患者,男性,52岁,以“交通伤后右髋部疼痛、活动受限3小时”为主诉入院。
【病情简介】
患者3小时前因交通伤(卡车-自行车)后右髋部疼痛、活动受限入上海市第六人民医院急诊就诊。患者无右下肢麻木,无身体其他处疼痛,无头痛、恶心、呕吐、昏迷。拍X线片示:右髋臼骨折。为进一步诊疗,行股骨髁上骨牵引后以“右髋臼骨折”收治入院。患者自发病以来,精神一般,饮食及睡眠欠佳,大小便正常。
【既往史】
既往体健。
【体格检查】
T:37.5℃,P:85次/分,R:20次/分,BP:120/80mmHg。右髋关节肿胀、畸形,活动受限。压痛、叩击痛明显,无开放性伤口。右下肢感觉正常,身体其他各处无明显压痛及活动受限。
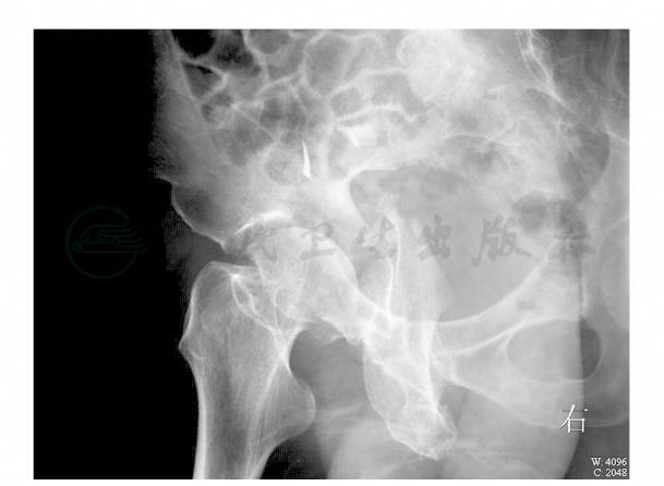
【辅助检查】
骨盆正位X线片:髋臼骨折(图1)。骨盆髂翼斜位和闭孔斜位X线片:髋臼骨折(图2,图3)。
图1 骨盆正位X线片
图2 骨盆髂翼斜位X线片
图3 骨盆闭孔斜位X线片
CT平扫(图4~图8)及三维重建(图9~图12)示髋臼骨折。心电图未见明显异常。
图4 CT平扫
图5 CT平扫
图6 CT平扫
图7 CT平扫
图8 CT平扫
图9 CT三维重建
图10 CT三维重建
图11 CT三维重建
图12 CT三维重建
【实验室检查】
血常规示血细胞比容下降。尿常规、肝肾功能、电解质未见明显异常。
随着对髋臼骨折手术治疗效果更长时间的随访,越来越清楚地发现,与完美复位的类似骨折相比,髋臼关键部位即使残留轻微的不匹配也可引起更多的远期关节炎。据此,髋臼骨折切开复位内固定的适应证变得广泛。
保守治疗
主要采用不负重或骨牵引的方法。
非手术治疗的适应证:
●髋臼上方完整;
●不牵引的情况下,在骨盆前后位、闭孔斜位和髂翼斜位的X线片上,股骨头同上方髋臼保持良好匹配;
●没有后方不稳定的证据;
●其他潜在指征包括:没有移位的髋臼骨折,骨质疏松的患者,由于骨骼质量差,切开复位和内固定的效果可能丢失,严重的系统性疾病或全身多系统损伤的患者。
手术治疗
根据目前大多数学者共同认可的髋臼骨折手术指征:关节面的移位大于和等于3mm。因此,该病例可考虑手术治疗。手术的种类主要包括:重建板钉内固定及拉力螺钉内固定术。
术前准备
常规准备包括患者的血生化等检查,特别是近年来随着生活水平的提高和饮食习惯的改变,下肢的深静脉栓塞的发生率明显增多。由于手术中的对髂外血管的牵拉,可能刺激血栓的脱落,造成严重的肺动脉栓塞,甚至猝死,必须引起手术者和患者的高度重视。术前应该常规彩超检查下肢深静脉,如果有栓塞,必须与相应的科室共同讨论是否有预防性地放置血管滤网的可能性。当然,损伤后,使用小分子肝素是目前国内外预防深静脉栓塞的常用有效的方法。
术中备血必须根据患者的骨折复杂程度和手术者的经验,从数百到数千毫升都是可能的;同时,要求有可透X线片的手术床和影像增强仪(C形臂X线机);最重要的是需要有经验的医生来承担手术,可以大大减少手术时间、增加手术复位的优良率,这是国内外学者已经明确的结论。
手术入路的选择
Letournel认为,Kocher-Langenbeck(后简称KL)入路可以治疗80%以上的髋臼骨折。因此,包括Letournel、Matta在内的许多学者都主张使用单一入路。根据Letournel的描述,双柱骨折可以使用单一的入路切开复位内固定。但随着髂腹沟入路的广泛应用,早期使用的KL入路已不作为首选。Letournel等认为,髂腹沟入路可以较好地显露前柱,复位后固定,再通过间接复位法整复后柱。但他也承认,不能达到后柱精确复位和伴有骶髂关节脱位的都是必须使用两个入路的原因。
