难点:提高以上消化道出血(继发于脾静脉受压)为首发表现的恶性无功能性胰岛细胞瘤认识。
患者,男,28岁,于2005-12-15入院。
(一)主诉
呕血、黑便半年余。
(二)现病史
半年前患者饮酒后呕吐咖啡色液体,约50ml,无黑便、头昏、心悸等症状,未予重视,4个月前又有类似症状发生。1个月前饮酒后再次呕吐咖啡色液体约100~200ml,伴柏油样黑便,约50~100g/d,外院胃镜见胃底红色血管显露。9天前患者再次出现呕血黑便,胃镜、超声胃镜诊断孤立性胃底静脉曲张,为进一步诊治收住消化科。
(三)既往史
否认肝炎、结核、糖尿病史,否认血吸虫疫水接触史,否认长期饮酒史。
(四)查体
T:36.3℃,P:73次/分,R:20次/分,BP:120/75mmHg。神清,营养中等,贫血貌,皮肤巩膜无黄染,全身浅表淋巴结未及。心、肺未见异常,腹平软,腹壁静脉未见曲张,肝肋下未触及,脾肋下5cm,Murphy征阴性,肝肾区无叩击痛,移动性浊音阴性,肠鸣音4次/分。
(五)辅助检查
血常规:WBC 3.5×109/L,N 64%,Hb 69g/L,HCT 21.6%,MCV 74.1fl,MCH 23.7pg, MCHC 320g/L,PLT 83×109/L。尿常规、粪常规、生化全项、凝血三项、肝炎全项:未见异常。血清肿瘤标记物:AFP、CEA、CA199、CA125正常。B超:门静脉血流速度增快,下腔静脉正常。肝脏回声欠均匀,胆囊、胰腺未见异常,脾脏肿大,脾门处见一个等回声光团,约5.2cm×4.7cm,有包膜,境界清,中央见气体反射周边可见血管绕行,诊断左上腹实质性包块,可能来源于肠道。
1.呕血、黑便原因待查,胃底静脉曲张破裂出血?
2.入院后超声胃镜
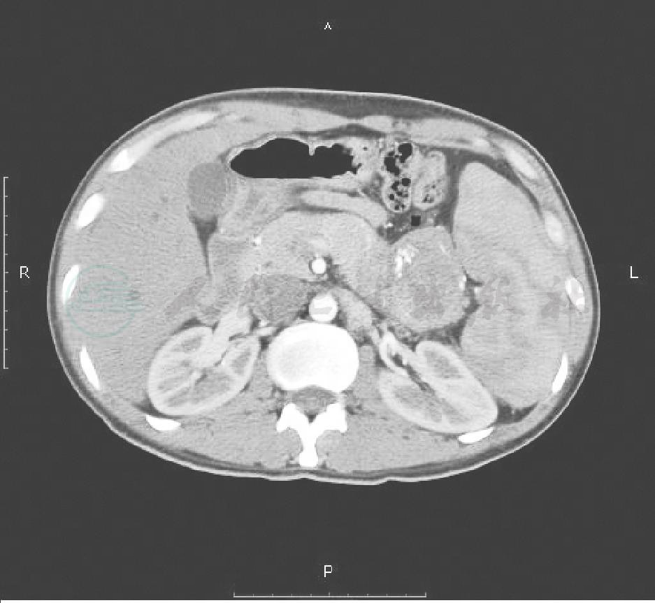
胃镜所见:食管未见静脉曲张,胃底、体见串珠状隆起,表面灰蓝色,红色征(+);超声所见:胃底见大量扩张的静脉管腔,最大达8.5mm,位于黏膜下层(图1),提示孤立性胃底静脉曲张。腹部CT平扫+增强肝内胆管未见明显扩张,胆囊正常,胰头、体形态正常,胰尾可见一类圆形低密度占位(图2),增强后轻度强化(图3),脾脏增大,胃底静脉曲张明显。印象:胰尾占位,脾大,胃底静脉曲张。

图1 EUS示大量扩张的静脉管腔,位于黏膜下层

图2 CT平扫见胰尾部低密度包块

图3 CT增强后胰尾部包块轻度强化

图4 淋巴结见癌组织浸润(HE,40倍)
3.上级医生查房
该患者因反复上消化道出血入院,胃镜诊断胃底静脉曲张(孤立性),考虑反复出血为胃底静脉曲张破裂出血所致。分析胃底静脉曲张原因如下:①肝硬化所致门脉高压症?但患者无病毒性肝炎史,无酒精性肝病及血吸虫肝病等病史,且肝功能正常,影像学检查未见肝硬化征象,故肝硬化依据不足;②左侧门脉高压症:该患者无食管静脉曲张,只有胃底静脉曲张,因此考虑可能为左侧门脉高压症,常见于胰腺疾病的并发症,B超见脾门处一个5.0cm直径的有包膜、境界清的等回声光团。腹部CT示:胰尾占位。故要考虑胰腺肿瘤,由于胰腺肿瘤压迫,造成门脉高压、胃底静脉曲张破裂出血、脾大及脾功能亢进的临床症状;内科治疗效果不佳,有外科手术指征,手术可明确诊断,另一方面达到治疗目的,转入外科。
4.入院后11天外科手术
术中发现肝脏质地软,无结节,脾脏明显肿大,鲜红色,胃底及近端胃体血管怒张,胰体尾部肿块8.0cm×6.0cm,质地较硬,边界欠清,可活动,横结肠及胃后壁与肿块紧密粘连,胃左动脉周围有肿大淋巴结。切取少许肿块组织及胃左动脉周围淋巴结,快速病理示纤维组织和发现癌细胞,遂行胰体尾+脾切除及贲门周围血管离断术。
5.术后病理
胰腺肿块、胰体尾部及全脾切除术:胰腺恶性肿瘤,结合免疫组化考虑恶性胰岛细胞癌,肿块大小5cm×5cm×4.5cm,脉管内见癌栓,癌组织累及脾门脂肪组织,查见胰周淋巴结1/3枚见癌转移(图4)。免疫组化:Syn(+++),CgA(+),a-AT(-),a-ACT(-),Insulin(-),CK(+++),CD56(++),CD34(血管+),特殊染色:PAS抗淀粉酶(-)。
6.术后
监测手指血糖4.6~7.6mmol/L,术后第3天:术前空腹血糖4.59mmol/L,术后空腹血糖7.14mmol/L;术后1周空腹血糖4.86mmol/L。血常规示WBC 18.1×109/L,N 89%,Hb101g/L,PLT 713×109/L,术后血小板明显升高考虑与脾切除相关,为预防血栓形成给予双嘧达莫、丹参药物。