难点:子宫内膜异位至乙状结肠、盆壁少见;全面了解病史,综合分析、掌握临床思考和询问的方法是医生的必备素质。
患者,女,44岁,于2008-11-17入院。
(一)主诉
腹痛、黏液血便1年半。
(二)现病史
1年半前出现下腹阵发性疼痛,以左下腹为重,解稀便2~3次/日,伴有黏液,时有暗红色血便,便前左下腹痛明显,便后腹痛稍缓解,无里急后重,无发热,无恶心、呕吐。7个月前外院肠镜不能通过降乙结肠交界处,直肠见一个0.3cm×0.3cm息肉,镜下切除的病理为腺瘤性息肉。5个月前肠镜见乙状结肠狭窄,肠镜勉强通过狭窄肠管,诊断乙状结肠增生性病变性质待定,病理黏膜组织慢性炎;临床疑诊克罗恩病,先后给以泼尼松、环磷酰胺、柳氮磺胺嘧啶等治疗,病情曾有好转。但1个月前再解血便,伴腹痛发作,为进一步诊治收住院。
(三)既往史
2年前出现左下腹痛及月经淋漓不净,妇科检查子宫肌瘤及左附件包块,行全子宫切除及左侧附件、盆腔粘连分离术。术中见子宫略大,宫底前壁突起一直径3cm包块,质硬;右侧附件外观正常,左侧卵巢囊性增大,与左侧输卵管粘连于子宫后方骶韧带处,致密,囊肿内含巧克力样物。左侧附件切除标本病理:卵巢子宫内膜异位囊肿;子宫切除标本:子宫肌壁间多发性平滑肌瘤、伴灶性区透明变性,增生期子宫内膜。
否认肝炎、结核病史,否认糖尿病、高血压、冠心病等慢性病史。
(四)查体
T:36.1℃,P:102次/分,R:18次/分,BP:118/83mmHg。神清,皮肤巩膜无黄染,全身浅表淋巴结未及肿大,心、肺正常。腹平坦,下腹见一长约12cm手术瘢痕,腹软,无包块,左下腹轻压痛,无反跳痛,肝肾区无叩击痛,移动性浊音阴性,肠鸣音3~4次/分,双下肢无水肿。
(五)辅助检查
血常规:WBC 9.8×109/L,N70.5%,Hb123g/L,PLT 167×109/L。尿常规、粪常规、生化全项、凝血三项:正常。肿瘤标记物:CA125 372U/ml,CA199 105.80U/ml,AFP、CEA正常。ESR:正常;CRP:正常。PPD试验阴性,血抗结核抗体阴性。
腹部B超:未见异常。胸片:正常。上中消化道碘水造影:正常。
肠镜:插镜至回肠末段,肠道准备不充分,有粪便潴留,见降乙状结肠交界处黏膜充血水肿,呈局限性增生样改变(图1),管腔狭窄,内镜勉强通过,未见溃疡、坏死及肿块。病理示降乙交界黏膜组织慢性炎。
1.入院诊断:腹痛、便血原因待查:克罗恩病?
2.入院第2天上级医生查房分析:门诊诊断克罗恩病并给以治疗,治疗5个月症状不缓解。对于克罗恩病的诊断有怀疑,存在不支持克罗恩病的特点:①腹痛部位主要在左下腹,伴暗红色及鲜红色血便,而克罗恩病病变部位以小肠和右半结肠为主,腹痛部位多位于右下腹及脐周,腹泻以黄色糊状便多见;②发病18个月来患者一般状况较好,未见消瘦、体重下降,病程中无发热;③实验室检查血沉、CRP及血小板计数均正常;④结肠镜检查未见克罗恩病典型的铺路石样改变及纵行溃疡改变;⑤患者曾接受泼尼松、环磷酰胺、柳氮磺胺嘧啶等治疗,虽有好转,但血便及腹痛反复发作无改善。上级医生详细的询问患者的既往病史,患者告之2年前行左侧附件、子宫切除术,诊断卵巢子宫内膜异位囊肿。为明确诊断及制定下一步治疗方案,建议全科讨论。