从我们近十年的手术病例来看,髋臼骨折的复杂程度有增加的趋势。早期患者的双柱骨折臼顶部的矢状位方向移位并不严重,但近几年来,其骨折呈“交锁”状也时常可见,后柱绝大部分都有多块骨折,伴后壁骨折的更为常见。因此,选择前方入路时,对后壁的复位几乎是无法完成的,而后壁的复位要求相对较高,后壁移位很容易产生创伤性的骨关节炎。同时,后柱的多块骨折,间接复位想达到理想的正常后柱形态并坚强地固定也有许多困难。后柱后壁均有移位骨折(见上图12),选择单一入路可能不是最佳的方案,复合入路也许更好。延长的髂股入路自1974年Letournel首先介绍以来,广泛应用于复杂和陈旧性髋臼骨折,并取得良好的结果,该入路创伤大、出血多、异位骨化率高和严重是其突出的缺点,国内学者基本都持反对意见,我们的观点是不赞成也不使用。
双柱骨折的类型是所有髋臼分型中变化最大的,复位相对困难,采用联合入路能良好显露骨折区域,为术中的解剖复位打下基础。联合入路主要应用在复杂的、累及两个柱的、包括陈旧性骨折的切口选择。Matta、Letournel、Routt等人分别证明了联合入路复位满意率优于单一入路。
超过3周的髋臼骨折,由于髋臼周围肌肉丰富、血供充分,血肿很快机化,骨折端有大量的骨痂和肉芽组织形成,剥离时出血明显,这些组织恰恰是骨折复位时必须清除的。其二,髋臼处在一个多维、扭转的、由上方的髂骨和前后的耻骨和坐骨组成的“人”字形之中,一个平面的复位满意并不意味着髋臼的解剖复位。其三,髋臼周围有许多韧带相连,而且这些韧带随着骨折的移位,不同程度地产生了挛缩,严重制约了骨折的复位。
联合入路的优点可同时对后柱和前柱使用接骨板或螺钉固定骨折,增加了复位后骨折固定的稳定性,有利于患者的早期功能锻炼和早期负重,减少了骨折再移位的可能性。另一个优点就是通过后路牵引下肢,从关节间隙中直接观察髋臼骨折块的复位,同时有利于对髋臼内异物(包括碎骨片)的清除和防止螺钉误入关节。
手术
在全身麻醉下,患者常规留置导尿,放在可透X线的手术床上,以前后翻转的不固定体位(floating),可以同时兼顾后方的Kocher-Langenbeck(后简称KL入路,图18)和前方的髂腹股沟入路(图19)。
图18 Kocher-Langenbeck入路示意图
图19 髂腹股沟入路示意图
本例患者由于后柱后壁均有移位骨折,因此,首先从KL入路,从髂后上棘下方5cm到大转子再沿股骨外侧向下,切到皮下后,纵行切开髂胫束,沿臀大肌纤维分开后向两侧牵开,暴露外旋肌,从转子后方切断包括梨状肌在内的小外旋肌,显露关节囊和髋臼后方,远端达坐骨结节,近端到坐骨大切迹。切断的小外旋肌牵向后、内方,进一步保护坐骨神经。
切开关节囊,并剥离后柱上的骨膜显露后壁和后柱,分离骨盆后侧缘时必须注意保护坐骨神经。注意保护坐骨大切迹处的臀上血管束。从后柱的后方可触及四方区的后半,可做复位时的参考。另外,在后方入路时,同侧的膝关节至少保持屈曲45°以上,以降低坐骨神经的张力,减少神经损伤的可能。
关于大转子的截骨,有学者认为可增加髋臼顶部的显露,我们并不主张常规采用这种方法,因为大转子截骨后,并没有使手术野增加,反而增加了异位骨化发生率。同时,以够用就行的原则,术中尽可能不要过度剥离臀肌,以减少异位骨化的发生率。复位的情况可通过切开的关节囊牵引下肢后,从关节的间隙中观察。
术中对后柱的移位,可选择直径6.5mm的螺钉分别固定在骨折断端两侧,使用螺钉复位器或Farabeuf钳进行整复,并使用克氏针作临时固定。
