难点:脾静脉阻塞综合征的诊断,脾静脉阻塞综合征可能继发于脾外伤、脾部分切除术后。
患者,男,19岁,于2007-10-17入院。
(一)主诉
上腹部不适1个月,10天前呕血2次。
(二)现病史
患者1个月前出现上腹部隐痛不适,伴恶心,无呕吐。10天前进食后突感恶心、呕吐,吐出胃内容物,夹有暗红色血块,约50g,无头晕,当地胃镜诊断胃底静脉瘤,伴出血,HBsAg阴性。为明确诊断收住消化科。
(三)既往史
4年前(15岁时)因外伤导致脾破裂,在当地医院行脾部分切除手术,1年前因大量呕血当地医院手术探查诊断“胃底动脉畸形”出血,行”胃底动脉结扎术”。否认肝炎、结核病史,否认血吸虫病史。
(四)查体
T:38.5℃,P:82次/分,R:16次/分,BP:110/75mmHg。神清,精神可,皮肤巩膜无黄染,未见瘀点瘀斑,全身浅表淋巴结未及肿大。心、肺未见阳性体征。腹平软,中上腹见一约10cm纵形手术瘢痕,未见胃肠型及蠕动波,无腹壁静脉曲张,剑突下压痛,无反跳痛,肝脾肋下未及,移动性浊音阴性,肠鸣音正常,双下肢无水肿。
(五)辅助检查
血常规:WBC 5.47×109/L,N 53%,Hb 110g/L,HCT 36%,MCV 72.2fl,MCH 21.8pg,MCHC 302g/L,PLT 115×109/L。尿常规、粪常规、生化全项、凝血三项:正常。肝炎全项:HBsAb(+),余阴性。
胸片:正常。胃镜示:胃底可见多条曲张静脉,胃腔见暗红色及新鲜血液,食管未见静脉曲张。超声内镜:胃底见多条串珠状液性暗区,边界清,向腔内稍突起,与周围血管相通。印象:胃底静脉曲张。
腹部CT平扫+增强:肝脏及胰腺正常,脾脏体积明显肿大,胃区见高密度金属伪影,脾门附近静脉曲张呈簇状改变(图1)。
1.入院诊断
上消化道出血原因待查。
2.上级医生查房
该患者为年轻男性,因呕血入院,胃镜、超声内镜诊断胃底静脉曲张,并有活动出血,未见食管静脉曲张。按照静脉曲张的分类为孤立性胃底静脉曲张。影像学检查脾大,考虑存在门脉高压症;仔细阅读CT片可见脾静脉变细,考虑是脾静脉阻塞所致的左侧门脉高压。但对于左侧门脉高压的原因尚未明确,是否与4年前外伤导致脾破裂,行脾部分切除术有关。另外1年前外院手术诊断为“胃底动脉畸形出血”,行胃底动脉结扎术,对于这个诊断值得怀疑,不一定正确。有关患者的诊断和治疗方法选择需要商讨,建议科内讨论。
3.于入院1周后科内讨论,内容如下
(1)甲医生
1)该患者存在门脉高压,门静脉系统血流受阻和血流量增加,导致门静脉及其属支的静脉压升高,称为门静脉高压症。临床上以腹水、门静脉侧支循环开放和脾大为主要表现。与一般静脉不同,门静脉系统缺乏静脉瓣,来自腹腔的血流依赖门静脉两端血管网的压力梯度,沿着门静脉系统顺流入肝,注入肝窦,最终回流入心脏。因此内脏小静脉与心脏之间任何部位血流受阻,均可导致阻塞部位的离心侧血管内压力升高。2)门静脉高压症一般分为肝前性、肝内性及肝后性。①肝内性:患者无病毒性肝炎、血吸虫肝病及饮酒病史,且肝功能正常,影像学检查示肝脏形态正常,故不考虑肝内型门脉高压;②肝后性:例如布-加综合征、缩窄性心包炎等,患者无下肢水肿,查体未见心脏疾病阳性体征,CT增强未见肝脏淤血改变,故不支持;③肝前性:患者以此型可能性大,从CT片看到脾静脉变细,有明确的脾外伤史、脾部分切除史,肝功能正常,无食管静脉曲张,因此考虑为脾静脉阻塞导致区域性回流障碍。目前可应用PTVE检查明确病因和治疗,也可行外科手术切脾治疗。
