患者男性,广东佛山人,59岁。
主诉:进行性吞咽困难1个月。
现病史:患者一个月前无明显诱因出现吞咽不适,未予重视。3周前患者进食较硬食物时感到吞咽困难,但仍可进普通饮食,2周前患者进普通饮食出现吞咽困难,1周前只能进半流质饮食,遂到我院门诊就诊。行电子胃镜及超声内镜检查发现距门齿30~36cm处可见一近环周肿物(图1A),内镜勉强通过,肿物充血,表面坏死;距门齿31~33cm处肿物与胸主动脉分界不清(图2A),活检确诊为食管中分化鳞癌,为进一步治疗入我科。起病以来无呛咳,无胸背疼痛,无畏寒、发热,无肢体麻木、肌无力等症状。患者精神状态尚可,食欲较差,大小便正常,体重较前减轻3kg。


图1 放化疗前电子食管胃镜下见距门齿30~36cm食管近全周肿物(A);放化疗后电子食管胃镜,肿瘤基本消失,原肿瘤处食管见黏膜糜烂(B)


图2 放化疗前的食管超声内镜,肿瘤侵犯胸主动脉(A);放化疗后的食管超声内镜,肿瘤明显缩小,与胸主动脉分界清楚(B)
既往史:无高血压病、心脏病史,无结核、肝炎等传染病史,无手术外伤史。
个人史:无烟酒嗜好,已婚已育。
家族史:无异常。
体格检查:T36.7℃,R18次/分,P73次/分,BP110/70mmHg, KPS评分90分。分体型消瘦,神清,体表无静脉曲张,心肺及腹部未见异常。
初步分析:患者为中年男性,以进行性吞咽困难为主要症状,胃镜发现食管中段肿物,活检病理确诊为中分化鳞癌。进行性吞咽困难是典型的进展期食管癌的表现,胃镜下病理活检结果确诊为食管鳞癌,在定位诊断和定性诊断方面是没有异议的。作为肿瘤患者,在对其进行进一步的治疗前,还需要做好两方面的工作:一方面是对疾病范围的正确评价,即进行准确的临床分期。对肿瘤患者来说,没有分期的诊断是一个不完整的诊断;在这个意义上来讲,做好肿瘤的分期工作也是进一步完善诊断所必须的。另一方面工作是对患者机体状况,即对治疗耐受性的进一步评估;这需要对患者进行一系列实验室和器械检查。虽然手术治疗仍然是食管癌患者治愈的关键所在,但只有一部分患者具有手术指征。该患者是否需要手术治疗?如果需要,手术治疗干预的恰当时机是什么?是否需要进行放、化疗?实施的时机如何把握?这需要在多学科综合治疗的基本模式下,以循证医学基本理念为指导,结合患者的具体情况进行分析。
1.临床分期的评估
分期治疗是实体肿瘤治疗的基本原则之一,也是实体肿瘤治疗的基本条件和前提。食管超声内镜是目前对食管癌进行T分期和N分期的最佳工具。超声胃镜发现肿物与胸主动脉分界不清,提示肿瘤侵犯降主动脉的可能性极大(图3A)。增强CT扫描也提示肿瘤与降主动脉关系密切,怀疑累及降主动脉。按照2009年AJCC食管癌分期,应归于T4b病变。另外,超声胃镜发现食管周围的淋巴结均为长条形的小淋巴结,均值,界清;腹腔干和腹膜后等腹部区域也未发现肿大淋巴结。以上影像学特点提示患者的N分期应为N0。因为肿瘤上缘靠近气管隆突,为进一步评估肿瘤与双侧支气管以及隆突的关系,入院后行电子纤维支气管镜检查。支气管镜下见隆突锐利,双侧支气管通畅,无外压表现,支气管黏膜光滑,提示隆突及支气管受侵的可能性不大。颈部、胸部、腹部平扫及增强CT均未发现食管外的可疑转移灶,提示M分期应为M0。


