患者,女性,41岁,以“摔伤致右肘部肿胀疼痛,活动受限3小时”为主诉入院。
【病情简介】
患者3小时前因摔伤后右上肢撑地出现右肘部疼痛肿胀,活动受限,入上海市第六人民医院急诊就诊。患者无右上肢麻木,无身体其他处疼痛,无头痛、恶心、呕吐、昏迷。拍X线片示:右肱骨髁间骨折伴内侧髁移位。为进一步诊疗,以“右肱骨髁间闭合性骨折”收入院。患者自发病以来,精神一般,饮食及睡眠欠佳,大小便正常。
【既往史】
既往体健。
【体格检查】
T:37.3℃,P:82次/分,R:21次/分,BP:130/85mmHg。右肘关节肿胀、畸形,压痛,伸直、屈曲和旋转受限。无明显肘后三角关系紊乱。可扪及骨折活动及骨擦感。无开放性伤口。右手感觉、运动正常,患肢桡动脉搏动正常,末梢皮温、充盈正常。身体其他各处无明显压痛及活动受限。
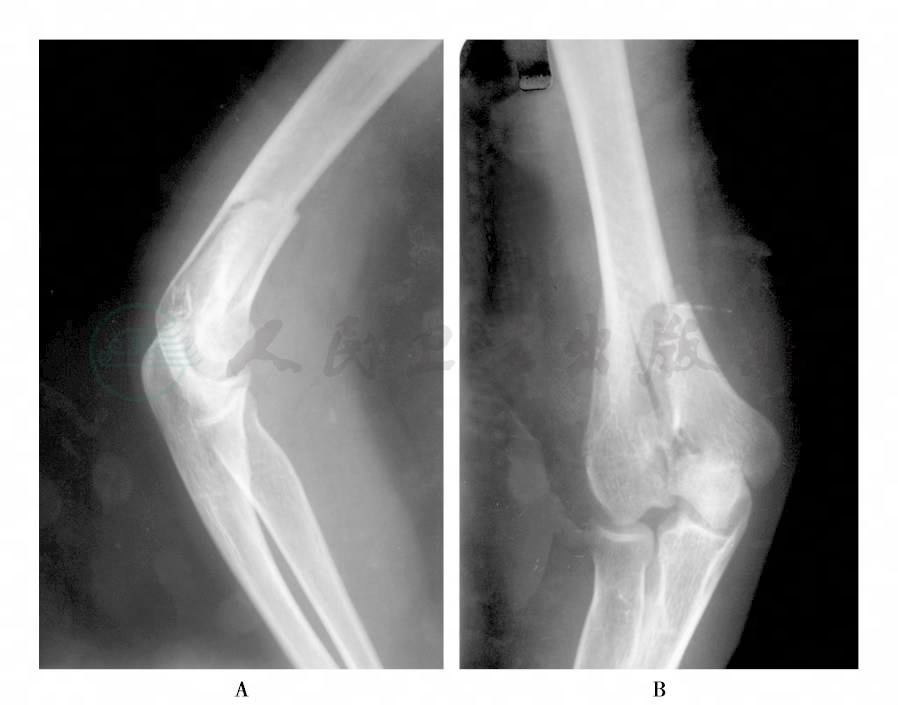
【辅助检查】
右肘关节正、侧位X线片:右肱骨髁间骨折伴内侧髁移位(图1)。心电图未见明显异常。
图1 右肱骨髁间骨折伴内侧髁移位X线片
A.侧位;B.正位
【实验室检查】
血常规、尿常规、肝肾功能、电解质未见明显异常。
肱骨髁间骨折是最难治疗的肱骨远端骨折,好发于青壮年。这种骨折,常是粉碎性,闭合复位困难。
保守治疗
对于无移位、稳定的肱骨髁间骨折可用夹板制动处理骨折,一旦骨折出现充分的愈合就可逐渐增加活动。如果有移位,宜行切开复位内固定术。
对于严重粉碎性骨折,通常采用非手术治疗,如果是年老患者,可采用吊带悬吊和早期活动(3周);如果是年轻患者,手法复位后可在尺骨鹰嘴穿针做骨牵引。通常牵引3~4周待骨折纤维连接后,改用石膏外展架继续固定4~6周,拆除石膏即做关节活动。
骨折伴有巨大开放性创口、皮肤坏死和异物污染严重者,如再扩大显露、做内固定,易导致感染,因此,首先应治疗软组织伤口,做清创术,若感染未发生,可待后期行重建或关节成形术。
手术治疗
明显的移位、不稳定及合并血管、神经损伤均需手术治疗。手术包括接骨板螺钉内固定术和外固定支架固定术。
切开复位接骨板螺钉内固定术时需注意以下几方面的问题:手术入路、复位、固定以及可能的并发症。
手术入路的设计是手术成功的关键步骤,肱骨髁间骨折的治疗也不例外。对于肱骨远端骨折,充分的暴露是手术成功的关键。其中,经尺骨鹰嘴入路是目前治疗肱骨远端骨折最常用的入路。鉴于该入路关节面显露最充分,手术操作没有盲区,因此在临床上被骨科医生所熟知。病例一即采用该入路。改良的尺骨鹰嘴V形截骨减少了术后整复鹰嘴的困难,同时增加了尺骨鹰嘴复位后的稳定性,已经成为许多医生的首选。但是截骨入路也存在截骨部位骨不连,张力带克氏针刺激软组织引起肘关节操练困难甚至肘关节伸直受限等问题。另有医生采用肱三头肌的内外侧分别入路,该入路不用截骨,但对低位肱骨髁间骨折的暴露不充分。劈肱三头肌纤维入路也可以到达骨折部位,但必须沿肱三头肌腱直达尺骨近端,将三头肌止点及肘肌一同向外侧剥开,才能暴露肱骨远端关节面,术后仔细修复三头肌止点,另外三头肌损伤较重,术后可造成三头肌纤维化,影响伸肘,从而限制了其临床广泛应用。近来O'Driscoll提出的以肘肌为蒂逆行翻转三头肌入路,既保留了伸肘装置的完整性,完整的鹰嘴又为滑车复位提供了最好的参照关系。关节面暴露的程度仅次于截骨入路,同时不影响一期或二期进行肘关节置换,也是一个很好的手术入路,要点是术后需要仔细重建三头肌止点。病例二即采用了O'Driscoll入路,值得在临床上推广应用。