通常情况下,我们在采用联合入路时,并不主张先单独复位后路,而是将骨折部位的软组织松解,清除碎骨屑等即可。关闭伤口前,需修复切断的小外旋肌,如有可能,尽可能缝合关节囊,创面内放置负压引流管1根。
前方的髂腹股沟入路(见上图19)
后路松解完毕后,将患者翻转至仰卧位,从髂嵴中后1/3处切开,延向耻骨联合上方2~3cm处,髂嵴段,锐性切开,不损伤腹肌,骨膜下剥离髂肌,显露髂窝可在骶髂关节前方打入斯氏钉,有助于牵开腹肌。内侧至少在腹股沟上方1cm处切开,不直接损伤腹股沟韧带。在髂前上棘内侧1cm左右有股外侧皮神经穿出,注意保护。从髂腰肌外侧是外侧“窗口”,能很好地显露髂嵴、骶髂关节和真骨盆缘,部分显露四方形区。股神经在髂腰肌内侧缘与该肌一并牵开。内侧的髂血管束提起后,与髂腰肌、股神经形成了中间“窗口”,显露四方形区。对于髂血管束,我们认为,不必要将其游离出来,一则增加手术时间,二则增加损伤的可能,三则破坏了血管周围的淋巴管,可能造成术后的淋巴水肿或漏的并发症。血管束的内侧有精索或圆韧带,提起后,可显露内侧“窗口”,显露耻骨支。这个入路可以显露整个前柱和髂翼,最大的优点是异位骨化率极低,对臀肌的肌力没有破坏。
前后侧的骨折显露后,复位按照先近后远的原则,即先髂骨后髋臼,为发挥前后入路的优越性,在髋臼复位时,尽可能地利用前后同时协调,避免先固定一侧再进行另一侧的复位。
术中的等长和不等长的Matta钳、顶棒和Farabeuf钳的熟练使用,可以大大增加复位的成功率。
固定顺序:本例患者髂翼有骨折,我们先对其复位,并使用1块重建接骨板固定,恢复髂骨翼的正常解剖,为以后的髋臼复位提供一个良好参照物。而后是后柱的固定,再进行前方的、沿弓状线行走的、至少12孔以上的重建接骨板,从耻骨支至髂骨的近端固定前柱。最后是后壁的固定。
术中注意的事项
双柱骨折大都有一个经过髋臼顶部的骨折线,其位置前后不一,常有矢状位方向的移位或分离,且骨折线内外侧的髂骨常有嵌插呈“交锁”状;有时,臼顶部还有蝶形骨块。通过KL入路与前方的髂腹沟入路将髂骨的外侧板作有限的剥离,使用2点或3点式复位钳,同时通过直视或触摸判断臼顶部的复位。髂嵴上的骨折也应同时协同复位。对于臼顶部骨折存在分离时,可以从KL入路上方,使用Farabeuf钳结合螺钉整复。对位满意后,使用克氏针临时固定。再逐步整复其余的骨折。目前联合入路中后侧的KL入路对臼顶部的显露并不充分,根据作者的经验,常规的KL入路结合髂骨外板有限剥离,也能同样达到显露和复位的目的,省去了额外的截骨和再固定的手术操作时间。
臼顶部的骨折复位极为重要,一则可以作为以后骨折复位的参照;二则可以恢复臼顶的解剖结构、减少关节的磨损;三则可以将复杂的骨折复位化繁为简。
我们采用的前后入路是同时进行的,先从后路进行必要软组织松解,清除后柱、后壁骨折间的碎片和纤维组织后,转而行前方入路。显露后对前柱和四方区进行复位时,我们认为更重要的是利用同时切开前后路的机会,对前、后方的骨折进行协同复位,复位过程中,前方的2点式复位钳和后方螺钉复位器同时或松、或紧或加压等多种技巧,将前后柱达到理想的复位并临时固定后,再对后壁进行精确的复位,经影像增强仪确认后即可行接骨板的固定。
我们认为单一的入路对于一个复杂的髋臼骨折要想达到解剖复位有时是非常困难的。虽然后侧入路时,复位钳可以通过后柱后缘对四方区和前柱进行间接的整复,但复位钳增加了坐骨神经的张力,易引起神经麻痹。另一方面,前方如有骨痂、韧带挛缩等因素也限制了骨折的复位。因此,复合髋臼骨折手术中,采用前后联合入路,有显露良好、复位方便的优点,同时我们更强调前后路的协同复位。
术后并发症