3.全科讨论意见
(1)甲医生:患者病史18个月,反复血便,腹痛与解大便有明显关系,腹压痛部位与肠镜异常部位吻合,克罗恩病要考虑。但需要与肠结核鉴别,肠结核可出现肠黏膜的环行溃疡,造成便血和肠狭窄。但患者无发热、盗汗,无结核病史,目前无结核中毒症状,PPD试验阴性,血抗结核抗体阴性,胸片正常,结肠镜检查未见明显溃疡及增生性改变,病理未见干酪样肉芽肿,可排除肠结核。
(2)乙医生:患者44岁女性,主诉左下腹痛,反复解血便,钡餐和多次结肠镜检查提示乙状结肠远端狭窄,病理示黏膜慢性炎。该患者病来无消瘦、贫血等克罗恩病临床表现,无克罗恩病的特有的纵行溃疡和铺路石改变,肠镜活检病理不支持克罗恩病诊断,加之血沉、CRP及血小板计数均正常,因此,克罗恩病诊断不能成立。
(3)丙医生:患者左下腹痛、便血入院,认为克罗恩病的可能性不大,同意上述医生的分析,依据不再重复,肠结核可能性更小,患者无结核毒血症状,无肺部症状,内镜下表现及病理均不支持肠结核。分析乙状结肠狭窄的原因,联想到2年前的妇科手术史,术后病理诊断子宫肌瘤及左侧附件的子宫内膜异位症。在妇科术后半年出现左下腹疼痛、血便、乙状结肠狭窄,因此考虑乙状结肠狭窄、血便与子宫内膜异位症有关,肠狭窄也可能由于肠外病变压迫造成肠管狭窄。由于患者表现肠狭窄有外科手术指征,建议外科会诊。
4.由于除外了克罗恩病,考虑肠狭窄是手术适应证,外科同意手术探查。
5.入院后8天行手术探查 见左盆壁10cm×10cm包块,质硬,边界欠清,基底固定,左侧盆壁肿块与盆底腹膜反折处15cm处的乙状结肠粘连融合;快速病理手术标本:乙状结肠见异位的子宫内膜组织;直肠系膜后和左盆壁组织:纤维平滑肌内见异位的子宫内膜组织,灶性区域腺上皮似有轻度非典型增生,考虑子宫内膜盆壁异位症。
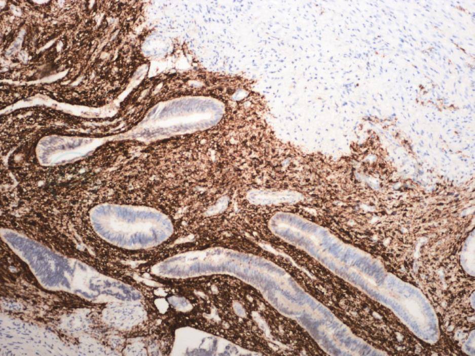
妇科建议切除盆壁肿块及右侧卵巢,行右侧卵巢切除+乙状结肠部分切除+左盆壁肿块切除术。术后病理:乙状结肠狭窄肠段:黏膜下肌壁间见多量异型的子宫内膜组织伴血管高度扩张充血(图2);左盆壁组织:异位的子宫内膜组织伴多量出血;右侧卵巢:卵巢滤泡囊肿,同侧输卵管组织示慢性炎。光镜所见免疫组化:CD10(+)(图3)、P(53)+/-、CK7(+)、CK19(+)、VILLIN(-)、CEA(+)术后病理诊断:子宫内膜异位症(异位至乙状结肠、盆壁)。

图1 肠镜示降乙交界处黏膜充血水肿,呈局限性增生样改变,管腔狭窄

图2 乙状结肠黏膜下层和肌层见异位的子宫内膜组织(HE,100倍)

图3 子宫内膜间质细胞呈CD10阳性表达(100倍)
6.术后患者未再发生腹痛、便血症状。