复位是骨折手术的核心部分,涉及关节面的骨折尤为如此,要求关节面骨折达到解剖复位。对于肱骨髁间骨折复位尤为重要。在复位时可根据肱骨远端骨折的具体情况具体分析,如果是简单的关节内骨折,我们的经验是先复位髁间骨折部分,使骨折转化为简单的髁上骨折。首选空心螺钉固定髁间骨折部分,但不加压,防止滑车宽度变窄,使用空心螺纹钉可以提高手术的准确性。本病例即采用这种复位技术。如遇到复杂的肱骨远端关节内骨折,关节宽度会难以确定,此时可利用内外侧柱相对较大的骨块,尝试先复位,用克氏针临时固定内外侧柱骨折,然后根据内外侧柱复位后的情况来恢复关节面及滑车的宽度。必要时要取髂骨块重建滑车宽度。肱骨小头骨折也是关节面骨折的一部分,可用小螺钉固定并作埋头处理。在骨折块很薄或粉碎无法固定时,则切除骨折块,以防止关节内游离体的形成。
在良好复位之后,骨干与干骺端坚强内固定也是肱骨远端骨折的重要步骤。其中双接骨板的位置历来存有争议。根据AO/ASIF制订的肱骨远端骨折固定标准技术,双垂直接骨板放置法在很长的时间内备受推崇。病例一即采用该法。后外侧接骨板和内侧接骨板相互垂直,形成所谓的梁状结构,提供了固定稳定性。两侧接骨板要仔细塑型以贴合骨面,后外侧接骨板可延伸至肱骨外髁后下方以提供更多螺钉把持位置。尽可能在骨折线近端由内侧接骨板螺孔向肱骨外下方置入一枚螺钉,使之与内侧接骨板、滑车间螺钉形成三角形稳定结构。但这类接骨板技术的缺陷在于无法稳定地将远端骨块固定于骨干。一旦治疗失败,即可发生髁上平面的骨不连,或出现为了避免不稳定固定失败而长时间制动引起的关节僵硬。采用此类固定方法,不同的作者均报道了大约20%~25%的病例治疗效果不满意。Mayo Clinic的O'Driscoll医生是内外侧平行接骨板放置的倡导者,为了提高肱骨远端骨折术后功能恢复效果,对粉碎性或骨质疏松型骨折能够取得持续稳定的固定,O'Driscoll在过去20年间,发展了一类以远端骨折块最大化固定及髁上水平加压固定为基础的手术技术。严格按照他的操作要领,可使两块接骨板牢固夹持中间的骨块,达到所谓“拱门”效应,重建肱骨髁间部分的稳定性。根据O'Driscoll本人的建议,要想达到这个目的,必须做到:①远端所有的螺钉都必须穿越接骨板;②远端骨块的每一枚螺钉都应该锚住被另一侧接骨板固定的对侧骨块;③使用尽可能多的螺钉;④螺钉尽可能长;⑤每枚螺钉穿越尽可能多的关节面骨折块;⑥螺钉尽可能交叉。在病例2中,我们即采用了内外侧平行接骨板固定。此外,对于骨质疏松或低位肱骨髁间骨折的患者建议使用LCP接骨板,锁定接骨板的特有的角稳定性可以增强固定的强度,这个已在相关的力学实验中得到了证实。