尿路上皮肿瘤。
入院后行常规检查,血尿常规正常,血生化示肝肾功能正常,胸片心电图无异常,B超未发现腹部脏器转移。查上尿路CT示右肾重度积液右输尿管扩张,排除上尿路肿瘤。全身骨扫描未见骨转移灶。其余各项检查未见明显手术禁忌证。经充分术前准备后,在气管内麻下行尿道镜检+根治性膀胱全切+回肠膀胱术,尿道镜检查尿道内未见肿瘤,膀胱内右侧壁及三角区见多发肿物。术中发现膀胱周围粘连严重,并与腹膜粘连,盆腔淋巴结未及明显肿大,予切除粘连腹膜,行盆腔淋巴结清扫。术后切开膀胱见整个膀胱壁增厚,最厚达3cm,三角区及右侧壁长满鱼肉样肿瘤组织,局部已突破浆膜层。术程顺利,术中出血约500ml,术后患者恢复顺利,无特殊并发症,病理回报膀胱高级别浸润性尿路上皮癌,广泛浸润膀胱壁全层,边缘血栓形成合并贫血性梗死;双侧输尿管切缘、前列腺、精囊腺、尿道未见癌;切除的腹膜组织为纤维脂肪组织,见较多炎症细胞浸润,未见癌;淋巴结阴性。患者痊愈出院后,考虑患者为晚期肿瘤,故建议患者行系统性全身化疗,方案为吉西他滨+顺铂,每3周一次。
最后诊断:膀胱癌T3bN0M0。
术后4个月,复查盆腔CT,示盆腔团状软组织影,大小约4.9cm×6.0cm×6.0cm,边缘不光整,边界不清,其内密度不均匀,增强扫描明显不均匀强化,考虑膀胱癌盆腔转移灶;盆腔及双侧腹股沟多发淋巴结影,未除外转移可能(图2)。
图2 术后4个月复查CT表现



