难点:肝小静脉闭塞病导致肝内、窦后性门脉高压,土三七过量服用是发病原因。
患者,女,38岁,于2009-04-02入院。
(一)主诉
腹胀40余天。
(二)现病史
40余天前无原因出现腹胀,进行性加重,伴双下肢水肿,无发热、盗汗,无恶心、呕吐,无胸闷、气喘,无腹痛、腹泻,无呕血、黑便,尿量偏少,每日700ml左右;外院B超示腹腔积液,CT提示脂肪肝,腹腔、盆腔内大量积液,右侧胸腔中等量积液,左侧胸腔少量积液;妇科B超示子宫肌瘤;胃镜、肠镜、小肠造影无异常,肿瘤标记物、甲状腺功能、免疫五项、自身抗体均正常;腹水常规为漏出液,ADA、结核三项正常,未找见肿瘤细胞;肝功能提示转氨酶升高,外院诊断肝硬化失代偿期;予利尿、补充白蛋白,腹胀稍减轻后出院。半个月来因腹胀再次加重收住我消化科。
(三)既往史
4个月前因车祸导致左下肢胫、腓骨粉碎性骨折,在当地医院行钢板内固定术和植皮术,术中无输血。否认肝炎、结核病史,无食物及药物过敏史。
(四)查体
T:36.6℃,P:80次/分,R:19次/分,BP:112/92mmHg,神清,精神可,皮肤、巩膜无黄染,未见肝掌及蜘蛛痣,浅表淋巴结未触及,右下肺呼吸音低,叩诊浊音,未闻及干湿性啰音,心率80次/分,律齐,无杂音,腹部明显膨隆,无腹壁静脉曲张,腹无压痛、反跳痛,肝脾触诊不满意;双下肢轻度可凹性水肿,左下肢可见一约10cm长的陈旧性手术瘢痕。
(五)辅助检查
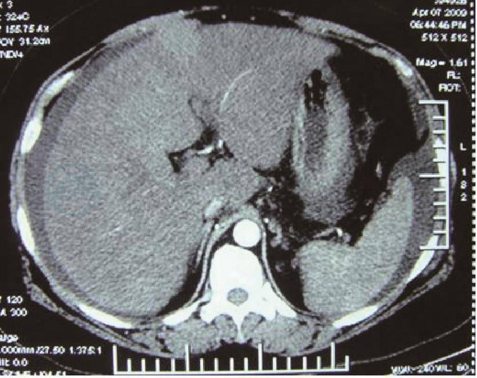
血常规:WBC 12.7×109/L,N 62.2%,HB 138g/L,血小板正常。凝血四项:PT 17.8s,APTT 50.9s,TT 26.8s,INR 1.53。尿常规:白细胞2+,隐血3+。粪常规:正常。生化全项:ALT 56.1U/L,AST 66.9U/L,GGT 62.3U/L,TB 29.2mmol/L,ALB 31.9g/L,Na 132.3mmol/L,肾功能正常,血糖正常。肝纤维化:HA、PCⅢ、IVC升高。肝炎病毒全套(-)。血淀粉酶49U/L,ADA 13.6U/L。腹水常规:黄色,总蛋白28.2g/L,ALB 16.5g/L,细胞数0.2×109/L,未分类;腹水肿瘤标记物:AFP、CEA、CA199正常,CA125>500U/ml;腹水未找到癌细胞、ADA阴性,腹水细菌培养阴性。心脏彩超:少量心包积液。腹部彩超:肝大,肝小静脉管径偏细,肝静脉未见异常。腹部CT平扫+增强+三维重建(CTA):肝脏实质密度不均匀,肝左内外叶交界区三角形异常强化影,动脉期肝实质不均匀,呈斑片状强化(图1),静脉期肝小静脉分支不显影(图2),门静脉管径正常,无异常侧支静脉建立,并且门静脉显影时间明显延长,大量腹水,右侧胸腔积液伴右下肺膨胀不全。