感染:主要是患者的抵抗力下降、手术野的软组织损伤、引流不彻底等原因造成。可根据具体情况作相应的处理。如支持疗法、延长损伤到手术时间、使用广谱抗生素等,大多数患者可以经过常规处理后康复,但个别患者可能需要切开引流、冲洗甚至将内固定物取出。
血肿:主要是术中止血不彻底、引流管拔除太早引起。因此,关闭伤口前,必须对手术野内的出血作一详尽的评估,检查血管有无活动性的出血,创面的渗血可通过压迫或使用止血胶等。
神经损伤:主要指医源性坐骨神经、股外侧皮神经、闭孔和臀上神经损伤,后两者相对少见。坐骨神经损伤主要是后方入路时下肢没有保持在屈髋、屈膝位,加之切口暴露时的过度牵拉,使得坐骨神经张力增高,造成一过性的神经麻痹,这在肥胖患者中出现的可能性更大些,大多会在术后3个月内恢复。
在前方入路时,由于股外侧神经变异较大,正常情况下大都从髂前上棘的内侧约1cm处穿出腹股沟韧带,在外侧“窗口”内操作时,该神经可以被拉伸变细、甚至断裂,造成大腿前外侧的感觉麻木或消失,但对患者的功能方面没太大的影响。
至于臀上和闭孔神经损伤,主要是术中显露时对解剖不熟悉、使用复位器械不当所致,可分别影响臀中肌和内收肌群的肌力。需要注意的是,臀上神经有时会卡在累及坐骨大切迹的骨折端中,复位时可小心将其推开。
淋巴水肿:主要发生在髂腹股沟入路。术中显露中间与内侧“窗口”时,过度剥离髂血管束周围的组织,而血管束周围有丰富的淋巴管,Letournel在开发该入路时,早期发生淋巴水肿率很高,当他避免了血管束周围的剥离后,该并发症的发生率大幅减少。因此,我们在选择前方入路时,应尽可能地保留血管周围的软组织,仅从腹外斜肌腱膜下层分离,不仅可减少淋巴水肿的发生率,而且也减少了手术分离血管时间,降低血管损伤的概率。
深静脉栓塞:与前方入路时的过度牵拉血管束和(或)术后的下肢不活动有关。鼓励患者术后早期的肌肉舒缩活动和有限的下肢各关节的伸屈活动,预防性使用小分子肝素,可防止和减少该并发症的发生率。
异位骨化:除了前方入路外,异位骨化的发生不可避免,仅仅是报道的发生率差异而已。而延长的髂腹股沟入路中,发生率从40%~100%不等,特别是Ⅲ度以上的异位骨化。
异位骨化的病因不甚明了,通常认为,相对于其他的严重多系统损伤而言,脑外伤和发生异位骨化的几率明显成正相关。Perkins和Skirving发现脑外伤患者的愈伤组织较正常人明显增大,平均骨折愈合时间较无脑外伤患者缩短4周,可见有更多的骨痂形成;在小鼠成骨细胞培养模型中,相比正常患者的血清,加入脑外伤患者的血清发现有明显的促细胞增殖加速现象(P<0. 05)。尽管脑外伤被广泛认为有增加异位骨化发生的危险,但Moore等证实有无脑外伤和异位骨化的发生率无明显的相关性。
Letournel等发现一个有意思的现象,尽管髋臼骨折内固定术后异位骨化出现率较高,实际出现临床症状的只占这些患者的1/3,其严重程度与髋关节的功能并无平行关系。即,有些看似有Ⅲ度以上的异位骨化,但患者功能影响并不大,主要是看异位骨化发生的部位以及对髋臼及周围的影响而定。我们认为有多个因素影响髋臼骨折术后关节功能的康复,包括下肢有其他的严重的骨折、伤口感染、创伤后关节炎以及患肢缺乏锻炼导致患髋关节囊挛缩均影响髋臼骨折内固定术后患者关节功能的康复。
而防治异位骨化方面,除了小剂量的放疗(800拉德/次)有明确的效果外,吲哚美辛等药物的有效性值得怀疑,基本上国内外的文献报道有效与无效的比率相差无几。我们的经验是在关闭伤口前,必须用大量的生理盐水反复冲洗,尽可能地清除残留的骨屑,清除已经失去活性的臀小肌,是减少异位骨化发生的有效因素。