以上是关于肱骨远端部分的固定要点,还有两条是关于肱骨干与干骺端连结固定的要点:①内外侧柱的接骨板都要对骨折间行加压固定;②接骨板的强度要足够。事实上要达到所有上述的要求不是简单的任务,使用特殊设计的接骨板可以使操作相对容易一些,不过我们对此还没有相应的临床使用经验。目前尚无文献报道垂直放置两块强度足够的接骨板可获得比平行放置更高的稳定性。在肱骨远端骨折生物力学研究中,虽然Helfet等得出结论,垂直放置接骨板可获得最佳的解剖构造,然而他们的研究未与平行放置接骨板进行对照研究,他们的生物力学测试也未作旋转或内翻测试。Schemitsh等采用类似的模型,发现外侧放置预弯的J形接骨板、内侧放置重建接骨板的平行放置法,所获得对抗伸展、外侧折弯以及旋转强度明显高于垂直放置两块重建接骨板。他们认为,在骨块间皮质无法紧密接触的情况下,如果需要获得最坚强的固定,采用平行放置外侧J形支撑接骨板及内侧重建接骨板可提供坚强的生物力学固定效果。Jacobson等通过对照研究,发现传统的AO/ASIF技术垂直放置两枚重建接骨板的稳定性不及矢状位平行放置两块接骨板。并且认为,重建接骨板的强度明显优于1 /3管型接骨板。Self等认为连接两块接骨板远端部分可极大程度提高稳定性,他们也报道了矢状位平行放置两块重建接骨板的固定强度明显高于内侧及后外侧的垂直接骨板技术。最重要的是,他们发现垂直放置接骨板容易发生外侧柱远端螺钉脱出。然后,他们对比了矢状位平行接骨板,及采用螺栓使螺钉连接双接骨板近远端部分的技术后发现,采用螺栓后连接的双接骨板固定强度更大,使其需要更高强度的负荷才可导致固定失败,为以后的临床应用提供了理论支持。根据我们应用平行双接骨板技术的经验,对于肱骨远端粉碎性骨折,我们强烈推荐该技术,对于非复杂类型的骨折,我们也建议常规使用该技术,因为其提供的稳定性可保证早期高强度的功能锻炼。当然对于骨质较好的非粉碎性骨折,也可采用其他固定方式。
其实肱骨髁间骨折的并发症也相当多,因此,肱骨髁间骨折的治疗同时也要重视并发症的防治。肱骨远端骨折常见的并发症包括尺神经麻痹、肘关节活动范围受限、固定失败导致骨不连或畸形愈合、伸肘装置损伤、尺骨鹰嘴骨不连、创伤性关节炎以及切口不愈合等皮肤软组织问题。肱骨远端骨折的治疗也要同时重视并发症的防治。关键是术中仔细操作,力争恢复解剖对位,并注意坚强内固定。手术前仔细评估软组织条件可以有效地避免术后软组织问题;常规行尺神经前置可以减少术后尺神经麻痹的发生。另外,术后常规吲哚美辛治疗,可以预防异位骨化。
外固定支架固定的选择,原则上是用于骨折端粉碎而无法行板钉固定的骨折、严重的开放性骨折。骨折端复位后相对稳定,可单纯用外固定架固定,如骨折端不稳定,用2~3枚克氏针进行内固定后,再行外固定架固定。
患肢暂以长臂石膏后托固定,收入病房。入院后行卧床、抬高患肢,局部冷敷以及止血消肿治疗。伤后第3天在臂丛麻醉下行切开复位内固定治疗。
手术取俯卧位。由于手术时间一般较长,老年、肥胖或体弱患者宜采用全麻。在手术床边放置一约25cm宽搁手台,患肢肘窝部用折叠的手术巾垫起,肘关节屈曲90°,前臂于搁手台边缘自然下垂。术者可在手术衣上另系两层中单以免外露的手术裤污染患肢前臂。