图1 CT示 肝左内外叶交界区三角形异常强化影,动脉期肝实质不均匀,呈斑片状强化

图2 CT示 静脉期肝小静脉分支不显影
1.入院诊断
腹水原因待查。
2.入院后上级医生查房分析
患者在外院已经接受较全面的检查,诊断肝硬化代偿期。来南京大学医学院附属鼓楼医院后检查腹水为漏出液,腹水蛋白梯度(SAAG)>11提示门脉高压性腹水可能。漏出性腹水主要为肝炎后肝硬化所致,但是病史和各项检查不支持肝炎后肝硬化的诊断。也未见肝静脉、下腔静脉闭塞,不能考虑布-加综合征。
3.病史
上级医生在追问4个月前车祸后的服药史时,其丈夫讲述在出院回家后(约2个月前),自服用邻居家种植的土三七,量较多,放入高压锅煎煮后分装,每天1杯,服用10天。后当地中医说其用量为正常量数百倍而停止服用;因此考虑诊断为土三七导致的肝损伤。
4.科内疑难病例讨论意见
(1)甲医生
患者为中年女性,在发病前2月余有服用土三七病史,服用量为“正常剂量百倍”,综合患者病史特点,以及入院时表现为大量腹水、肝功能损害,APTT时间延长,应高度怀疑为土三七引起肝静脉血管内皮损伤、肝功能损害,致肝静脉闭塞症病(VOD)。该病的临床表现为肝大、黄疸、腹水。患者透明质酸和PCⅢ有轻度升高,CA125升高,也符合VOD的诊断标准。
国外通过肝静脉压力梯度(HVPG)来诊断VOD和判断预后。肝穿刺活检可确诊,但目前肝前腹水较多,肝合成及凝血功能均差、穿刺风险较大。在治疗方面国外报道,低分子肝素和前列环素对急性期VOD有效果,不知此患者能否适用?
(2)乙医生
首先同意上述的意见,根据患者服用土三七前后的肝功能改变(表1),表明药物引起的急性肝损害可能大,2008年12月患者车祸在当地住院时肝功能是正常的,3月份出现腹水在外院住院时转氨酶值升高。
表1 肝功能动态变化

另外有2个疑问:①患者胸腔及心包积液产生的原因是什么?②患者ALB下降,显示肝脏合成功能下降,提示慢性肝病,是否有其他肝病基础,土三七仅为诱因?
(3)丙医生
从影像学上应支持VOD诊断,直接证据是CT动脉期低密度病变,实质期不均匀强化,静脉期肝静脉不显影。说明肝脏大面积血循环障碍,病情较重。间接证据是腹水、无侧支静脉形成(目前未见)。经颈静脉肝活检在国外做的很多,国内开展少,我们还没有经验。肝静脉压力梯度(HVPG)是观测肝功能的很好指标,HVPG>10mmHg可确诊VOD,当HVPG>20mmHg,说明患者预后差,但其监测需要特殊仪器,本院尚未配备。
(4)丁医生
分析患者肝脏门脉系统病变的影像学检查,其肝静脉变细主要是因为门静脉血供较少,是由于肝内小静脉栓子堵塞引起。目前各方面线索都指向与患者服用土三七有关。确诊需要行肝穿刺,取活检明确诊断,典型VOD的病理结果应为肝窦扩张+肝细胞纤维化;但考虑到患者腹水较严重,且肝窦扩张,肝穿出血可能性大,不建议做经皮肝穿刺,可考虑腹腔镜肝活检。
另外回答上述提问:①胸腔、心包积液为继发性改变,且心包积液量少,现补充白蛋白、利尿后已减少;②患者合并原始肝病的可能性不大,过去没有病史,骨折住院时、在服用土三七前生化指标示正常;③患者由于白蛋白大量流失到腹水中,所以血白蛋白值持续减少,患者的腹水属于难治性腹水,尚无好的药物治疗。最适宜的方法是肝移植。
(5)戊医生
患者服用土三七至今已有3个月,已经错过了治疗的最佳时机。现转氨酶较前下降,但是胆红素升高、白蛋白下降,凝血功能下降,不适宜应用低分子肝素,先给予前列地尔、丹参酮以活血化瘀。可考虑试用激素,但疗效不清楚。患者可能预后较差,应及时向家属交代。
5.治疗
在明确了病因诊断后,考虑服用大量土三七至今已3个月,决定先给予前列地尔、丹参酮以活血化瘀扩张血管为主的治疗,低盐饮食、限制水分摄入、保肝、利尿及间断补充白蛋白、血浆。经治疗后,患者心包、胸腔积液消失,腹水减少,住院26天时复查ALT、AST正常,但TB仍高于正常(77.5mmol/L),ALB 34.4g/L。住院1个月时患者症状缓解,要求出院。出院后带药丹参、熊去氧胆酸、利尿剂。
6.出院后随访
出院后一直服用丹参、熊去氧胆酸。出院4个月复查肝功能正常,B超腹水消退。