创伤性关节炎:髋臼骨折后关节面会有不同程度的损伤,除了髋臼顶部外的软骨面剥脱,绝大部分与手术复位不佳有关,关节面的不平整是创伤性关节炎的主要原因。因此,手术复位是关键,Matta、Letournel等诸多的学者的文献报道中也提到了他们早期的复位结果明显低于后期。换言之,没有经验的医生术后的创伤性关节炎的发生率明显高于有经验的医生。
股骨头坏死:文献报道有20%左右的发生率,原因不明。可能与股骨头的骨折、关节面的破坏、严重的脱位有关。目前还没有预防的方法,只能在损伤早期将有后脱位的股骨头复位,术中不要过多地破坏关节囊。
术后处理和评估
一般处理:手术后常规护理,麻醉清醒后,就可行下肢的肌肉舒缩活动。原则上手术后不需要任何的牵引。
预防感染:常规使用广谱抗生素5~7天,引流量小于20ml/d时可去除。通常在3~5天。
功能操练:如果选用前方的入路,在没有其他外伤因素的影响下,术后即可半卧位,利用腹内容物的压力减少因手术分离的髂腰肌与髂骨翼间的死腔,减少血肿和继发性感染的发生率。
随访:手术后2周内行骨盆X线片和Judet位检查,在6周、12周、6个月、12个月重复,以后每年复查1次即可,通常需要5年以上。术后12周内需评估复位结果和X线结果,12周后评估X线结果和临床结果。复位结果按Matta标准,即移位小于1mm为解剖复位,1~3mm不满意,大于3mm差。X线结果:优异者,正常的髋关节;良好,轻微变化,小骨赘,关节间隙小于1mm,有少许硬化骨;一般,关节内改变,中度骨赘形成,关节狭窄小于50%,中度硬化;差,髋关节进一步改变,大块骨赘,关节狭窄大于50%,股骨头、髋臼塌陷或磨损。临床结果按Matta改良的d'Aubuigne和Postal评分,疼痛、运动和活动范围17项18分的标准,疼痛占6分,无6分,轻微或间隙性疼痛5分,行走后疼痛能缓解4分,中度严重但能行走3,疼痛严重并不能行走2分;行走占6分,正常6分,不用拐杖有轻微跛行5分,长距离行走需用拐4分,行走受限,需支撑物帮助3分,严重受限2分,不能行走1分;活动范围占6分,分别将患肢和健侧肢的髋关节的活动度包括屈曲、伸直、内收、外旋、外展和内收的总和,(患侧/健侧)×100%,其结果在95%~100%为6分,80%~94%为5分,70%~79%为4分,60%~69%为3分,50%~59%为2分,小于50%为1分;三项结果的分值之和作为最后结果的判定,18分为优异,15~17分为良好,13~14分为一般,小于13分为差。
行走:取决于骨折的复杂与否及固定后的稳定性。通常4周后即可不负重的下地行走,对髋臼顶部粉碎骨折,即使复位非常满意,也不主张早期的行走,至少术后3个月方能考虑逐步负重,主要是因为早期的负重,可能造成髋臼顶部的骨折在未愈合时产生塌陷,继而关节面的不平整导致早期的创伤性关节炎的发生。另外,在有后壁骨折的病例中,一般在术后6周内也不主张屈髋超过90°,以免过度地增加后壁的压力,特别是后壁有多块碎片时,固定后骨片间存在一定的不稳定性,过度的压力可能使得骨片移位、股骨头的再脱位,此时,再脱位往往不能早期发现,后壁骨片的再压缩,为后期的翻修术增加了极大的困难。
我们的这例手术患者,采用了前后联合入路,手术耗时约4小时,输血800ml和250ml回吸收的红细胞。术后伤口Ⅰ期愈合,图20是术后2年的骨盆X线片、髂翼和闭孔斜位X线片,图21是术后切口,关节达到了解剖复位,关节功能评分18分,图22是大体功能照片。
图20A 术后2年骨盆X线片,髋关节面平滑,股骨头密度正常,髋臼外上缘有Ⅰ度的异位骨化
图20B 闭孔斜位X线片
图20C 髂翼斜位X线片
图21 术后手术切口
图22 术后2年的大体功能照片