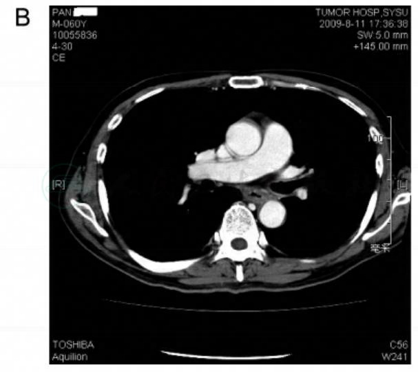
图3 放化疗前胸部增强CT扫描提示肿瘤与降主动脉关系密切(A);放化疗后胸部增强CT扫描提示肿瘤明显缩小(B)
食管吞钡检查发现T5~T7水平食管黏膜皱襞中断、破坏,边缘不规则,管壁僵硬,蠕动减弱,钡剂通过受阻,病灶以上食管管腔轻度扩张(图4A)。综合以上信息,可以将该患者的分期相关因素总结如下:病灶位于胸中段食管,侵犯降主动脉,未提示淋巴结转移,未提示远处组织器官转移,病理类型为鳞癌,细胞分化程度为中分化。综合以上分期相关因素,该患者的临床分期应该为:CT4bN0M0(G2)ⅢC期。


图4 放化疗前食管吞钡检查发现T5-T7水平食管病变(A);放化疗后食管吞钡检查发现食管病变已不清晰(B)
2.对机体状态的评估
患者精神可,无循环、呼吸系统症状,肌力正常。血常规:RBC5.42×1012/L,HGB161.0g/L,WBC7.4× 109/L。生化指标:Cr59.59μmol/L,BUN3.72mmol/L,ALB 43.0g/L,总蛋白:79.94g/L,ALT15.1U/L,AST19.9U/L,电解质正常。ECG:不完全性右束支传导阻滞。肺功能:FVC 2.75L,FEV 11.87L。
3.治疗策略
术前同期新辅助放化疗加手术治疗 由于超声胃镜发现肿瘤侵犯降主动脉,直接手术治疗难以达到R0切除之目的,我们首先采用新辅助同期放化疗,待肿瘤进一步缩小后再给予手术治疗。
联合化疗方案(NP方案,两周期):长春瑞滨25mg/m2,第1天、第8天静脉滴注,顺铂80mg/m2,第1天、第8天静脉滴注,完成第一周期化疗。第22天继续上述化疗方案,完成第二周期化疗。
放疗方案:首次放疗与化疗同日进行。放射装置为8Mev直线加速器;常规放疗技术;连续放疗程式;放疗剂量为40Gy(20次,27天)。
放化疗后疗效评价:食管超声內镜发现距门齿30cm处食管黏膜见一约1.0cm×1.0cm糜烂面,表面充血(图1B);距门齿30~35cm处食管左侧壁全层低回声增厚,最厚约7.4mm,与胸主动脉分界尚清(图2B)。CT提示病灶较前明显缩小(图3B)。食管吞钡示放化疗后病灶已不明显(图4B)。综上所述,放化疗后影像学疗效评价为PR,遂按计划给予手术治疗。
手术方案:同期放化疗术后40天手术治疗,手术方案为经右胸、上腹部、左颈三切口食管癌根治术。
手术后病理诊断摘要:食管大体标本一侧见2.0cm×1.5cm×0.5cm溃疡型肿物,质中、灰白,浸润食管外膜;镜下发现食管黏膜溃疡形成,溃疡下方见明显纤维组织增长,大量浆细胞、淋巴细胞及组织细胞浸润,结合病史,符合治疗后改变,未见癌残留。送检17枚淋巴结未见癌(具体淋巴结名称略)。对放化疗的病理疗效评价为CR。
最后诊断:①胸中段食管鳞癌(原发性,髓质型)cT4bN0M0(G2)ⅢC期(放化疗前);②胸中段食管鳞癌(原发性,髓质型)rT3N0M0(G2)ⅡB期(放化疗后);③胸中段食管鳞癌综合治疗后中段食管黏膜溃疡伴纤维组织增生。
痊愈出院,1月后返院复查,患者饮食通畅,食管吞钡示吻合口通畅。目前患者仍在进一步随访中。