上无菌止血带,以弹力绷带驱血后将止血带压力加至33kPa左右(上肢止血带压力一般为收缩压+ 13. 3kPa)。取后正中切口,近端起自上臂中1/2,经尺骨鹰嘴时绕过鹰嘴桡侧后回到前臂中线并向远端延长至鹰嘴远端10cm。切开皮肤,在深筋膜下将皮瓣向两侧游离。先从内侧游离尺神经,近端游离至肘上7、8cm处,远端游离至尺神经肘部第一运动支,用皮条标记保护,但不牵引神经。从尺骨脊的外侧面上向前方剥离肘肌,暴露尺骨鹰嘴和外侧的肱尺关节面,由外向内经肱尺关节穿入一纱布条做对抗牵引,在鹰嘴沟中心做V形截骨,V形截骨的好处在于有利于尺骨鹰嘴复位和固定。截骨完成后用巾钳夹持截骨块并翻向近端,同时游离两边肱三头肌内外侧肌间隔,向近端翻转肱三头肌,暴露肱骨远端骨折。
先将滑车和肱骨外髁部分复位,用1枚2. 0mm克氏针临时固定,然后复位内上髁与内髁部分,用2枚2. 0mm克氏针临时固定,使髁间骨折转化为髁上骨折。接下来复位肱骨干与内外侧柱部分,复位满意后各用2枚2. 0mm克氏针临时固定。透视下确认关节内骨折复位满意后,用1枚4. 0mm空心螺纹钉固定滑车间骨折,如果是粉碎骨折则不要加压,以防滑车变窄影响肘关节稳定性和屈伸活动。如果有足够的空间,采用2枚螺钉固定可以有效地防止旋转、增加固定强度。骨干部分采用重建接骨板固定。重建接骨板在提供一定的固定强度的同时可以方便地进行折弯,以适应肱骨远端复杂的形态。选择合适长度的接骨板,仔细塑型。先将一块放置于肱骨远端内侧进行固定,后将另一块接骨板放置于肱骨远端的后外方。两块接骨板互相垂直。内侧接骨板在骨折线近端应有3~4个螺钉的固定位置。骨折位置较低时,后外侧接骨板的远端可折弯包绕肱骨小头后方,内侧接骨板的远端可折弯后置于内上髁的下方。透视确定骨折复位、固定情况及接骨板螺丝钉位置,活动肘关节,检查骨折固定稳定性。复位尺骨鹰嘴,用张力带钢丝固定尺骨鹰嘴。冲洗伤口,皮下前置尺神经。松止血带后彻底止血,放置负压引流并逐层关闭切口。伸直位石膏后托固定以减少关节腔内积血。
术后处理:术后24小时拔除引流,去除石膏。如引流量较多可保留引流管至术后48小时,同时辅以加压包扎和冰袋冷敷治疗。如有条件,术后3天应在神经阻滞麻醉下行肘关节功能操练(可使用肌间隙臂丛麻醉置管技术),鼓励患者主动活动患肢,包括肩关节以及肘关节。患者仰卧位上举患肢,以健侧手扶持患肢前臂,依赖重力同时主动屈曲肘关节。同样,练习伸肘时以健侧手扶持患肢前臂,依靠重力同时主动伸肘。如依靠理疗师或家人进行被动辅助的主动操练时,不能强力操练,以感觉受到轻微阻力为宜。如有必要,晚间在掌侧放置伸直位长臂石膏托或支具以防肘关节屈曲挛缩。4~6周后开始抗阻和进一步的被动操练。术后对于没有胃肠道溃疡史的患者常规给予为期4周吲哚美辛25mg,一天三次口服,以预防异位骨化。术后6月、12月、21月随访照片,见图4。
图4 术后随访
A、B.术后6月X线片显示肱骨髁间骨折解剖复位,骨折愈合;C、D.术后12月拆除内固定,关节间隙完好,无明显骨关节炎及异位骨化表现;E.术后21月,患肘功能良好