(2)乙医生
1)门静脉高压是临床常见的疾病,产生的最主要原因是慢性肝病,尤其肝硬化占门脉高压病因的80%以上,但该患者无肝病病史及临床表现,且相关检查也不支持。2)患者1年前因大量呕血无法行胃镜检查,当地医院急诊剖腹探查,诊断为“胃底动脉畸形”出血,行“胃底动脉结扎术”,对于这个诊断值得怀疑,长期门静脉高压可导致门静脉管壁增厚,尤以肌层和外膜增厚为著,使门静脉呈现动脉化的改变;动物试验证实,部分结扎门静脉,增加了门静脉穿壁压,7天后即可见管壁和细胞的横断面积增加,平滑肌数目及其收缩力增加2倍,因此考虑患者是胃底静脉曲张,而非胃底动脉畸形出血。3)对于该患者治疗可行门静脉造影,造影方式分为两种,为直接和间接造影,目前首选经皮、经肝门静脉造影(PTP),施行PTP的目的:①了解门静脉主干及其属支的形态变化,尤其胃冠状静脉曲张程度及范围;②食管、胃底静脉曲张出血时,可行栓塞止血治疗,据报道,治疗胃底静脉曲张破裂出血成功率超过胃镜下硬化治疗。4)该患者考虑为脾静脉栓塞导致左侧门脉高压,可行PTP造影术,如发现脾静脉严重狭窄或闭塞,即证实为左侧门静脉高压所导致的胃底静脉曲张破裂出血,脾切除术是首选治疗方式。
(3)丙医生
①患者主要表现和需要解决的问题是胃底静脉曲张和脾大的原因和治疗,通过讨论基本达成共识是脾静脉栓塞导致左侧门脉高压或称区域性门静脉高压,形成胃底静脉曲张及脾大;②治疗有三种方法可选择。PTVE术,行局部静脉栓塞治疗,但如果脾静脉狭窄较重,导管无法通过,以及脾静脉狭窄离脾门较近,这都影响手术成功。另外思考问题是静脉栓塞后或脾静脉支架术后,其远期疗效不清楚。其次方法为胃镜下胃底静脉注射组织胶或硬化剂,但超声胃镜见胃底多条串珠状、向腔内突出的曲张静脉,并与周围血管相通,因此硬化治疗风险很大,且不能从根本上解决问题,暂不考虑该方法。最后为外科手术治疗,根据患者病情,考虑外科手术是较彻底的治疗方案,请普外科会诊,共同商量治疗对策。
4.普外科会诊
认为患者存在外科手术指征,但术前需要行DSA检查。
DSA结果示:门静脉回流正常,腹腔干造影见脾动脉明显增粗,分支增多,未见脾静脉回流。印象:脾静脉阻塞。综合以上考虑诊断左侧门脉高压症,脾静脉阻塞是手术治疗的适应证。
5.于2007-11-12行手术
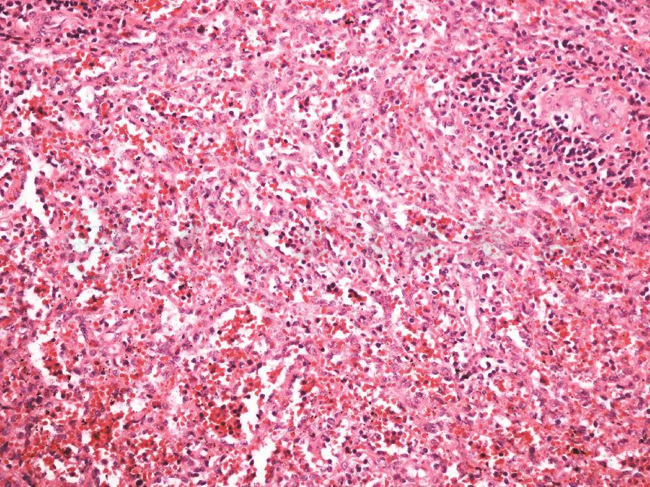
术中见少量腹水,淡黄色,约50ml,肝脏大小正常,无结节样硬化,质地软,未见肿块,脾脏肿大,约15cm×15cm×10cm,脾脏质地中等,与胃及肝脏粘连,脾门被其包裹,解除粘连,见脾动脉直径0.4cm,脾静脉直径0.6cm,奇静脉未开放,腹壁侧支静脉未见曲张,脾脏无梗死灶。胃底静脉明显扩张,余脏器未见异常,遂行残脾切除术+胃底血管离断术+腹腔粘连松解术,分别离断脾周围韧带,切开脾肾韧带及脾膈韧带,分离结肠脾曲,予以分离脾动脉,顺利切除脾脏,门静脉、奇静脉的侧支血管保留,脐周静脉保留,腹壁侧支静脉保留,离断穿通支(胃支10支,直径0.3~0.5cm;胃后静脉3支,直径0.2cm;胃短静脉3支,直径0.2cm)。术后病理:脾脏切除标本:脾脏瘀血肿大及部分区域出血(图2)。术后患者未再呕血。

图1 CT示脾门处静脉曲张

图2 脾窦扩张瘀血,红髓增大,右下见白髓萎缩(HE染色,200倍)